DAP Antibody
-
中文名稱:DAP兔多克隆抗體
-
貨號:CSB-PA01034A0Rb
-
規格:¥440
-
圖片:
-
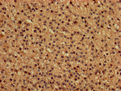
IHC image of CSB-PA01034A0Rb diluted at 1:150 and staining in paraffin-embedded human adrenal gland tissue performed on a Leica BondTM system. After dewaxing and hydration, antigen retrieval was mediated by high pressure in a citrate buffer (pH 6.0). Section was blocked with 10% normal goat serum 30min at RT. Then primary antibody (1% BSA) was incubated at 4°C overnight. The primary is detected by a biotinylated secondary antibody and visualized using an HRP conjugated SP system.
-
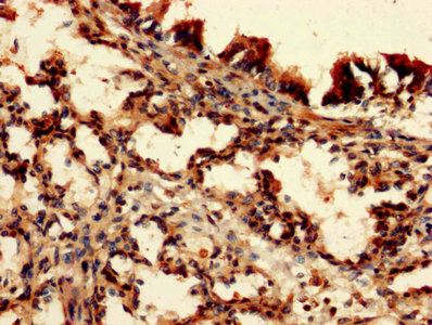
IHC image of CSB-PA01034A0Rb diluted at 1:150 and staining in paraffin-embedded human lung tissue performed on a Leica BondTM system. After dewaxing and hydration, antigen retrieval was mediated by high pressure in a citrate buffer (pH 6.0). Section was blocked with 10% normal goat serum 30min at RT. Then primary antibody (1% BSA) was incubated at 4°C overnight. The primary is detected by a biotinylated secondary antibody and visualized using an HRP conjugated SP system.
-
-
其他:
產品詳情
-
產品名稱:Rabbit anti-Homo sapiens (Human) DAP Polyclonal antibody
-
Uniprot No.:
-
基因名:DAP
-
別名:DAP 1 antibody; Dap antibody; DAP-1 antibody; DAP1_HUMAN antibody; Death associated protein 1 antibody; Death associated protein antibody; Death-associated protein 1 antibody; MGC99796 antibody; OTTHUMP00000161670 antibody; OTTHUMP00000221331 antibody
-
宿主:Rabbit
-
反應種屬:Human
-
免疫原:Recombinant Human Death-associated protein 1 protein (2-102AA)
-
免疫原種屬:Homo sapiens (Human)
-
標記方式:Non-conjugated
本頁面中的產品,DAP Antibody (CSB-PA01034A0Rb),的標記方式是Non-conjugated。對于DAP Antibody,我們還提供其他標記。見下表:
-
克隆類型:Polyclonal
-
抗體亞型:IgG
-
純化方式:>95%, Protein G purified
-
濃度:It differs from different batches. Please contact us to confirm it.
-
保存緩沖液:Preservative: 0.03% Proclin 300
Constituents: 50% Glycerol, 0.01M PBS, PH 7.4 -
產品提供形式:Liquid
-
應用范圍:ELISA, IHC
-
推薦稀釋比:
Application Recommended Dilution IHC 1:20-1:200 -
Protocols:
-
儲存條件:Upon receipt, store at -20°C or -80°C. Avoid repeated freeze.
-
貨期:Basically, we can dispatch the products out in 1-3 working days after receiving your orders. Delivery time maybe differs from different purchasing way or location, please kindly consult your local distributors for specific delivery time.
-
用途:For Research Use Only. Not for use in diagnostic or therapeutic procedures.
相關產品
靶點詳情
-
功能:Negative regulator of autophagy. Involved in mediating interferon-gamma-induced cell death.
-
基因功能參考文獻:
- DAP1 may have an important role in cell adhesion, migration and growth in the context of breast cancer and has significant associations with the apoptosis pathway. PMID: 25530065
- DAP1 was found to be correlated with disease progression and long-term survival of the colorectal patients. DAP1 is also a pivotal regulator of the growth and apoptosis and cellular response to chemotherapy agents. PMID: 24270644
- This study demonstrates an inverse association between DAP1 mRNA levels and tumour stage and clinical outcome in breast cancer PMID: 22798505
- Mapping of the phosphorylation sites and analysis of phosphorylation mutants indicated that DAP1 is functionally silenced in growing cells through mTOR-dependent phosphorylations on Ser3 and Ser51 PMID: 20537536
-
數據庫鏈接:
Most popular with customers
-
-
YWHAB Recombinant Monoclonal Antibody
Applications: ELISA, WB, IHC, IF, FC
Species Reactivity: Human, Mouse, Rat
-
-
-
-
-
-















