CYTH1 Antibody
-
中文名稱:CYTH1兔多克隆抗體
-
貨號:CSB-PA933387
-
規格:¥1100
-
圖片:
-
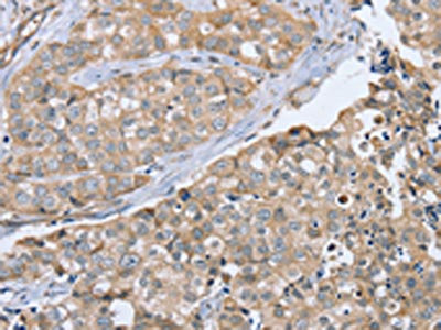
The image on the left is immunohistochemistry of paraffin-embedded Human breast cancer tissue using CSB-PA933387(CYTH1 Antibody) at dilution 1/40, on the right is treated with synthetic peptide. (Original magnification: ×200)
-
Gel: 8%SDS-PAGE, Lysate: 40 μg, Lane: Raji cells, Primary antibody: CSB-PA933387(CYTH1 Antibody) at dilution 1/200, Secondary antibody: Goat anti rabbit IgG at 1/8000 dilution, Exposure time: 10 seconds
-
-
其他:
產品詳情
-
Uniprot No.:
-
基因名:
-
別名:B2 1 antibody; CLM1 antibody; CTH 1 antibody; CYH1_HUMAN antibody; CYTH1 antibody; CYTIP antibody; Cytoadhesin 1 antibody; CYTOHESIN 1 antibody; Cytohesin-1 antibody; D17S811E antibody; FLJ34050 antibody; FLJ41900 antibody; Homolog of secretory protein SEC7 antibody; KIAA4240 antibody; mKIAA4240 antibody; mSec7 1 antibody; OTTHUMP00000196778 antibody; OTTHUMP00000196779 antibody; PH antibody; PH; SEC7 and coiled-coil domain containing protein 1 antibody; Pleckstrin homology Sec7 and coiled/coil domains 1 antibody; Pleckstrin homology Sec7 and coiled/coil domains protein 1 antibody; Pleckstrin homology; Sec7 and coiled coil domains 1 antibody; PSCD1 antibody; SEC7 and coiled-coil domain-containing protein 1 antibody; Sec7 antibody; SEC7 homolog A antibody; SEC7 homolog B2 1 antibody; SEC7 homolog B2-1 antibody; SEC7; yeast; homolog of antibody; Sec7a antibody
-
宿主:Rabbit
-
反應種屬:Human,Mouse,Rat
-
免疫原:Synthetic peptide of Human CYTH1
-
免疫原種屬:Homo sapiens (Human)
-
標記方式:Non-conjugated
-
抗體亞型:IgG
-
純化方式:Antigen affinity purification
-
濃度:It differs from different batches. Please contact us to confirm it.
-
保存緩沖液:-20°C, pH7.4 PBS, 0.05% NaN3, 40% Glycerol
-
產品提供形式:Liquid
-
應用范圍:ELISA,WB,IHC
-
推薦稀釋比:
Application Recommended Dilution ELISA 1:2000-1:5000 WB 1:500-1:2000 IHC 1:50-1:200 -
Protocols:
-
儲存條件:Upon receipt, store at -20°C or -80°C. Avoid repeated freeze.
-
貨期:Basically, we can dispatch the products out in 1-3 working days after receiving your orders. Delivery time maybe differs from different purchasing way or location, please kindly consult your local distributors for specific delivery time.
-
用途:For Research Use Only. Not for use in diagnostic or therapeutic procedures.
相關產品
靶點詳情
-
功能:Promotes guanine-nucleotide exchange on ARF1, ARF5 and ARF6. Promotes the activation of ARF factors through replacement of GDP with GTP. Plays an important role in membrane trafficking, during junctional remodeling and epithelial polarization, through regulation of ARF6 activity.
-
基因功能參考文獻:
- computational study suggests that although curcumin to some extent binds with Tp receptor, yet the inhibition of Arf6GDP to Arf6GTP conversion appeared to be an important mechanism by which curcumin inhibits U46619-induced increase in PLD activity in PASMCs. PMID: 28780751
- CYTH1 is a novel major regulator of adhesion and engraftment in human hematopoietic stem and progenitor cells through mechanisms that, at least in part, involve the activation of integrins. PMID: 27899358
- FRMD4A RNAi or inhibition of cytohesins strongly upregulated secretion of endogenous tau. These results suggest that FRMD4A, a genetic risk factor for late-onset Alzheimer's disease, regulates tau secretion by activating cytohesin-Arf6 signaling. PMID: 27044754
- cytohesin inhibition has an antiproliferative effect in gefitinib-resistant lung cancer cells PMID: 22815959
- findings suggest that cytohesin-1 is a key regulator of neutrophil adhesion to endothelial cells and to components of extracellular matrix, which may influence cell emigration through its dual opposing effect on beta2 and beta1 integrin activation PMID: 21511340
- involvement of cytohesin-1 in the regulation of the functional responses of human PMNs, linked, in part at least, to the activation of Arf6. PMID: 20018626
- Data show that CYTIP and cytoadhesin-1 are upregulated during dendritic cell maturation. PMID: 12606567
- findings reveal that mycobacteria promote their uptake through a process of "inside-out" signaling involving CD14, TLR2, PI3K, and cytohesin-1. This converts low avidity CR3 into an active receptor leading to increased bacterial internalization PMID: 15778383
- demonstrate an essential role of cytohesin-1/RhoA during ameboid migration in the presence of integrins PMID: 19346499
- Phosphorylated cytohesin-1 is able to tightly associate with the actin cytoskeleton, and is required for maximal leukocyte function antigen-1-mediated adhesion of Jurkat cells to Icam-1. PMID: 11438522
顯示更多
收起更多
-
亞細胞定位:Cell membrane; Peripheral membrane protein. Cytoplasm, cytosol. Cell junction, tight junction. Cell junction, adherens junction.
-
組織特異性:Ubiquitous.
-
數據庫鏈接:
Most popular with customers
-
-
YWHAB Recombinant Monoclonal Antibody
Applications: ELISA, WB, IHC, IF, FC
Species Reactivity: Human, Mouse, Rat
-
Phospho-YAP1 (S127) Recombinant Monoclonal Antibody
Applications: ELISA, WB, IHC
Species Reactivity: Human
-
-
-
-
-















