CYP2W1 Antibody
-
中文名稱:CYP2W1兔多克隆抗體
-
貨號:CSB-PA910505
-
規格:¥1100
-
圖片:
-
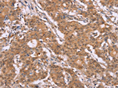
The image on the left is immunohistochemistry of paraffin-embedded Human breast cancer tissue using CSB-PA910505(CYP2W1 Antibody) at dilution 1/25, on the right is treated with fusion protein. (Original magnification: ×200)
-
The image on the left is immunohistochemistry of paraffin-embedded Human gastric cancer tissue using CSB-PA910505(CYP2W1 Antibody) at dilution 1/25, on the right is treated with fusion protein. (Original magnification: ×200)
-
-
其他:
產品詳情
-
Uniprot No.:
-
基因名:CYP2W1
-
別名:CP2W1_HUMAN antibody; CYP2W 1 antibody; CYP2W1 antibody; CYPIIW1 antibody; Cytochrome P450 2W1 antibody; Cytochrome P450; family 2; subfamily W; polypeptide 1 antibody; MGC34287 antibody
-
宿主:Rabbit
-
反應種屬:Human,Mouse
-
免疫原:Fusion protein of Human CYP2W1
-
免疫原種屬:Homo sapiens (Human)
-
標記方式:Non-conjugated
-
抗體亞型:IgG
-
純化方式:Antigen affinity purification
-
濃度:It differs from different batches. Please contact us to confirm it.
-
保存緩沖液:-20°C, pH7.4 PBS, 0.05% NaN3, 40% Glycerol
-
產品提供形式:Liquid
-
應用范圍:ELISA,IHC
-
推薦稀釋比:
Application Recommended Dilution ELISA 1:2000-1:5000 IHC 1:50-1:200 -
Protocols:
-
儲存條件:Upon receipt, store at -20°C or -80°C. Avoid repeated freeze.
-
貨期:Basically, we can dispatch the products out in 1-3 working days after receiving your orders. Delivery time maybe differs from different purchasing way or location, please kindly consult your local distributors for specific delivery time.
-
用途:For Research Use Only. Not for use in diagnostic or therapeutic procedures.
相關產品
靶點詳情
-
功能:A cytochrome P450 monooxygenase that may play a role in retinoid and phospholipid metabolism. Catalyzes the hydroxylation of saturated carbon hydrogen bonds. Hydroxylates all trans-retinoic acid (atRA) to 4-hydroxyretinoate and may regulate atRA clearance. Other retinoids such as all-trans retinol and all-trans retinal are potential endogenous substrates. Catalyzes both epoxidation of double bonds and hydroxylation of carbon hydrogen bonds of the fatty acyl chain of 1-acylphospholipids/2-lysophospholipids. Can metabolize various lysophospholipids classes including lysophosphatidylcholines (LPCs), lysophosphatidylinositols (LPIs), lysophosphatidylserines (LPSs), lysophosphatidylglycerols (LPGs), lysophosphatidylethanolamines (LPEs) and lysophosphatidic acids (LPAs). Has low or no activity toward 2-acylphospholipids/1-lysophospholipids, diacylphospholipids and free fatty acids. May play a role in tumorigenesis by activating procarcinogens such as aflatoxin B1, polycyclic aromatic hydrocarbon dihydrodiols and aromatic amines. Mechanistically, uses molecular oxygen inserting one oxygen atom into a substrate, and reducing the second into a water molecule, with two electrons provided by NADPH via cytochrome P450 reductase (CPR; NADPH-ferrihemoprotein reductase).
-
基因功能參考文獻:
- showed that the genetic pattern of CYP2W1 is interethnically different among the three Chinese populations, and this finding can extend our understanding of population genetics of CYP2W1 in the Chinese population PMID: 27307299
- summarizes the history, distribution, polymorphism, membrane topology, function and possible role in cancer therapy of CYP2W1. PMID: 27257736
- Normal adrenal tissue lacks CYP2W1 enzyme expression; adrenocortical carcinomas generally do not express the enzyme as well. PMID: 27598485
- Report novel SNPs of CYP2W1 gene in Chinese Uygur and Han populations. PMID: 26683388
- Data suggest that canonical cytochrome P-450 reductants (cytochrome P450 reductase; cytochrome b5) cannot serve as electron donors for CYP2W1, a colon tumor-specific enzyme; glycosylation of CYP2W1 at Asn177 is required for full catalytic activity. PMID: 26787547
- Results show the developmental expression of CYP2W1 in the GI tract mediated by epigenetic modifications, its specific location, and regulation by anticancer drugs which can be considered as an adjuvant therapy of colon and hepatic cancers. PMID: 25844926
- Low KRT13 mRNA expression is associated with oral squamous cell carcinoma. PMID: 25735388
- CYP2W1 is highly expressed in both normal and neoplastic adrenal glands making it a promising tool for targeted therapy in ACC PMID: 25144458
- High CYP2W1 expression is seen in 26% of primary colorectal tumors and in 48% of corresponding liver metastases. PMID: 24625228
- CYP2W1 could play an important role in hepatocellular carcinoma (HCC) and might serve as a valuable prognostic marker and potential target for gene therapy in the treatment of HCC. PMID: 24801906
- No significant differences in the distribution of CYP2W1*1, CYP2W1*2 and CYP2W1*6 alleles were found between CRC patients and controls. PMID: 24088132
- Results of the current study were in agreement with those of the previous pilot study and show that higher expression of CYP2W1 seems to be of prognostic value in colon cancer. PMID: 22993331
- study did not detect an association between the CYP2W1, 4F11 and 8A1 genes polymorphisms and breast cancer risk in a Mexican population; however, some clinico-pathological risk factors interact with CYP2W1 genotypes and modifies susceptibility to breast cancer PMID: 22631658
- a role for human cytochrome P450 2W1 in selective oxidation of lysophospholipids PMID: 22591743
- CYP2W1 variant alleles are common among Caucasian individuals and, of these, the CYP2W1 G541A (Ala181Thr) polymorphism is associated with increased colorectal cancer risk. PMID: 20602611
- CYP2W1 is catalytically active in the transformation of aflatoxin B1 to cytotoxic products and in the metabolism of indolines, indicating functional intracellular electron transfer. PMID: 20805301
- CYP2W1 is expressed human colonic and adrenal gland neoplasms, but not normal tissue, and is expressed in rat fetal and adult colon PMID: 16426568
- The expression of CYP2W1 is colon tumor-specific and is associated with methylation status of the CYP2W1 gene, suggesting a potential causal link between the gene hypomethylation and its enhanced expression. PMID: 17979506
- Six single nucleotide polymorphisms of CYP2W1 were identified in a Japanese population. PMID: 17998294
顯示更多
收起更多
-
亞細胞定位:Endoplasmic reticulum lumen. Cell membrane. Microsome membrane.
-
蛋白家族:Cytochrome P450 family
-
組織特異性:Very low levels are detected in fetal and adult tissues. Highly expressed in several tumor samples, in particular colon and adrenal tumors.
-
數據庫鏈接:
Most popular with customers
-
-
YWHAB Recombinant Monoclonal Antibody
Applications: ELISA, WB, IHC, IF, FC
Species Reactivity: Human, Mouse, Rat
-
Phospho-YAP1 (S127) Recombinant Monoclonal Antibody
Applications: ELISA, WB, IHC
Species Reactivity: Human
-
-
-
-
-















