CYP2E1 Antibody
-
中文名稱:CYP2E1兔多克隆抗體
-
貨號:CSB-PA216877
-
規格:¥1100
-
圖片:
-
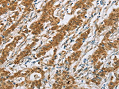
The image on the left is immunohistochemistry of paraffin-embedded Human liver cancer tissue using CSB-PA216877(CYP2E1 Antibody) at dilution 1/30, on the right is treated with fusion protein. (Original magnification: ×200)
-
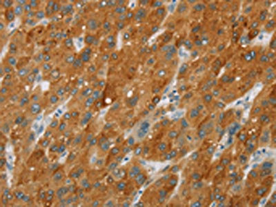
The image on the left is immunohistochemistry of paraffin-embedded Human gastric cancer tissue using CSB-PA216877(CYP2E1 Antibody) at dilution 1/30, on the right is treated with fusion protein. (Original magnification: ×200)
-
Gel: 8%SDS-PAGE, Lysate: 40 μg, Lane: Mouse liver tissue, Primary antibody: CSB-PA216877(CYP2E1 Antibody) at dilution 1/250, Secondary antibody: Goat anti rabbit IgG at 1/8000 dilution, Exposure time: 10 seconds
-
-
其他:
產品詳情
-
Uniprot No.:
-
基因名:
-
別名:4-nitrophenol 2-hydroxylase antibody; CP2E1_HUMAN antibody; CPE1 antibody; CYP2E antibody; Cyp2e1 antibody; CYPIIE1 antibody; Cytochrome P450 2E1 antibody; Cytochrome P450 isozyme 3A antibody; Cytochrome P450 LM3A antibody; Cytochrome P450; family 2; subfamily e; polypeptide 1 antibody; cytochrome P450; subfamily IIE (ethanol-inducible); polypeptide 1 antibody; Cytochrome P450; subfamily IIE antibody; Cytochrome P450-ALC antibody; Cytochrome P450-J antibody; Cytochrome P450RLM6 antibody; EC 1.14.13.- antibody; EC 1.14.13.n7 antibody; Ethanol-inducible P450 antibody; Flavoprotein-linked monooxygenase antibody; MGC133529 antibody; Microsomal monooxygenase antibody; OTTHUMP00000020813 antibody; OTTHUMP00000046571 antibody; P450 ALC antibody; P450-J antibody; P450C2E antibody; P450J antibody; P450RLM6 antibody; Xenobiotic monooxygenase antibody
-
宿主:Rabbit
-
反應種屬:Human,Mouse,Rat
-
免疫原:Fusion protein of Human CYP2E1
-
免疫原種屬:Homo sapiens (Human)
-
標記方式:Non-conjugated
-
抗體亞型:IgG
-
純化方式:Antigen affinity purification
-
濃度:It differs from different batches. Please contact us to confirm it.
-
保存緩沖液:-20°C, pH7.4 PBS, 0.05% NaN3, 40% Glycerol
-
產品提供形式:Liquid
-
應用范圍:ELISA,WB,IHC
-
推薦稀釋比:
Application Recommended Dilution ELISA 1:2000-1:5000 WB 1:500-1:2000 IHC 1:50-1:200 -
Protocols:
-
儲存條件:Upon receipt, store at -20°C or -80°C. Avoid repeated freeze.
-
貨期:Basically, we can dispatch the products out in 1-3 working days after receiving your orders. Delivery time maybe differs from different purchasing way or location, please kindly consult your local distributors for specific delivery time.
-
用途:For Research Use Only. Not for use in diagnostic or therapeutic procedures.
相關產品
靶點詳情
-
功能:A cytochrome P450 monooxygenase involved in the metabolism of fatty acids. Mechanistically, uses molecular oxygen inserting one oxygen atom into a substrate, and reducing the second into a water molecule, with two electrons provided by NADPH via cytochrome P450 reductase (NADPH--hemoprotein reductase). Catalyzes the hydroxylation of carbon-hydrogen bonds. Hydroxylates fatty acids specifically at the omega-1 position displaying the highest catalytic activity for saturated fatty acids. May be involved in the oxidative metabolism of xenobiotics.
-
基因功能參考文獻:
- A polymorphism of CYP2E1 may be directly associated with the development of Isoniazid hepatotoxicity. PMID: 27865233
- We evaluated genetic variability of single nucleotide polymorphisms (SNPs) situated in the CYP2E1 gene promoter in alcoholics in central Brazil. Our results showed that the allelic frequencies were markedly different among ethnicities and have contributed to the knowledge regarding the distribution among ethnic groups, being associated to alcohol consumption worldwide. PMID: 29940492
- no genetic association between CYP2E1 and alcohol dependence in Han Taiwanese either by single allele tests or haplotype-based analyses PMID: 29588096
- Study provides evidence for an association between CYP2E1 gene polymorphisms and bladder cancer progression, and suggests that CYP2E1 gene polymorphisms might be a protective factor against bladder cancer in Asian people PMID: 30278485
- The results showed that no difference in chromosome damage was found among the three genotypes of CYP2E1. PMID: 29116991
- Report CYP2E1 inhibitory capacity of diallyl sulfide analogs and roles in reducing ethanol- and acetaminophen-induced toxicity in hepatocytes. PMID: 29694836
- CYP2E1 role in actiavation of the polychlorinated biphenyls mutagens PMID: 27913846
- Case-control study found a significant difference was observed between large artery atherosclerotic ischemic stroke patients and controls with respect to the CYP2E1*5B genotype and allele distribution. NQO1*2 polymorphism genotype distribution was significantly different between patients and controls and heterozygote *1*2 genotype was found to be a protective factor against large artery atherosclerotic ischemic stroke. PMID: 28357584
- The observations of the present study give rise to useful information on CYP2E1 polymorphisms in Chinese Uygur individuals. PMID: 29443789
- results provide new information regarding CYP2E1 genetic polymorphisms in Chinese Tibetan population. These findings in this study would be value for further study in assessing the susceptibility of different populations to diseases related to CYP2E1 polymorphisms and determining whether it is necessary to design different therapeutics and toxicological protocols to reduce the risk of population, including pharmacogenetic PMID: 29381998
- Clomethiazole is a direct inhibitor of human CYP2E1 when coincubated with the probe substrate chlorzoxazone. PMID: 27149898
- Methodology to assay CYP2E1 mixed function oxidase catalytic activity and its induction. PMID: 25454746
- Polymorphisms in the promoter region of the CYP2E1 gene were associated with DNA damage in alcoholics. PMID: 27916141
- We identified an exposure-associated differentially methylated region (DMR) spanning nine sequential CpG sites in the promoter-regulatory region of the cytochrome P450 2E1 gene (CYP2E1) on chromosome 10 (corrected P=2.98 x 10(-5)). Elevated DNA methylation across this region was also associated with deprivation-related clinical markers of impaired social cognition. PMID: 27271856
- A significant increase in the risk of non-small cell lung cancer was observed for the following combinations: TP53 codon72 variant with GSTM1 null (OR 2.22, 95 % CI 1.23-4.04; p=0.009), GSTT1 null (OR 2.98, 95 % CI 1.49-5.94; p=0.002), and GSTP1 (Ala114Val) variant genotypes (OR 3.38, 95 % CI 1.54-7.41; p=0.002). PMID: 28033105
- Studied the possible relationship between cytochrome P450, family 2, subfamily E and polypeptide 1 (CYP2E1) polymorphisms with Kawasaki disease (KD). Found the KD patients with a CYP2E1 CC genotype of rs915906 demonstrated a greater proportion of coronary artery lesions (CALs) formation. PMID: 28650933
- The results suggest that changes in coumarin pharmacokinetics and CYP2E1 subcellular distribution contribute to resistance to coumarin-induced hepatic necrosis, while cytotoxicity of metabolic conjugates shown in vitro may contribute to bile duct damage upon repeated coumarin administration. PMID: 28803882
- Data suggest a homeostatic, gene dosage-insensitive regulation of CYP2E1 expression by unknown gene dosage compensation mechanisms. PMID: 26503817
- Data suggest that microRNA-214-3p (but not microRNA-942-5p) suppresses expression of CYP2E1 in hepatocytes; microRNA-214-3p interacts with two binding sites located in protein coding region of CYP2E1 mRNA. (CYP2E1 = cytochrome P450 family 2 subfamily E member 1) PMID: 28438567
- The synergistic effect of VK2 and EtOH was also observed in QGY-7703 cells, which also express CYP2E1. However, in HepG2 cells, which do not express CYP2E1, the synergistic effect of VK2 and EtOH was not observed PMID: 28339022
- The results suggest that there is no evidence for a major role of CYP2E1 polymorphism in liver carcinogenesis, but do not rule out the possibility in certain cases. [meta-analysis] PMID: 27637154
- The CYP2E1-PPARalpha axis may play a role in ethanol-induced neurotoxicity via the alteration of the genes related with synaptic function PMID: 28385499
- Results demonstrated that CYP2E1*5B and CYP2E1*6 minor alleles play a role in the development of sporadic colorectal neoplasms. PMID: 28018104
- This meta-analysis suggests that there is an increased risk of antituberculosis drug-induced hepatotoxicity in individuals carrying the C1/C1 genotype of the CYP2E1 RsaI/PstI polymorphism; however, no association was found for the DraI polymorphism PMID: 27062377
- NS5A contributes to reactive oxygen species production by activating expression of NADPH oxidases 1 and 4 as well as cytochrome P450 2E1. PMID: 27200149
- This meta-analysis suggests that the CYP2E1 polymorphisms contributed to the susceptibility of nasopharyngeal carcinoma, especially in Asian populations. PMID: 27491320
- Study indicate that ALDH2 Glu487Lys and CYP4502E1 polymorphisms could be risk factors for the development of gastric cancer in the Chinese population. PMID: 28002588
- genetic association studies in population in Italy: Data suggest that SNPs in CYP2E1 are associated with differentiated thyroid carcinoma. PMID: 26783003
- CYP2E1 RsaI/PstI polymorphisms may modify the susceptibility to HNC, particularly among Asians, mixed population, and never-smokers. PMID: 27787372
- Single nucleotide polymorphism in CYP2E1 gene is Associated with Breast Cancer. PMID: 26925658
- background prevalence of CYP2E1*B polymorphism and their activity in Western Indian population was observed. The study suggests no association between the CYP2E1 genotyping with antituberculous drug-induced hepatotoxicity PMID: 26997721
- This meta-analysis suggests that the CYP2E1 RsaI/PstI polymorphisms are a risk factor for developing oral cancer PMID: 26823792
- the combination of genotypes ADH2 * 2, CYP2E1 * 1 combined with genotype homozygous ALDH2 * 1 found in this study could be leading to the population to a potential risk to alcoholism. PMID: 26848198
- Data indicate that alcohol induces not only pathological but also protective mechanisms in steatotic hepatocytes via CYP2E1. PMID: 26497211
- rs915906 polymorphism associated with semen quality and internal levels of exposure to trihalomethanes PMID: 26970898
- Null-GSTT1 and null-GSTM1 genotypes and Cytochrome P4502E1 (CYP2E1: rs2031920, rs3813867) may support the hematotoxicity of benzene-exposed workers in China, and we can make use of it to select susceptible population PMID: 26179485
- MiR-552 with mutations in non-seed region losses its transcriptional, but retains its post-transcriptional repression to CYP2E1. In contrast, mutation in miR-552 seed sequence suppresses its inhibitory effects on CYP2E1 expression at protein PMID: 26926595
- SNP in 3'-UTR of CYP2E1 affects binding of miRNA to modulate the expression in liver. PMID: 26199425
- This is the first report of CYP2E1 and CYP2U1 protein expression in human Amygdala. PMID: 25872594
- results confirm the results reported in other populations and emphasize the importance of the involvement of this gene in the development of detoxification of the NPC, which seems more and more strongly associated with environmental factors. PMID: 26582733
- This updated meta-analysis suggests that CYP2E1 Rsa Iota/Pst Iota c2 allele is a decreased risk factor for the developing lung cancer among Asians and mixed population. PMID: 25945422
- This meta-analysis suggests that the CYP2E1 PstI polymorphism increases the risk of cervical neoplasia in non-Asians PMID: 26125714
- Our study suggests that the rare c2 allele and carrier with at least one c2 allele of CYP2E1 RsaI polymorphism significantly elevated the risk of gastrointestinal cancer PMID: 24394801
- In Brazilian populations, there is a possible protective role of GSTP1 genotype in SLE susceptibility in patients of European ancestry and contribution of the CYP2E1 and more weakly of the GSTP1 in SLE pathogenesis in patients of African ancestry. PMID: 24981927
- CYP2E1 c.-1053C>T polymorphism influences the expression of obsessive-compulsive and anxiety symptoms in alcohol dependent males. PMID: 25514903
- variant alleles in the NEIL2 (rs804270), APE1 (rs2275008), CYP2E1 (rs2031920) and MDM2 (rs2279744) SNPs may independently influence susceptibility to gastric cancer in a Northern Jiangsu Chinese population. PMID: 26373042
- Variants within the CYP2E1 gene are likely not significant genetic determinants of acute methanol poisoning (if survivors are analysed), but they may influence the severity of methanol poisoning and its visual/central nervous system outcome PMID: 25146350
- The prevalence of slow acetylators among Moroccan newborns as indicated by allelic and genotypic frequencies of NAT2 and CYP2E1 variants. PMID: 25544508
- Workers co-exposed to toluene and tobacco smoke are at higher risk due to CYP2E1 repression. PMID: 25963742
- study is the first to our knowledge to show that polymorphisms in the rs1004467 SNP of CYP17A1 and rs3813865 SNP of CYP2E1 correlate with susceptibility to HAPC PMID: 25917616
顯示更多
收起更多
-
亞細胞定位:Endoplasmic reticulum membrane; Peripheral membrane protein. Microsome membrane; Peripheral membrane protein. Mitochondrion inner membrane; Peripheral membrane protein.
-
蛋白家族:Cytochrome P450 family
-
數據庫鏈接:
Most popular with customers
-
-
YWHAB Recombinant Monoclonal Antibody
Applications: ELISA, WB, IHC, IF, FC
Species Reactivity: Human, Mouse, Rat
-
Phospho-YAP1 (S127) Recombinant Monoclonal Antibody
Applications: ELISA, WB, IHC
Species Reactivity: Human
-
-
-
-
-















