CYP1B1 Antibody
-
中文名稱:CYP1B1兔多克隆抗體
-
貨號:CSB-PA078505
-
規格:¥1100
-
圖片:
-
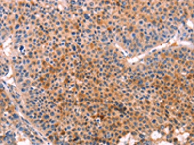
The image on the left is immunohistochemistry of paraffin-embedded Human thyroid cancer tissue using CSB-PA078505(CYP1B1 Antibody) at dilution 1/20, on the right is treated with fusion protein. (Original magnification: ×200)
-
The image on the left is immunohistochemistry of paraffin-embedded Human liver cancer tissue using CSB-PA078505(CYP1B1 Antibody) at dilution 1/20, on the right is treated with fusion protein. (Original magnification: ×200)
-
-
其他:
產品詳情
-
Uniprot No.:
-
基因名:
-
別名:Aryl hydrocarbon hydroxylase antibody; CP1B antibody; CP1B1_HUMAN antibody; Cyp1b1 antibody; CYPIB1 antibody; Cytochrome P450 1B1 antibody; Cytochrome P450 family 1 subfamily B polypeptide 1 antibody; Cytochrome P450 subfamily I (dioxin inducible) polypeptide 1 (glaucoma 3 primary infantile) antibody; Flavoprotein linked monooxygenase antibody; GLC3A antibody; Microsomal monooxygenase antibody; P4501B1 antibody; Xenobiotic monooxygenase antibody
-
宿主:Rabbit
-
反應種屬:Human,Mouse,Rat
-
免疫原:Fusion protein of Human CYP1B1
-
免疫原種屬:Homo sapiens (Human)
-
標記方式:Non-conjugated
-
抗體亞型:IgG
-
純化方式:Antigen affinity purification
-
濃度:It differs from different batches. Please contact us to confirm it.
-
保存緩沖液:-20°C, pH7.4 PBS, 0.05% NaN3, 40% Glycerol
-
產品提供形式:Liquid
-
應用范圍:ELISA,IHC
-
推薦稀釋比:
Application Recommended Dilution ELISA 1:2000-1:5000 IHC 1:25-1:100 -
Protocols:
-
儲存條件:Upon receipt, store at -20°C or -80°C. Avoid repeated freeze.
-
貨期:Basically, we can dispatch the products out in 1-3 working days after receiving your orders. Delivery time maybe differs from different purchasing way or location, please kindly consult your local distributors for specific delivery time.
-
用途:For Research Use Only. Not for use in diagnostic or therapeutic procedures.
相關產品
靶點詳情
-
功能:A cytochrome P450 monooxygenase involved in the metabolism of various endogenous substrates, including fatty acids, steroid hormones and vitamins. Mechanistically, uses molecular oxygen inserting one oxygen atom into a substrate, and reducing the second into a water molecule, with two electrons provided by NADPH via cytochrome P450 reductase (NADPH--hemoprotein reductase). Exhibits catalytic activity for the formation of hydroxyestrogens from estrone (E1) and 17beta-estradiol (E2), namely 2- and 4-hydroxy E1 and E2. Displays a predominant hydroxylase activity toward E2 at the C-4 position. Metabolizes testosterone and progesterone to B or D ring hydroxylated metabolites. May act as a major enzyme for all-trans retinoic acid biosynthesis in extrahepatic tissues. Catalyzes two successive oxidative transformation of all-trans retinol to all-trans retinal and then to the active form all-trans retinoic acid. Catalyzes the epoxidation of double bonds of certain PUFA. Converts arachidonic acid toward epoxyeicosatrienoic acid (EpETrE) regioisomers, 8,9-, 11,12-, and 14,15- EpETrE, that function as lipid mediators in the vascular system. Additionally, displays dehydratase activity toward oxygenated eicosanoids hydroperoxyeicosatetraenoates (HpETEs). This activity is independent of cytochrome P450 reductase, NADPH, and O2. Also involved in the oxidative metabolism of xenobiotics, particularly converting polycyclic aromatic hydrocarbons and heterocyclic aryl amines procarcinogens to DNA-damaging products. Plays an important role in retinal vascular development. Under hyperoxic O2 conditions, promotes retinal angiogenesis and capillary morphogenesis, likely by metabolizing the oxygenated products generated during the oxidative stress. Also, contributes to oxidative homeostasis and ultrastructural organization and function of trabecular meshwork tissue through modulation of POSTN expression.
-
基因功能參考文獻:
- CYP1B1 single nucleotide polymorphisms association with lung cancer susceptibility in Polish smokers. PMID: 29938532
- Oxidation of 1-chloropyrene by human CYP1 family and CYP2A subfamily cytochrome P450 enzymes: catalytic roles of two CYP1B1 and five CYP2A13 allelic variants PMID: 28648140
- An increased breast cancer risk, independent of other breast cancer risk factors, was observed among carriers of CYP1B1 G119T genotype. PMID: 29267651
- CYP1B1 mRNA expression in the preputial tissues from patients with hypospadias and phimosis PMID: 29080015
- the CYP1B1 status in tissues from 76 patients diagnosed with non-small cell lung cancer, was investigated. PMID: 28858732
- High CYP1B1 expression is associated with prostate cancer. PMID: 28388569
- Data provide evidence that CYP1B1 plays a critical role in polycyclic aromatic hydrocarbon-mediated DNA damage. PMID: 28886471
- Juvenile onset open angle glaucoma and adult onset POAG form a spectrum of phenotypes. we analyzed the common variants in MYOC and CYP1B1 that were shared among all the three phenotypes .An interesting finding was that, while, many CYP1B1 variants were found in all three types of glaucoma, there was no reported MYOC variant, that was common to all the three primary glaucomas. PMID: 27779752
- The frequency of p.E229K and p.R368H mutations of the CYP1B1 gene is low even among sporadic JOAG patients. PMID: 29168043
- This pilot study revealed a significant association of the CYP1B1 Asn453Ser genotypes with the plasma levels of HDL-cholesterol and of apolipoprotein A1 in postmenopausal women and less unequivocal findings in premenopausal women. PMID: 26757271
- We present an uncommon mutation and clinical description of CYP1B1 gene analysis demonstrated homozygosity for a 1-bp deletion in exon 2 (c.830delT). PMID: 28644236
- In summary, these data expand the mutational and phenotypic spectra of CYP1B1 to include two novel alleles and additional developmental ocular phenotypes. The contribution of CYP1B1 to primary open angle glaucoma (POAG) is less clear, but loss-of-function variants in CYP1B1, especially c.1064_1076del, p.(Arg355Hisfs*69), may be associated with an increased risk for POAG. PMID: 27777502
- In summary, a KLE cell-based model has been characterized to be suitable for identifying CYP1B1-targeted anticancer prodrugs and should be further developed and employed for screening chemical libraries. PMID: 28139960
- Our study identified nine different CYP1B1 mutations in 73.3% of the primary congenital glaucoma patients. PMID: 27268095
- Our larger cohort suggests a tendency for girls with bi-allelic CYP1B1 mutations to have a more severe congenital phenotype as opposed to later-onset disease. PMID: 27438756
- Increased expression of CYP1B1 is associated with ovarian/peritoneal endometriotic lesions. PMID: 27012269
- CYP1B1 Leu432Val is associated with increased lung cancer susceptibility among Caucasians, and there is an interaction between CYP1B1 Leu432Val polymorphism and smoking, and Asn453- Ser and Ala119Ser may be not associated with lung cancer risk. PMID: 26283052
- In this study, we identified 12 CYP1B1 mutations, 5 of which were novel. The frequency of CYP1B1 mutations in this cohort was comparable with other populations PMID: 27820421
- CYP1B1 genotype activity and the microscopic and clinical phenotypes in human primary congenital glaucoma PMID: 28448622
- Utilizing a mouse model, null for Cyp1b1 and expressing human CYP1B1, the study tested the hypothesis that hCYP1B1 is important for dibenzo[def,p]chrysene (DBC) transplacental carcinogenesis. hCYP1B1 genotype did not impact lung tumor multiplicity, but tended to enhance incidence compared to Cyp1b1 wild-type mice (P = 0.07). PMID: 26990437
- CYP1B1 haplotypes could be more effective in predicting Head and Neck Squamous Cell Carcinoma risk. PMID: 28556360
- Our data suggest that interaction of TEK and CYP1B1 contributes to primary congenital glaucoma pathogenesis and argue that TEK-CYP1B1 may perform overlapping as well as distinct functions in manifesting the disease etiology. PMID: 28620713
- molecular basis of the variable phenotypes resulting from the defects in CYP1B1 by using subclones of 23 CYP1B1 mutants reported in glaucoma patients PMID: 27243976
- Cyp1b1 regulation of ocular fissure closure indirectly affects neural crest migration and development through an RA-independent pathway. PMID: 28192799
- MicroRNA-187-5p suppresses cancer cell progression in non-small cell lung cancer through down-regulation of CYP1B1. PMID: 27495872
- CYP1B1, which is also regulated by the AHR, plays a mechanistic role in oxygen toxicity in pulmonary cells. PMID: 27235555
- We identified four homozygous missense mutations (c.1405C>T, p.R469W; c.1397G>T, p.G466V; c.1198C>T, p.P400S; and c.1103G>A, p.R368H) in CYP1B1 in eight Indian families. Among the five mutations identified, G466V in CYP1B1 represent novel mutations. PMID: 28384041
- Five out of 30 families with PCG (16.7%) had disease attributable to CYP1B1 alterations suggesting that CYP1B1 is not the major gene causing PCG in Vietnamese unlike in the case of Arab or Romany patients. PMID: 26550974
- Findings provide evidence that CYP1B1 is directly involved in the development of cardiac hypertrophy. PMID: 28251434
- C432G and A453G genotypes had no influence on long-term prognosis of the study cohort. Thus, G199T alleles are supposed to be an auxiliary predictor for prognosis of NSCLC patients and a potential target for precise drug intervention, as well as a candidate for further anticancer drug research. PMID: 28377924
- High CYP1B1 expression is associated with cisplatin-resistance in non-small cell lung cancer. PMID: 27922681
- Association between the CYP1B1 Leu432Val SNP gene polymorphism and uterine leiomyoma predisposition, in a sample of Barbadian women. PMID: 26482777
- CYP1B1/EPHX1 genotyping could help to predict the risk of DNA damage and to optimize doses of coal tar and UVR exposure in psoriatic patients in whom Goeckerman therapy was applied. PMID: 27188524
- The p.Gly61Glu mutation in CYP1B1 affects the ECM structure. This implies that the ECM of the trabecular meshwork may also be disrupted in a manner that affects aqueous humor flow resulting in increased intraocular pressure and contributing to the glaucoma phenotype. PMID: 26982174
- Cytochrome P450-1B1 Gene Polymorphisms are not associated with Risk of Breast Cancer. PMID: 27356703
- CYP1B1 rs1056836 was significantly associated with BCR (hazard ratio [HR]: 0.69; 95% confidence interval [CI]: 0.40-0.89, P = 0.002) and relative CYP1B1 mRNA expression. Our findings suggest inherited genetic variation in the CYP1B1 gene may contribute to variable clinical outcomes for patients with clinically localized prostate cancer. PMID: 27399092
- either absent or very low CYP1B1 activity levels are the primary molecular defect involved in primary congenital glaucoma pathogenesis. PMID: 27060699
- 3 polymorphisms, rs10012, rs1056827, and rs150799650 in the CYP1B1 gene correlate with urinary bladder cancer significantly in the Indo-European population of Uttar Pradesh, India. PMID: 26707614
- Even when considering only high-grade glioma patients, a low ASMT:CYP1B1 value, which suggests decreased melatonin and enhanced aggressiveness, was strongly associated with poor survival. Overall, our data reveal the prognostic value of the melatonergic system of gliomas and provide insights into the therapeutic role of melatonin. PMID: 26510398
- the single nucleotide polymorphisms rs180040 and rs1056827 of CYP1B1 showed an association with risk of primary open-angle glaucoma (Meta-Analysis) PMID: 26681220
- African-American women, the CYP1B1 SNP rs162561 was associated with right ventricular ejection fraction. PMID: 26647441
- CYP1B1 genetic polymorphisms may influence outcome of taxane therapy in Roma and Hungarian populations. PMID: 26507668
- Results show that CYP1B1 may promote renal cell carcinoma development by inducing CDC20 expression and inhibiting apoptosis through the down-regulation of DAPK1. PMID: 26626260
- The rate of CYP1B1 mutations in Lebanese patients with primary congenital glaucoma (PCG) is lower than that reported in other Arab and Middle Eastern populations and suggests other genes are responsible. PMID: 24940937
- This dysmorphic girl is Saudi Arabian and has CYP1B1-negative primary congenital glaucoma suggests that her glaucoma phenotype is related to her de novo copy number variation. PMID: 24911043
- drugs acting as D2-dopamine receptor antagonists can modify several hormone systems that regulate the expression of CYP1A1, CYP1A2 and CYP1B1, and may affect the toxicity and carcinogenicity outcome of numerous toxicants and pre-carcinogenic substances PMID: 26466350
- Results suggest that CYP1B1 up-regulation mediated by low miR-200c is one of the mechanisms underlying resistance of RCC cells to docetaxel. PMID: 25860934
- Data show that the AS-PCR/RFLP assay has successfully constructed the haplotypes of the cytochrome P-450 CYP1B1 (CYP1B1) gene. PMID: 26663047
- Leu432Val Polymorphism of CYP1B1 is Not Associated with Squamous Cell Carcinoma of Esophagus. PMID: 26225675
- CYP1B1, KRAS and MTHFR variants are associated with shorter telomere length in postmenopausal women PMID: 25987236
顯示更多
收起更多
-
相關疾病:Anterior segment dysgenesis 6 (ASGD6); Glaucoma 3, primary congenital, A (GLC3A); Glaucoma 1, open angle, A (GLC1A)
-
亞細胞定位:Endoplasmic reticulum membrane; Peripheral membrane protein. Microsome membrane; Peripheral membrane protein. Mitochondrion.
-
蛋白家族:Cytochrome P450 family
-
組織特異性:Expressed in heart, brain, lung, skeletal muscle, kidney, spleen, thymus, prostate, testis, ovary, small intestine, colon, and peripheral blood leukocytes. Expressed in retinal endothelial cells and umbilical vein endothelial cells (at protein level).
-
數據庫鏈接:
Most popular with customers
-
-
YWHAB Recombinant Monoclonal Antibody
Applications: ELISA, WB, IHC, IF, FC
Species Reactivity: Human, Mouse, Rat
-
Phospho-YAP1 (S127) Recombinant Monoclonal Antibody
Applications: ELISA, WB, IHC
Species Reactivity: Human
-
-
-
-
-















