-
中文名稱:CXCL8兔多克隆抗體
-
貨號:CSB-PA08327A0Rb
-
規格:¥440
-
圖片:
-
Western blot
All lanes: CXCL8 antibody at 2µg/ml + 293T whole cell lysate
Secondary
Goat polyclonal to rabbit IgG at 1/10000 dilution
Predicted band size: 12 kDa
Observed band size: 12 kDa -
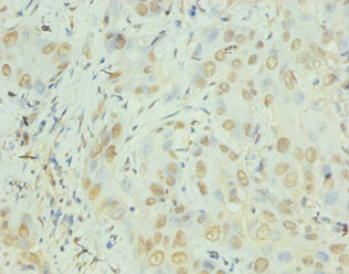
Immunohistochemistry of paraffin-embedded human liver cancer using CSB-PA08327A0Rb at dilution of 1:100
-
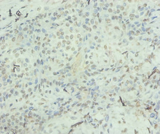
Immunohistochemistry of paraffin-embedded human breast cancer using CSB-PA08327A0Rb at dilution of 1:100
-
-
其他:
產品詳情
-
產品名稱:Rabbit anti-Homo sapiens (Human) CXCL8 Polyclonal antibody
-
Uniprot No.:
-
基因名:
-
別名:(Ala-IL-8)77 antibody; (Ser-IL-8)72 antibody; 9E3 antibody; Beta thromboglobulin like protein antibody; C-X-C motif chemokine 8 antibody; CEF-4 antibody; chemokine; CXC motif; ligand 8 antibody; CXCL8 antibody; Emoctakin antibody; GCP-1 antibody; GCP/IL-8 protein I antibody; GCP/IL-8 protein II antibody; GCP/IL-8 protein III antibody; GCP/IL-8 protein IV antibody; GCP/IL-8 protein V antibody; GCP/IL-8 protein VI antibody; GCP1 antibody; Granulocyte chemotactic protein 1 antibody; IL-8 antibody; IL-8(1-77) antibody; IL-8(9-77) antibody; IL8 antibody; IL8/NAP1 form I antibody; IL8/NAP1 form II antibody; IL8/NAP1 form III antibody; IL8/NAP1 form IV antibody; IL8/NAP1 form V antibody; IL8/NAP1 form VI antibody; IL8_HUMAN antibody; Inteleukin 8 antibody; LECT antibody; LUCT antibody; Lymphocyte-derived neutrophil-activating factor antibody; LYNAP antibody; MDNCF antibody; MDNCF-b antibody; MDNCF-c antibody; MONAP antibody; Monocyte derived neutrophil activating peptide antibody; Monocyte derived neutrophil chemotactic factor antibody; Monocyte-derived neutrophil chemotactic factor antibody; Monocyte-derived neutrophil-activating peptide antibody; NAF antibody; NAP 1 antibody; NAP-1 antibody; NAP1 antibody; Neutrophil activating peptide 1 antibody; Neutrophil activating protein 1 antibody; Neutrophil-activating factor antibody; Neutrophil-activating protein 1 antibody; Protein 3 10C antibody; Protein 3-10C antibody; SCYB 8 antibody; SCYB8 antibody; Small inducible cytokine subfamily B member 8 antibody; T cell chemotactic factor antibody; T-cell chemotactic factor antibody; TSG 1 antibody; TSG1 antibody
-
宿主:Rabbit
-
反應種屬:Human
-
免疫原:Recombinant Human Interleukin-8 protein (23-99AA)
-
免疫原種屬:Homo sapiens (Human)
-
標記方式:Non-conjugated
本頁面中的產品,CXCL8 Antibody (CSB-PA08327A0Rb),的標記方式是Non-conjugated。對于CXCL8 Antibody,我們還提供其他標記。見下表:
-
克隆類型:Polyclonal
-
抗體亞型:IgG
-
純化方式:>95%, Protein G purified
-
濃度:It differs from different batches. Please contact us to confirm it.
-
保存緩沖液:Preservative: 0.03% Proclin 300
Constituents: 50% Glycerol, 0.01M PBS, PH 7.4 -
產品提供形式:Liquid
-
應用范圍:ELISA, WB, IHC
-
推薦稀釋比:
Application Recommended Dilution WB 1:1000-1:5000 IHC 1:20-1:200 -
Protocols:
-
儲存條件:Upon receipt, store at -20°C or -80°C. Avoid repeated freeze.
-
貨期:Basically, we can dispatch the products out in 1-3 working days after receiving your orders. Delivery time maybe differs from different purchasing way or location, please kindly consult your local distributors for specific delivery time.
-
用途:For Research Use Only. Not for use in diagnostic or therapeutic procedures.
引用文獻
- Porcine CXCR1/2 antagonist CXCL8 (3?72) G31P inhibits lung inflammation in LPS-challenged mice Wang X,Sci Rep,2020
- Differential CpG methylation of the promoter of interleukin 8 and the first intron of tissue factor in Antiphospholipid syndrome Patsouras MD,Journal of Autoimmunity,2019
相關產品
靶點詳情
-
功能:IL-8 is a chemotactic factor that attracts neutrophils, basophils, and T-cells, but not monocytes. It is also involved in neutrophil activation. It is released from several cell types in response to an inflammatory stimulus. IL-8(6-77) has a 5-10-fold higher activity on neutrophil activation, IL-8(5-77) has increased activity on neutrophil activation and IL-8(7-77) has a higher affinity to receptors CXCR1 and CXCR2 as compared to IL-8(1-77), respectively.
-
基因功能參考文獻:
- VEGF and IL-8 play a prominent role in the pathogenesis of early forms of rosacea and the hemostasis system. PMID: 29578433
- High levels of LIFR in colorectal cancer (CRC) facilitated proliferation and migration of endothelial cells, resulting in an increase in angiogenic activity. Moreover, IL-8 was found to play a role in the LIFR induced angiogenesis. IL-8 levels were correlated with LIFR levels in CRC tissues, whereas depletion of IL-8 led to a reduced angiogenic activity of LIFR in CRC cells. PMID: 29751081
- PKC-delta isoform plays a crucial role in Tat-TLR4 signaling pathway to activate NF-kappaB and CXCL8 production. PMID: 28539656
- CXCL8 was a target of miR-204, and miR-204 suppression could not increase cell viability, migration, invasion, and EMT procedure when CXCL8 was silenced. PMID: 29402343
- Interleukin 8 - 845 T/C and + 781 C/T polymorphisms were analyzed. For + 781C/T locus, in the dominant genetic model, significant difference between TT vs. CC + CT genotypes that significantly had a protective role against periodontitis disease. Positive association between distribution of IL8 - 845 T/C alleles and risk of periodontitis disease. C allele of IL-8 - 845 increased the risk of periodontitis disease. PMID: 30078118
- These results suggest a direct involvement of IL-8-CXCR1/2 axes in GBM progression by promoting both cell proliferation and invasion and indirectly by promoting neovascularization in the form of vascular mimicry. PMID: 30086759
- These results show that AKIP1 is crucial in cervical cancer angiogenesis and growth by elevating the levels of the NF-kappaB-dependent chemokines CXCL1, CXCL2, and CXCL8. PMID: 29520695
- The extramembranous domain of HofQ (emHofQ) was shown to interact with various cytokines, of which IL-8 exhibited the strongest interaction. PMID: 30088437
- he protein expression levels of IL-8 were significantly decreased in SZ patients, but no significant difference in the mRNA levels of IL-8 was observed between SZ patients and NC subjects. PMID: 28476335
- immune system process is indispensable in the progression of disease in colon, and identifies that IL-8 and MMP-9 play potential critical roles for the progression. PMID: 30074183
- IL-8 production was significantly enhanced following treatment with both IL-17A and CSE, while treatment with either IL-17A or CSE alone caused only a slight increase in IL-8 production. PMID: 29463070
- Work identified IL-8 as a positive regulator of homotypic CIC formation via enhancing intercellular adhesion. PMID: 30021676
- V2O5 induction of CXCL8 and CXCL11 chemokines may lead to the appearance and perpetuation of an inflammatory reaction into the dermal tissue. Further studies are required to evaluate dermal integrity and manifestations in subjects occupationally exposed, or living in polluted areas. PMID: 29901202
- Study findings point out that PAR2 could play an essential role in gastroesophageal reflux disease (GERD) pathogenesis - even repeated short-term exposure to weakly acidic conditions lead to the upregulation of PAR2 and subsequent activation of the intense IL-8 release in the esophageal mucosa and initiation of mucosal immune response in GERD. PMID: 29672302
- Given that IL-8, MIP-1beta, and MCP-1 are chemokines that play important roles in recruitment of immunocompetent cells for immune defense and tumor cell clearance, the observed lower levels of these markers with increasing PM2.5 exposure may provide insight into the mechanism by which DEE promotes lung cancer. PMID: 29023999
- These results suggested that stemness induction in SKOV3 cells by macrophages co-cultured with SKOV3-derived OCSLCs involved IL-8/STAT3 signaling. PMID: 29656182
- IL-8-251T>A (rs4073) Polymorphism is associated with gastric Cancer. PMID: 30275190
- expression level of CXCL8 had a positive relationship with recurrence probability in Acute myeloid leukemia. PMID: 29596823
- These data were in close agreement with the reduced cell migration and colony formation. Results from the present study suggested that reparixin and SCH527123 may be promising therapeutic agents for the treatment of pancreatic cancer by inhibiting the IL8/CXCR1/2 signaling cascade. PMID: 29749433
- A urinary IL-8 level of less than 61.25 pg/ml is more sensitive for prediction of complete remission in idiopathic membranous nephropathy patients. PMID: 29415357
- berberine inhibited the expression of MCP-1 and IL-8 induced by LPS. PMID: 28852897
- Regarding the IL-8 promoter T - 251A, the TA and AA genotypes were associated with significantly decreased risks of nasopharyngeal carcinoma (NPC) in a Taiwanese population compared with the wild-type TT genotype. The mRNA and protein expression levels for NPC tissues revealed no significant associations among the 20 NPC samples with different genotypes. PMID: 30200105
- IL-8 +781 T/C polymorphism is associated with the severe Clostridium difficile infection PMID: 29203364
- ShRNA mediated down-regulation of CXCL8 resulted in inhibition of cell proliferation, viability and invasion in vitro and a near complete growth reduction of tumor in vivo. PMID: 29679563
- CSF IL-8 concentrations were significantly elevated in CNS tumor patients as compared to non-tumoral individuals. AUC for CSF IL-8 was higher than for its index (CSF IL-8/serum IL-8). PMID: 29086194
- High IL8 expression is associated with melanoma. PMID: 29286146
- Lipo-CPFX, but not CPFX, retained the anti-IL-8 releasing activity. PMID: 29337216
- The results indicate significant contribution of IL8 on survival of hormonal dependent early-stage breast cancer patients and association with established parameters such as estrogen receptors/progesterone receptor and HER2. PMID: 28569250
- the frequency of non-classical monocytes expressing CXCL8 was increased in systemic sclerosis patient and monocytes expressing CXCL8 PMID: 29127442
- ntermediate Molecular Mass Hyaluronan and CD44 interactions enhanced normal PMN phagocytosis and IL-8 production PMID: 28730511
- serum levels in active vitiligo significantly elevated compared to those in stable vitiligo patients PMID: 29115683
- High IL8 expression is associated with pancreatic adenocarcinoma. PMID: 29205349
- Compared with controls, the interleukin (IL)-8 A/A genotype was more common in acute pancreatitis (AP). PMID: 29215544
- The presence of neither the first transmembrane helix of the receptor nor the lipid bilayer significantly affected the interactions of IL-8 with Binding Site-I of CXCR1. PMID: 29143165
- CXCL8 is highly expressed in cervical cancer tissues and cell lines, and correlated with malignant status and prognosis in cervical cancer patients. PMID: 28883082
- In conclusion, to our knowledge, this is the first study in the association of rs4073 and rs2227306 polymorphisms with childhood asthma risk in the Tunisian population. PMID: 28993876
- Results show that IL8 expression level is regulated by APE1 which activates NF-KB. PMID: 27388124
- aberrant miR-520c-3p expression may lead to reduced IL-8 expression and promote the mesenchymal phenotype in breast cancer cells, thereby increasing invasive growth. PMID: 29048659
- increased levels of IL-8 are associated with factors of worse prognosis in ovarian cancer PMID: 28872976
- Significantly elevated blood levels of IL-8 in myelodysplastic syndrome patients. PMID: 28856536
- the elevated concentrations of CXCL13, CXCL8, and CXCL10 or their increasing CSF/serum ratios may be potential biomarkers of neurosyphilis PMID: 27650493
- Results implicated the important role of PRL-3 in glycolysis metabolism through improving IL-8 secretion in colorectal cancer cells, and PRL-3 mediated glycolysis contributed to the promotion of cancer metastasis. PMID: 28791350
- Changes in serum IL-8 levels could be used to monitor and predict clinical benefit from immune checkpoint blockade in melanoma and NSCLC patients PMID: 28595336
- Lung cancer patients showed significantly lower levels of serum VEGF (1.9 fold) and IL-8 (~9 fold) than COPD patients. VEGF level was significantly higher (2.6 fold) in metastatic than non-metastatic cancer patients. An increase in MMP-9 (~1.6 fold) levels was observed in lung cancer patients. PMID: 27811960
- CXCL1/8 secreted by adipose-derived mesenchymal stem cells could promote breast cancer angiogenesis. PMID: 28514506
- our meta-analysis suggests that the IL-8 rs4073, A2767T, T11722T2, rs2234671, rs2230054, rs1126579, rs2227306, rs2227307, rs2227532, and T-738A polymorphisms are not associated with periodontitis while the IL-8 C1633T and rs1126580 polymorphisms may elevate the susceptibility of periodontitis based on the currently available evidences. PMID: 28446725
- An analogue of human CXCL8, CXCL8(3-72)K11R/G31P (hG31P) has been developed. PMID: 28754019
- inflammation triggered property of Microcystin-LR via IL-8/CXCR2 signaling PMID: 29197248
- A high IL-8 content in urine sampled on day 1 after renal transplantation was positively correlated with the activity of metalloproteinase-9 in urine. This proves that both of these chemokines cooperate in ischaemia-reperfusion injuries in transplanted kidneys. PMID: 28494217
- We discovered that IL-8 secreted from decidual stromal cells is a key cytokine enhancing the invasiveness of trophoblasts PMID: 28328096
顯示更多
收起更多
-
亞細胞定位:Secreted.
-
蛋白家族:Intercrine alpha (chemokine CxC) family
-
數據庫鏈接:
Most popular with customers
-
-
YWHAB Recombinant Monoclonal Antibody
Applications: ELISA, WB, IHC, IF, FC
Species Reactivity: Human, Mouse, Rat
-
Phospho-YAP1 (S127) Recombinant Monoclonal Antibody
Applications: ELISA, WB, IHC
Species Reactivity: Human
-
-
-
-
-















