CWF19L1 Antibody
-
中文名稱:CWF19L1兔多克隆抗體
-
貨號:CSB-PA727965LA01HU
-
規格:¥440
-
圖片:
-
Western blot
All lanes: CWF19L1 antibody at 4µg/ml + Raji whole cell lysate
Secondary
Goat polyclonal to rabbit IgG at 1/10000 dilution
Predicted band size: 61, 28, 46 kDa
Observed band size: 61 kDa -
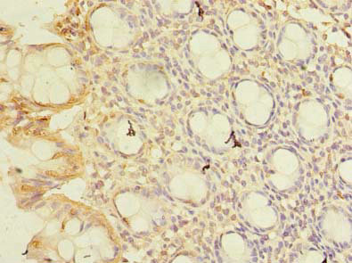
Immunohistochemistry of paraffin-embedded human colon tissue using CSB-PA727965LA01HU at dilution of 1:100
-
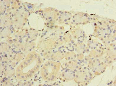
Immunohistochemistry of paraffin-embedded human pancreatic tissue using CSB-PA727965LA01HU at dilution of 1:100
-
-
其他:
產品詳情
-
產品名稱:Rabbit anti-Homo sapiens (Human) CWF19L1 Polyclonal antibody
-
Uniprot No.:
-
基因名:CWF19L1
-
別名:CWF19L1CWF19-like protein 1 antibody; C19L1 antibody
-
宿主:Rabbit
-
反應種屬:Human
-
免疫原:Recombinant Human CWF19-like protein 1 protein (101-330AA)
-
免疫原種屬:Homo sapiens (Human)
-
標記方式:Non-conjugated
本頁面中的產品,CWF19L1 Antibody (CSB-PA727965LA01HU),的標記方式是Non-conjugated。對于CWF19L1 Antibody,我們還提供其他標記。見下表:
-
克隆類型:Polyclonal
-
抗體亞型:IgG
-
純化方式:>95%, Protein G purified
-
濃度:It differs from different batches. Please contact us to confirm it.
-
保存緩沖液:Preservative: 0.03% Proclin 300
Constituents: 50% Glycerol, 0.01M PBS, PH 7.4 -
產品提供形式:Liquid
-
應用范圍:ELISA, WB, IHC
-
推薦稀釋比:
Application Recommended Dilution WB 1:500-1:2000 IHC 1:20-1:200 -
Protocols:
-
儲存條件:Upon receipt, store at -20°C or -80°C. Avoid repeated freeze.
-
貨期:Basically, we can dispatch the products out in 1-3 working days after receiving your orders. Delivery time maybe differs from different purchasing way or location, please kindly consult your local distributors for specific delivery time.
-
用途:For Research Use Only. Not for use in diagnostic or therapeutic procedures.
相關產品
靶點詳情
-
基因功能參考文獻:
- Our report corroborates that loss-of-function mutations in CWF19Ll lead to early onset cerebellar ataxia and (progressive) cerebellar atrophy. PMID: 27016154
- Two pathogenic variants in CWF19L1 were identified in a patient with autosomal recessive cerebellar ataxia. c.37G>C variant was inherited from the father and the c.946A>T variant from the mother. PMID: 26197978
- Results of protein-protein interaction between human Dbr1 and factors found in the Intron Large complex identify Xab2 and a novel protein CWF19L1 as specific interactors of DBR1. PMID: 25671812
- CWF19L1 mutations may be a novel cause of recessive ataxia with developmental delay PMID: 25361784
- Our findings suggest ERLIN1-CHUK-CWF19L1 variants are associated with early stage of fatty liver accumulation to hepatic inflammation. PMID: 23477746
顯示更多
收起更多
-
相關疾病:Spinocerebellar ataxia, autosomal recessive, 17 (SCAR17)
-
蛋白家族:CWF19 family
-
組織特異性:Expressed in many brain regions, including cerebellum, thalamus and occipital, parietal and temporal lobes (at protein level). Also expressed in the spinal cord (at protein level).
-
數據庫鏈接:
Most popular with customers
-
-
YWHAB Recombinant Monoclonal Antibody
Applications: ELISA, WB, IHC, IF, FC
Species Reactivity: Human, Mouse, Rat
-
Phospho-YAP1 (S127) Recombinant Monoclonal Antibody
Applications: ELISA, WB, IHC
Species Reactivity: Human
-
-
-
-
-















