CTSE Antibody
-
中文名稱:CTSE兔多克隆抗體
-
貨號:CSB-PA296813
-
規格:¥1100
-
圖片:
-
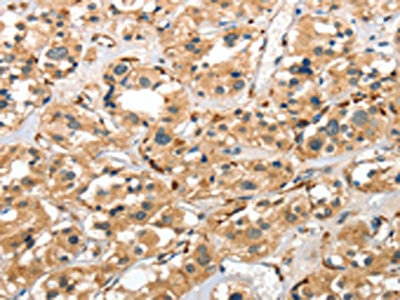
The image on the left is immunohistochemistry of paraffin-embedded Human gastic cancer tissue using CSB-PA296813(CTSE Antibody) at dilution 1/40, on the right is treated with fusion protein. (Original magnification: ×200)
-
The image on the left is immunohistochemistry of paraffin-embedded Human thyroid cancer tissue using CSB-PA296813(CTSE Antibody) at dilution 1/40, on the right is treated with fusion protein. (Original magnification: ×200)
-
Gel: 8%SDS-PAGE, Lysate: 40 μg, Lane 1-2: Human stomach cancer tissue, mouse stomach tissue, Primary antibody: CSB-PA296813(CTSE Antibody) at dilution 1/450, Secondary antibody: Goat anti rabbit IgG at 1/8000 dilution, Exposure time: 20 seconds
-
-
其他:
產品詳情
-
Uniprot No.:
-
基因名:CTSE
-
別名:CATE antibody; CATE_HUMAN antibody; Cathepsin E antibody; Cathepsin E form II antibody; CTSE antibody; Erythrocyte membrane aspartic proteinase antibody; Slow moving proteinase antibody
-
宿主:Rabbit
-
反應種屬:Human,Mouse,Rat
-
免疫原:Fusion protein of Human CTSE
-
免疫原種屬:Homo sapiens (Human)
-
標記方式:Non-conjugated
-
抗體亞型:IgG
-
純化方式:Antigen affinity purification
-
濃度:It differs from different batches. Please contact us to confirm it.
-
保存緩沖液:-20°C, pH7.4 PBS, 0.05% NaN3, 40% Glycerol
-
產品提供形式:Liquid
-
應用范圍:ELISA,WB,IHC
-
推薦稀釋比:
Application Recommended Dilution ELISA 1:1000-1:5000 WB 1:500-1:2000 IHC 1:50-1:200 -
Protocols:
-
儲存條件:Upon receipt, store at -20°C or -80°C. Avoid repeated freeze.
-
貨期:Basically, we can dispatch the products out in 1-3 working days after receiving your orders. Delivery time maybe differs from different purchasing way or location, please kindly consult your local distributors for specific delivery time.
-
用途:For Research Use Only. Not for use in diagnostic or therapeutic procedures.
相關產品
靶點詳情
-
功能:May have a role in immune function. Probably involved in the processing of antigenic peptides during MHC class II-mediated antigen presentation. May play a role in activation-induced lymphocyte depletion in the thymus, and in neuronal degeneration and glial cell activation in the brain.
-
基因功能參考文獻:
- Cathepsin E, mitochondrial fission, and caspase activation/apoptosis are linked in the pathogenesis of pulmonary emphysema. PMID: 25239563
- High Expression of Cathepsin E is associated with Tissues but Not Blood of Patients with Barrett's Esophagus and Adenocarcinoma. PMID: 25348778
- Decreased activity of cathepsin E produced by decidual macrophages might be responsible for the induction of miscarriages in some recurrent miscarriage patients. PMID: 24464956
- data demonstrate that CatE contributes to normal growth and development of mammary glands through proper trafficking and secretion of Wnt5a PMID: 24242330
- CTSE is a marker of both gastric differentiation and signet-ring cell carcinoma, which should shed light on the mechanism of gastric tumorigenesis. PMID: 23451082
- Cath E activity is useful as a potential molecular target for Pancreatic ductal adenocarcinoma and early detection imaging. PMID: 22068166
- A comparative structure model of splice variant 2 was computed based on its alignment to the known structure of cathepsin E intermediate (Protein Data Bank code 1TZS) and used to rationalize its conformational properties and loss of activity. PMID: 22718633
- Emerging roles of cathepsin E in immune system cells and skin keratinocytes, and in host defense against cancer cells. PMID: 21664991
- Cath E selectivity was established by having -Leu**Pro- residues at the scissile peptide bond. PMID: 20600629
- These results suggest the possible involvement of cathepsin E in disruption of the structural and functional integrity of alpha 2-macroglobulin in the endolysosome system. PMID: 12631277
- Reduced expression of cathepsin E is observed in erythrocytes of humans with atopic dermatitis. PMID: 14769879
- crystal structure of an activation intermediate of cathepsin E at 2.35A resolution PMID: 15342244
- Both cathepsin E message and protein are found in human dendritic cells, but are absent in monocytes. PMID: 15699105
- Three-dimensional structure of cathepsin-E. PMID: 15845357
- the human cathepsin E gene is regulated by the constitutive androstane receptor PMID: 17888866
- cathepsin E differentially regulates the nature and function of dendritic cells and macrophages PMID: 17947645
- cathepsin E plays a substantial role in host defense against tumor cells through TRAIL-dependent apoptosis and/or tumor-associated macrophage-mediated cytotoxicity PMID: 18006832
- CatE is important in the processing of tetanus toxin C-fragment in primary human B cells. PMID: 18996084
- This study demonstrates the over-expression in CTSE, in particular, and TFF1 in sessile serrated adenomas compared to both hyperplastic polyps and tubular adenomas. PMID: 19172291
顯示更多
收起更多
-
亞細胞定位:Endosome. Note=The proenzyme is localized to the endoplasmic reticulum and Golgi apparatus, while the mature enzyme is localized to the endosome.
-
蛋白家族:Peptidase A1 family
-
組織特異性:Expressed abundantly in the stomach, the Clara cells of the lung and activated B-lymphocytes, and at lower levels in lymph nodes, skin and spleen. Not expressed in resting B-lymphocytes.
-
數據庫鏈接:
Most popular with customers
-
-
YWHAB Recombinant Monoclonal Antibody
Applications: ELISA, WB, IHC, IF, FC
Species Reactivity: Human, Mouse, Rat
-
Phospho-YAP1 (S127) Recombinant Monoclonal Antibody
Applications: ELISA, WB, IHC
Species Reactivity: Human
-
-
-
-
-















