CTDNEP1 Antibody
-
中文名稱:CTDNEP1兔多克隆抗體
-
貨號:CSB-PA05415A0Rb
-
規格:¥440
-
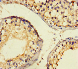
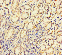
圖片:
-
其他:
產品詳情
-
產品名稱:Rabbit anti-Homo sapiens (Human) CTDNEP1 Polyclonal antibody
-
Uniprot No.:
-
基因名:CTDNEP1
-
別名:CTDNEP1; DULLARD; CTD nuclear envelope phosphatase 1; Serine/threonine-protein phosphatase dullard
-
宿主:Rabbit
-
反應種屬:Human
-
免疫原:Recombinant Human CTD nuclear envelope phosphatase 1 protein (3-244AA)
-
免疫原種屬:Homo sapiens (Human)
-
標記方式:Non-conjugated
本頁面中的產品,CTDNEP1 Antibody (CSB-PA05415A0Rb),的標記方式是Non-conjugated。對于CTDNEP1 Antibody,我們還提供其他標記。見下表:
-
克隆類型:Polyclonal
-
抗體亞型:IgG
-
純化方式:>95%, Protein G purified
-
濃度:It differs from different batches. Please contact us to confirm it.
-
保存緩沖液:Preservative: 0.03% Proclin 300
Constituents: 50% Glycerol, 0.01M PBS, PH 7.4 -
產品提供形式:Liquid
-
應用范圍:ELISA, IHC
-
推薦稀釋比:
Application Recommended Dilution IHC 1:20-1:200 -
Protocols:
-
儲存條件:Upon receipt, store at -20°C or -80°C. Avoid repeated freeze.
-
貨期:Basically, we can dispatch the products out in 1-3 working days after receiving your orders. Delivery time maybe differs from different purchasing way or location, please kindly consult your local distributors for specific delivery time.
-
用途:For Research Use Only. Not for use in diagnostic or therapeutic procedures.
相關產品
靶點詳情
-
功能:Serine/threonine protein phosphatase forming with CNEP1R1 an active phosphatase complex that dephosphorylates and may activate LPIN1 and LPIN2. LPIN1 and LPIN2 are phosphatidate phosphatases that catalyze the conversion of phosphatidic acid to diacylglycerol and control the metabolism of fatty acids at different levels. May indirectly modulate the lipid composition of nuclear and/or endoplasmic reticulum membranes and be required for proper nuclear membrane morphology and/or dynamics. May also indirectly regulate the production of lipid droplets and triacylglycerol. May antagonize BMP signaling.
-
基因功能參考文獻:
- CTDNEP1 is upregulated in non-alcoholic fatty liver disease. Up-regulation of miR-122 can trigger the compensatory response of LPIN1 and CTDNEP1 in hepatosteatosis. PMID: 28287811
- Dullard participates in a unique phosphatase cascade regulating nuclear membrane biogenesis, a cascade that is conserved from yeast to mammals. PMID: 17420445
-
亞細胞定位:Endoplasmic reticulum membrane; Single-pass membrane protein. Nucleus membrane; Single-pass membrane protein.
-
蛋白家族:Dullard family
-
組織特異性:Muscle specific with lower expression in other metabolic tissues.
-
數據庫鏈接:
Most popular with customers
-
-
Phospho-YAP1 (S127) Recombinant Monoclonal Antibody
Applications: ELISA, WB, IHC
Species Reactivity: Human
-
-
-
-
-
-















