CST4 Antibody
-
中文名稱:CST4兔多克隆抗體
-
貨號:CSB-PA006092ESR2HU
-
規格:¥440
-
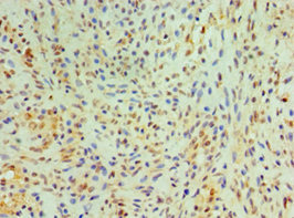
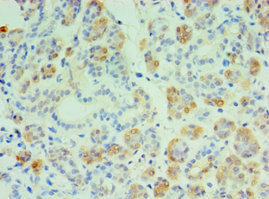
圖片:
-
其他:
產品詳情
-
產品名稱:Rabbit anti-Homo sapiens (Human) CST4 Polyclonal antibody
-
Uniprot No.:
-
基因名:CST4
-
別名:Cst4 antibody; Cystatin 4 antibody; Cystatin S precursor antibody; Cystatin SA III antibody; Cystatin-4 antibody; Cystatin-S antibody; Cystatin-SA-III antibody; CYTS_HUMAN antibody; MGC71923 antibody; Salivary acidic protein 1 antibody
-
宿主:Rabbit
-
反應種屬:Human
-
免疫原:Recombinant Human Cystatin-S protein (21-141AA)
-
免疫原種屬:Homo sapiens (Human)
-
標記方式:Non-conjugated
-
克隆類型:Polyclonal
-
抗體亞型:IgG
-
純化方式:Antigen Affinity Purified
-
濃度:It differs from different batches. Please contact us to confirm it.
-
保存緩沖液:PBS with 0.02% sodium azide, 50% glycerol, pH7.3.
-
產品提供形式:Liquid
-
應用范圍:ELISA, IHC
-
推薦稀釋比:
Application Recommended Dilution IHC 1:20-1:200 -
Protocols:
-
儲存條件:Upon receipt, store at -20°C or -80°C. Avoid repeated freeze.
-
貨期:Basically, we can dispatch the products out in 1-3 working days after receiving your orders. Delivery time maybe differs from different purchasing way or location, please kindly consult your local distributors for specific delivery time.
-
用途:For Research Use Only. Not for use in diagnostic or therapeutic procedures.
相關產品
靶點詳情
-
功能:This protein strongly inhibits papain and ficin, partially inhibits stem bromelain and bovine cathepsin C, but does not inhibit porcine cathepsin B or clostripain. Papain is inhibited non-competitively.
-
基因功能參考文獻:
- Findings suggest the mechanism of inhibition of SAP-1 (an N-terminal truncated form of cystatin S) for different proteases. PMID: 24261636
-
亞細胞定位:Secreted.
-
蛋白家族:Cystatin family
-
組織特異性:Expressed in submandibular and sublingual saliva but not in parotid saliva (at protein level). Expressed in saliva, tears, urine and seminal fluid.
-
數據庫鏈接:
Most popular with customers
-
-
YWHAB Recombinant Monoclonal Antibody
Applications: ELISA, WB, IHC, IF, FC
Species Reactivity: Human, Mouse, Rat
-
Phospho-YAP1 (S127) Recombinant Monoclonal Antibody
Applications: ELISA, WB, IHC
Species Reactivity: Human
-
-
-
-
-















