CST2 Antibody
-
中文名稱:CST2兔多克隆抗體
-
貨號:CSB-PA196852
-
規格:¥1100
-
圖片:
-
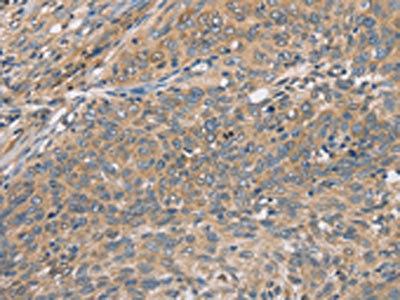
The image on the left is immunohistochemistry of paraffin-embedded Human cervical cancer tissue using CSB-PA196852(CST2 Antibody) at dilution 1/50, on the right is treated with fusion protein. (Original magnification: ×200)
-
The image on the left is immunohistochemistry of paraffin-embedded Human thyroid cancer tissue using CSB-PA196852(CST2 Antibody) at dilution 1/50, on the right is treated with fusion protein. (Original magnification: ×200)
-
Gel: 12%SDS-PAGE, Lysate: 40 μg, Lane: Lovo cells, Primary antibody: CSB-PA196852(CST2 Antibody) at dilution 1/300, Secondary antibody: Goat anti rabbit IgG at 1/8000 dilution, Exposure time: 5 minutes
-
-
其他:
產品詳情
-
Uniprot No.:
-
基因名:CST2
-
別名:CST 2 antibody; CST2 antibody; Cystatin 2 antibody; Cystatin S5 antibody; Cystatin-2 antibody; Cystatin-S5 antibody; Cystatin-SA antibody; Cysteine proteinase inhibitor antibody; CYTT_HUMAN antibody; MGC71924 antibody; Salivary cysteine (thiol) protease inhibitor antibody
-
宿主:Rabbit
-
反應種屬:Human
-
免疫原:Fusion protein of Human CST2
-
免疫原種屬:Homo sapiens (Human)
-
標記方式:Non-conjugated
-
抗體亞型:IgG
-
純化方式:Antigen affinity purification
-
濃度:It differs from different batches. Please contact us to confirm it.
-
保存緩沖液:-20°C, pH7.4 PBS, 0.05% NaN3, 40% Glycerol
-
產品提供形式:Liquid
-
應用范圍:ELISA,WB,IHC
-
推薦稀釋比:
Application Recommended Dilution ELISA 1:2000-1:5000 WB 1:200-1:1000 IHC 1:50-1:200 -
Protocols:
-
儲存條件:Upon receipt, store at -20°C or -80°C. Avoid repeated freeze.
-
貨期:Basically, we can dispatch the products out in 1-3 working days after receiving your orders. Delivery time maybe differs from different purchasing way or location, please kindly consult your local distributors for specific delivery time.
-
用途:For Research Use Only. Not for use in diagnostic or therapeutic procedures.
相關產品
靶點詳情
-
功能:Thiol protease inhibitor.
-
基因功能參考文獻:
- This data suggests an autoimmune mechanism behind chronic mucocutaneous candidiasis in autoimmune polyendocrine syndrome type I and provides rationale for evaluating cystatin SA1 in antifungal therapy. PMID: 23122533
- Identification of cystatin SA as a novel inhibitor of acid ceramidase. PMID: 21846728
- cystatins SA1 and SA2 adhere to human fibroblasts and that the event results in tyrosine phosphorylation and upregulation of the release of IL-6 mediated enhancement of NF-kappa B activity. PMID: 12413693
-
亞細胞定位:Secreted.
-
蛋白家族:Cystatin family
-
組織特異性:Expressed in submandibular and sublingual saliva but not in parotid saliva (at protein level). Expressed in submandibular gland and parotid gland.
-
數據庫鏈接:
Most popular with customers
-
-
YWHAB Recombinant Monoclonal Antibody
Applications: ELISA, WB, IHC, IF, FC
Species Reactivity: Human, Mouse, Rat
-
Phospho-YAP1 (S127) Recombinant Monoclonal Antibody
Applications: ELISA, WB, IHC
Species Reactivity: Human
-
-
-
-
-















