CSNK2A3 Antibody
-
中文名稱:CSNK2A3兔多克隆抗體
-
貨號:CSB-PA086427LA01HU
-
規格:¥440
-
圖片:
-
Western Blot
Positive WB detected in: PC3 whole cell lysate, SH-SY5Y whole cell lysate, A549 whole cell lysate, Jurkat whole cell lysate, K562 whole cell lysate, Hela whole cell lysate, THP-1 whole cell lysate
All lanes: CSNK2A3 antibody at 1:2000
Secondary
Goat polyclonal to rabbit IgG at 1/50000 dilution
Predicted band size: 46 kDa
Observed band size: 46 kDa -
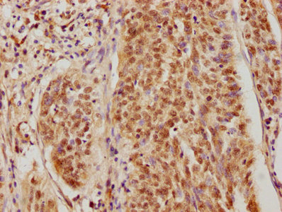
IHC image of CSB-PA086427LA01HU diluted at 1:400 and staining in paraffin-embedded human cervical cancer performed on a Leica BondTM system. After dewaxing and hydration, antigen retrieval was mediated by high pressure in a citrate buffer (pH 6.0). Section was blocked with 10% normal goat serum 30min at RT. Then primary antibody (1% BSA) was incubated at 4°C overnight. The primary is detected by a biotinylated secondary antibody and visualized using an HRP conjugated SP system.
-
Immunoprecipitating CSNK2A3 in Hela whole cell lysate
Lane 1: Rabbit control IgG instead of CSB-PA086427LA01HU in Hela whole cell lysate. For western blotting, a HRP-conjugated Protein G antibody was used as the secondary antibody (1/50000)
Lane 2: CSB-PA086427LA01HU (5µg) + Hela whole cell lysate (0.5mg)
Lane 3: Hela whole cell lysate (20µg)
-
-
其他:
產品詳情
-
產品名稱:Rabbit anti-Homo sapiens (Human) CSNK2A3 Polyclonal antibody
-
Uniprot No.:
-
基因名:
-
別名:CSNK2A3 antibody; CSNK2A1PCasein kinase II subunit alpha 3 antibody; CK II alpha 3 antibody; EC 2.7.11.1 antibody; Casein kinase II alpha 1 polypeptide pseudogene antibody
-
宿主:Rabbit
-
反應種屬:Human
-
免疫原:Recombinant Human Casein kinase II subunit alpha 3 protein (151-391AA)
-
免疫原種屬:Homo sapiens (Human)
-
標記方式:Non-conjugated
本頁面中的產品,CSNK2A3 Antibody (CSB-PA086427LA01HU),的標記方式是Non-conjugated。對于CSNK2A3 Antibody,我們還提供其他標記。見下表:
-
克隆類型:Polyclonal
-
抗體亞型:IgG
-
純化方式:>95%, Protein G purified
-
濃度:It differs from different batches. Please contact us to confirm it.
-
保存緩沖液:Preservative: 0.03% Proclin 300
Constituents: 50% Glycerol, 0.01M PBS, pH 7.4 -
產品提供形式:Liquid
-
應用范圍:ELISA, WB, IHC, IP
-
推薦稀釋比:
Application Recommended Dilution WB 1:1000-1:5000 IHC 1:200-1:500 IP 1:200-1:2000 -
Protocols:
-
儲存條件:Upon receipt, store at -20°C or -80°C. Avoid repeated freeze.
-
貨期:Basically, we can dispatch the products out in 1-3 working days after receiving your orders. Delivery time maybe differs from different purchasing way or location, please kindly consult your local distributors for specific delivery time.
-
用途:For Research Use Only. Not for use in diagnostic or therapeutic procedures.
相關產品
靶點詳情
-
功能:Probable catalytic subunit of a constitutively active serine/threonine-protein kinase complex that phosphorylates a large number of substrates containing acidic residues C-terminal to the phosphorylated serine or threonine. Amplification-dependent oncogene; promotes cell proliferation and tumorigenesis by down-regulating expression of the tumor suppressor protein, PML. May play a role in the pathogenesis of the lung cancer development and progression.
-
基因功能參考文獻:
- Observational study of gene-disease association. (HuGE Navigator) PMID: 20625391
-
蛋白家族:Protein kinase superfamily, Ser/Thr protein kinase family, CK2 subfamily
-
組織特異性:Detected in blood platelets and megakaryocyte cell lines. Poorly expressed in lung. Highly expressed in lung tumor tissues.
-
數據庫鏈接:
Most popular with customers
-
-
YWHAB Recombinant Monoclonal Antibody
Applications: ELISA, WB, IHC, IF, FC
Species Reactivity: Human, Mouse, Rat
-
-
-
-
-
-















