CSN2 Antibody
-
中文名稱:CSN2兔多克隆抗體
-
貨號:CSB-PA006063LA01HU
-
規格:¥440
-
圖片:
-
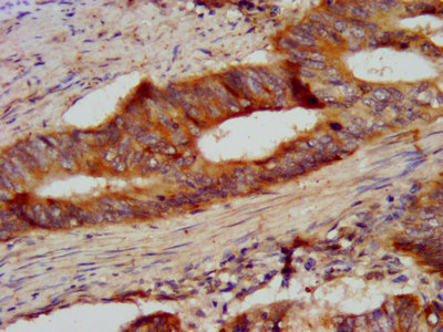
IHC image of CSB-PA006063LA01HU diluted at 1:300 and staining in paraffin-embedded human colon cancer performed on a Leica BondTM system. After dewaxing and hydration, antigen retrieval was mediated by high pressure in a citrate buffer (pH 6.0). Section was blocked with 10% normal goat serum 30min at RT. Then primary antibody (1% BSA) was incubated at 4°C overnight. The primary is detected by a biotinylated secondary antibody and visualized using an HRP conjugated SP system.
-
-
其他:
產品詳情
-
產品名稱:Rabbit anti-Homo sapiens (Human) CSN2 Polyclonal antibody
-
Uniprot No.:
-
基因名:CSN2
-
別名:Beta-casein antibody; CASB antibody; CASB_HUMAN antibody; Casein beta antibody; CSN 2 antibody; Csn2 antibody
-
宿主:Rabbit
-
反應種屬:Human
-
免疫原:Recombinant Human Beta-casein protein (16-226AA)
-
免疫原種屬:Homo sapiens (Human)
-
標記方式:Non-conjugated
本頁面中的產品,CSN2 Antibody (CSB-PA006063LA01HU),的標記方式是Non-conjugated。對于CSN2 Antibody,我們還提供其他標記。見下表:
-
克隆類型:Polyclonal
-
抗體亞型:IgG
-
純化方式:>95%, Protein G purified
-
濃度:It differs from different batches. Please contact us to confirm it.
-
保存緩沖液:Preservative: 0.03% Proclin 300
Constituents: 50% Glycerol, 0.01M PBS, pH 7.4 -
產品提供形式:Liquid
-
應用范圍:ELISA, IHC
-
推薦稀釋比:
Application Recommended Dilution IHC 1:200-1:500 -
Protocols:
-
儲存條件:Upon receipt, store at -20°C or -80°C. Avoid repeated freeze.
-
貨期:Basically, we can dispatch the products out in 1-3 working days after receiving your orders. Delivery time maybe differs from different purchasing way or location, please kindly consult your local distributors for specific delivery time.
-
用途:For Research Use Only. Not for use in diagnostic or therapeutic procedures.
相關產品
靶點詳情
-
功能:Important role in determination of the surface properties of the casein micelles.
-
基因功能參考文獻:
- Data suggest that neurogenesis in neuronal stem cells is differentially affected by human and bovine beta-casein-derived opioid peptides BCM7 and BCM9; such neurogenic changes are accompanied by changes in glutathione/glutathione disulfide ratio and in S-adenosylmethionine/S-adenosylhomocysteine ratio, indicative of changes in redox and methylation states (including DNA methylation). PMID: 27611101
- Exogenous 5-HT decreased beta-casein expression in MCF-12A human mammary epithelial cells and was responsible for inhibiting phosphorylation of STAT5, resulting in a decline in lactational function. PMID: 25087955
- The acidic fragment of human Abeta (Abeta1-11) and a phosphorylated fragment of beta-Casein induced tau fibrillization in vitro. PMID: 24364857
- Milk congestion gives rise to higher levels of beta-casomorphin-8 in milk and plasma than in lactating women without problems. PMID: 24189037
- derivatives of peptide fragment (54-59) exhibit immunosuppressant activity PMID: 19463972
- New functions of lactoferrin and beta-casein in mammalian milk as cysteine protease inhibitors. They might play a role in antiseptic and antiinfectious functions due to cysteine protease inhibition of bacteria and viruses. PMID: 12788072
- The RCM-kappa does form concentration-dependent micelles. Also, beta-CN phosphorylation level influences micelle formation. Complexes were low-temperature reversible and RCM-kappa fibrils were seen. PMID: 16947075
- a negative cross talk between PR and Stat5a/GR may contribute to the physiological role of progesterone to repress lactogenic hormone induction of the beta-casein gene PMID: 16973758
顯示更多
收起更多
-
亞細胞定位:Secreted.
-
蛋白家族:Beta-casein family
-
組織特異性:Mammary gland specific. Secreted in milk.
-
數據庫鏈接:
Most popular with customers
-
-
YWHAB Recombinant Monoclonal Antibody
Applications: ELISA, WB, IHC, IF, FC
Species Reactivity: Human, Mouse, Rat
-
Phospho-YAP1 (S127) Recombinant Monoclonal Antibody
Applications: ELISA, WB, IHC
Species Reactivity: Human
-
-
-
-
-















