CSMD1 Antibody
-
中文名稱:CSMD1兔多克隆抗體
-
貨號:CSB-PA160733
-
規格:¥1100
-
圖片:
-
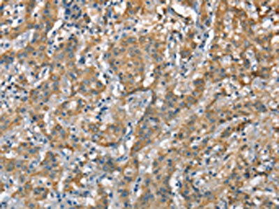
The image on the left is immunohistochemistry of paraffin-embedded Human gastic cancer tissue using CSB-PA160733(CSMD1 Antibody) at dilution 1/40, on the right is treated with synthetic peptide. (Original magnification: ×200)
-
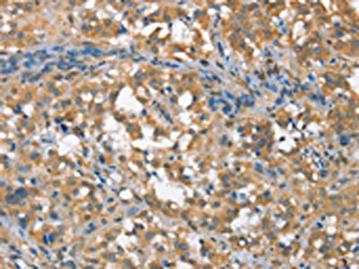
The image on the left is immunohistochemistry of paraffin-embedded Human thyroid cancer tissue using CSB-PA160733(CSMD1 Antibody) at dilution 1/40, on the right is treated with synthetic peptide. (Original magnification: ×200)
-
-
其他:
產品詳情
-
Uniprot No.:
-
基因名:CSMD1
-
別名:CSMD1 antibody; KIAA1890 antibody; UNQ5952/PRO19863CUB and sushi domain-containing protein 1 antibody; CUB and sushi multiple domains protein 1 antibody
-
宿主:Rabbit
-
反應種屬:Human,Mouse
-
免疫原:Synthetic peptide of Human CSMD1
-
免疫原種屬:Homo sapiens (Human)
-
標記方式:Non-conjugated
-
抗體亞型:IgG
-
純化方式:Antigen affinity purification
-
濃度:It differs from different batches. Please contact us to confirm it.
-
保存緩沖液:-20°C, pH7.4 PBS, 0.05% NaN3, 40% Glycerol
-
產品提供形式:Liquid
-
應用范圍:ELISA,IHC
-
推薦稀釋比:
Application Recommended Dilution ELISA 1:2000-1:5000 IHC 1:50-1:200 -
Protocols:
-
儲存條件:Upon receipt, store at -20°C or -80°C. Avoid repeated freeze.
-
貨期:Basically, we can dispatch the products out in 1-3 working days after receiving your orders. Delivery time maybe differs from different purchasing way or location, please kindly consult your local distributors for specific delivery time.
-
用途:For Research Use Only. Not for use in diagnostic or therapeutic procedures.
相關產品
靶點詳情
-
功能:Potential suppressor of squamous cell carcinomas.
-
基因功能參考文獻:
- we studied n=3437 individuals and found evidence that a variant in CSMD1 is associated with cognitive function. PMID: 27890662
- Low expression of CSMD1 is associated with enhanced proliferation, migration and invasion. PMID: 28534981
- Study provide experimental evidence for the role of CSMD1 as a tumor suppressor in vitro and in vivo in the progression of breast cancer. Results revealed that expression of CSMD1 significantly reduced cell motility and migration, adhesion and invasion, as well as the tumorigenic and signaling potential of human breast cancer cells. PMID: 27764775
- rs10503253 is likely a common schizophrenia risk variant in multiple ethnic groups PMID: 28344127
- Data show that micrRNA miR-10b is overexpressed in hepatocellular carcinoma (HCC) tissues and miR-10b mimics promoted HCC cell viability and invasion via targeting CUB and Sushi multiple domains 1 (CSMD1) expression. PMID: 27756250
- findings do not support an association between CSMD1 rs10503253 and Schizophrenia in a Han Chinese population. PMID: 27377754
- CSMD1 gene is a target for human papillomavirus integrations and chromosome rearrangements in oropharyngeal squamous cell carcinoma. PMID: 27636103
- Allele-wise association analysis detected three SNPs, including rs2623659 in the CUB and Sushi multiple domains-1 (CSMD1) gene, associated with severity of illness at end point. The severity of illness at end point was associated with treatment response, but not with the severity of illness at baseline. Three SNPs, including rs2294424 in the C6orf105 gene, were associated with social outcomes. PMID: 26674612
- This study failed to observe any association between rs12861349 and parkinson disear in iran population. PMID: 26732583
- Loss of heterozygosity at D8S262 and down-regulation of CSMD1 expression may be early events in hepatocarcinogenesis. PMID: 26076954
- In the first published genome-wide association study of postburn hypertrophic scarring (HTS), we report that a common intronic variant in the CSMD1 gene is associated with reduced severity of postburn HTS. PMID: 26366535
- A SNP within CSMD1 associated with variation in the potential osteoarthritis biomarker uCTX-II levels with borderline genome-wide significance. PMID: 25057126
- The associations of rs2616984 in CSMD1 gene, putative associations of rs3131296 in NOTCH4 gene, and associations of rs2229741 of NRIP1 gene with Alzheimer's disease have been found in a Russian population. PMID: 25845235
- Results underline the relevance of the risk "A" allele to neurocognitive functioning and suggest that its detrimental effects on cognition, may be part of the mechanism by which the CSMD1 mediates risk for schizophrenia PMID: 24630139
- CSMD1 and CSMD2 expressions were associated with overall survival PMID: 24408017
- role of CSMD1 and SYNE1 in the etiology of bipolar disorder PMID: 24387768
- Single nucleotide polymorphism rs10503253 within the CSMD1 gene is associated with cognition disorder in schizophrenia. PMID: 23839771
- CSMD1 inhibits complement by promoting factor I-mediated C4b/C3b degradation and inhibition of membrane attack complex assembly. PMID: 23964079
- results confirm the role of CSDM1 as a tumor suppressor gene in melanoma cells; study also found that CSMD1 can interact with Smad3, activate Smad1, Smad2, and Smad3, and increase the expression of Smad4 PMID: 22538441
- TNIP1/ANXA6 and CSMD1 variants interacting with cigarette smoking and alcohol intake affect risk of psoriasis. PMID: 23541940
- CSMD1 alterations can correlate with earlier clinical presentation in colorectal tumors, thus further implicating CSMD1 as a tumor suppressor gene. PMID: 23505554
- CSMD1 schizophrenia risk 'A' allele at rs10503253 is associated with impaired cognition and memory function, but not attentinal control. PMID: 23320435
- data demonstrate a significant role of complement control-related genes in the etiology of schizophrenia. PMID: 21439553
- Reduction of CSMD1 expression significantly associated with high tumour grade and decreased overall survival in invasive ductal breast carcinoma PMID: 19669408
- Consistent genetic factors for ATP2B1, CSK, ARSG and CSMD1 were present, which have been shown to be associated with high blood pressure and hypertension in two Korean cohorts. PMID: 19960030
- Simple inactivation of CSMD1 may not explain the deletions observed in oropharyngeal squamous cell carcinoma and may call into question the role of this gene in head and neck carcinogenesis. PMID: 12696061
- CSMD1 mutations may play a role in the development of colorectal cancer. PMID: 18614856
- Characterization of CSMD1 in a large set of primary lung, head and neck, breast, and skin cancer tissues is reported. PMID: 19276661
- CSMD1 protein blocks activation of the classical complement pathway PMID: 16547280
- BAC microarray-CGH detects homozygous deletion of CSMD1 in human bladder cancer specimens PMID: 16203795
- The region around CSMD1 has the highest sequence diversity between humans and the highest sequence divergance between humans and chimps in the genome. PMID: 16421571
- CSMD1 is located within fragile site FRA8B. PMID: 16221525
- CSMD1 expression is aberrant in most SCC cell lines. Reduced expression is associated with methylation of a specific region of the promoter. Other defects include loss of specific exons during splicing and activation of cryptic promoters. PMID: 16153303
- CSMD1 is a member of a suite of genes whose downregulation is predictive of prostate cancer relapse PMID: 12874026
- CSMD1 expression is markedly decreased in high stage prostatic adenocarcinomas PMID: 15138198
- CSMD1 protein domain structure and the sequence of the cytoplasmic tail are highly conserved between mammals and fish PMID: 12906867
- Previously reported apparent homozygous deletions wholly contained within CSMD1 introns are a PCR artifact caused by SNPs within the primer sequences. The allele remaining after LOH can't be amplified by these primers. PMID: 14506705
顯示更多
收起更多
-
亞細胞定位:Membrane; Single-pass type I membrane protein.
-
蛋白家族:CSMD family
-
組織特異性:Weakly expressed in most tissues, except in brain. Expressed at intermediate level in brain, including cerebellum, substantia nigra, hippocampus and fetal brain.
-
數據庫鏈接:
Most popular with customers
-
-
YWHAB Recombinant Monoclonal Antibody
Applications: ELISA, WB, IHC, IF, FC
Species Reactivity: Human, Mouse, Rat
-
Phospho-YAP1 (S127) Recombinant Monoclonal Antibody
Applications: ELISA, WB, IHC
Species Reactivity: Human
-
-
-
-
-















