CSGALNACT2 Antibody
-
中文名稱:CSGALNACT2兔多克隆抗體
-
貨號:CSB-PA994683
-
規格:¥1100
-
圖片:
-
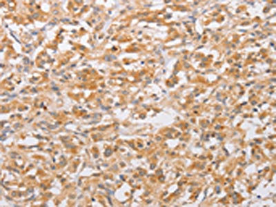
The image on the left is immunohistochemistry of paraffin-embedded Human thyroid cancer tissue using CSB-PA994683(CSGALNACT2 Antibody) at dilution 1/30, on the right is treated with fusion protein. (Original magnification: ×200)
-
The image on the left is immunohistochemistry of paraffin-embedded Human brain tissue using CSB-PA994683(CSGALNACT2 Antibody) at dilution 1/30, on the right is treated with fusion protein. (Original magnification: ×200)
-
-
其他:
產品詳情
-
Uniprot No.:
-
基因名:CSGALNACT2
-
別名:4-N-acetylgalactosaminyltransferase 2 antibody; Beta4GalNAcT-2 antibody; CGAT2_HUMAN antibody; CHGN2 antibody; Chondroitin beta-1 antibody; Chondroitin sulfate N-acetylgalactosaminyltransferase 2 antibody; Csgalnact2 antibody; DKFZp686H13226 antibody; FLJ43310 antibody; GALNACT 2 antibody; GalNAcT-2 antibody; GALNACT2 antibody; MGC40204 antibody; PRO0082 antibody
-
宿主:Rabbit
-
反應種屬:Human,Mouse
-
免疫原:Fusion protein of Human CSGALNACT2
-
免疫原種屬:Homo sapiens (Human)
-
標記方式:Non-conjugated
-
抗體亞型:IgG
-
純化方式:Antigen affinity purification
-
濃度:It differs from different batches. Please contact us to confirm it.
-
保存緩沖液:-20°C, pH7.4 PBS, 0.05% NaN3, 40% Glycerol
-
產品提供形式:Liquid
-
應用范圍:ELISA,IHC
-
推薦稀釋比:
Application Recommended Dilution ELISA 1:2000-1:5000 IHC 1:25-1:100 -
Protocols:
-
儲存條件:Upon receipt, store at -20°C or -80°C. Avoid repeated freeze.
-
貨期:Basically, we can dispatch the products out in 1-3 working days after receiving your orders. Delivery time maybe differs from different purchasing way or location, please kindly consult your local distributors for specific delivery time.
-
用途:For Research Use Only. Not for use in diagnostic or therapeutic procedures.
相關產品
靶點詳情
-
功能:Transfers 1,4-N-acetylgalactosamine (GalNAc) from UDP-GalNAc to the non-reducing end of glucuronic acid (GlcUA). Required for addition of the first GalNAc to the core tetrasaccharide linker and for elongation of chondroitin chains.
-
基因功能參考文獻:
- plays a role in the initiation and elongation in the synthesis of chondroitin sulfate PMID: 12446672
-
亞細胞定位:Golgi apparatus, Golgi stack membrane; Single-pass type II membrane protein.
-
蛋白家族:Chondroitin N-acetylgalactosaminyltransferase family
-
組織特異性:Ubiquitous.
-
數據庫鏈接:
Most popular with customers
-
-
YWHAB Recombinant Monoclonal Antibody
Applications: ELISA, WB, IHC, IF, FC
Species Reactivity: Human, Mouse, Rat
-
Phospho-YAP1 (S127) Recombinant Monoclonal Antibody
Applications: ELISA, WB, IHC
Species Reactivity: Human
-
-
-
-
-















