CSF2 Antibody
-
中文名稱:CSF2兔多克隆抗體
-
貨號:CSB-PA268599
-
規格:¥1100
-
圖片:
-
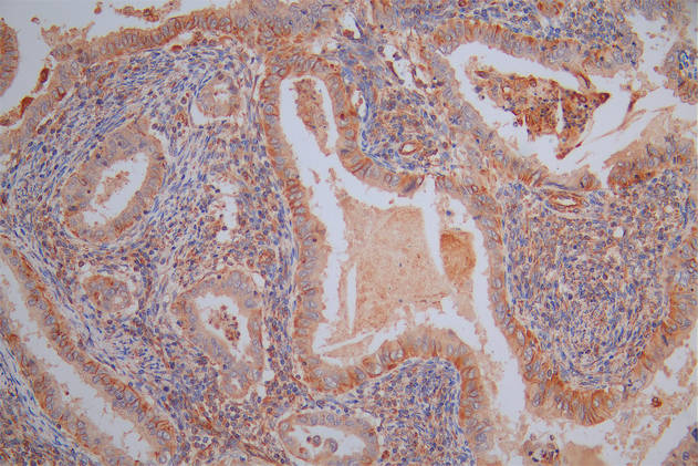
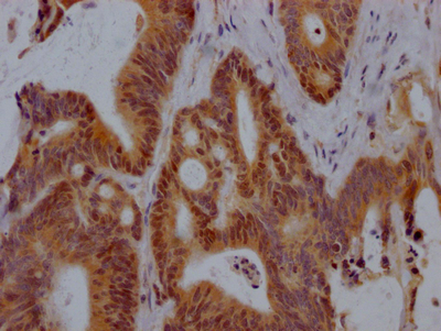
The image on the left is immunohistochemistry of paraffin-embedded Human thyroid cancer tissue using CSB-PA268599(CSF2 Antibody) at dilution 1/30, on the right is treated with fusion protein. (Original magnification: ×200)
-
Gel: 12%SDS-PAGE, Lysate: 40 μg, Lane: RAW264.7 cells, Primary antibody: CSB-PA268599(CSF2 Antibody) at dilution 1/500, Secondary antibody: Goat anti rabbit IgG at 1/8000 dilution, Exposure time: 3 minutes
-
-
其他:
產品詳情
-
Uniprot No.:
-
基因名:
-
別名:Colony stimulating factor 2 (granulocyte-macrophage) antibody; Colony Stimulating Factor 2 antibody; Colony stimulating factor antibody; Colony-stimulating factor antibody; CSF 2 antibody; CSF antibody; CSF2 antibody; CSF2_HUMAN antibody; GM-CSF antibody; GMCSF antibody; Granulocyte Macrophage Colony Stimulating Factor antibody; Granulocyte-macrophage colony-stimulating factor antibody; MGC131935 antibody; MGC138897 antibody; MGI1GM antibody; Molgramostin antibody; Pluripoietin-a antibody; Sargramostim antibody
-
宿主:Rabbit
-
反應種屬:Human,Mouse
-
免疫原:Fusion protein of Human CSF2
-
免疫原種屬:Homo sapiens (Human)
-
標記方式:Non-conjugated
-
抗體亞型:IgG
-
純化方式:Antigen affinity purification
-
濃度:It differs from different batches. Please contact us to confirm it.
-
保存緩沖液:-20°C, pH7.4 PBS, 0.05% NaN3, 40% Glycerol
-
產品提供形式:Liquid
-
應用范圍:ELISA,WB,IHC
-
推薦稀釋比:
Application Recommended Dilution ELISA 1:1000-1:2000 WB 1:200-1:1000 IHC 1:50-1:200 -
Protocols:
-
儲存條件:Upon receipt, store at -20°C or -80°C. Avoid repeated freeze.
-
貨期:Basically, we can dispatch the products out in 1-3 working days after receiving your orders. Delivery time maybe differs from different purchasing way or location, please kindly consult your local distributors for specific delivery time.
-
用途:For Research Use Only. Not for use in diagnostic or therapeutic procedures.
相關產品
靶點詳情
-
功能:Cytokine that stimulates the growth and differentiation of hematopoietic precursor cells from various lineages, including granulocytes, macrophages, eosinophils and erythrocytes.
-
基因功能參考文獻:
- GM-CSF could be induced by M. pneumoniae infection in vivo and vitro. Childen with high level GM-CSF had longer duration of fever. GM-CSF probably plays a vital role in neutrophil inflammation in M. pneumoniae infection. PMID: 30007865
- Data show that CD4 T cells from synovial fluid are enriched for granulocyte-macrophage colony-stimulating factor (GM-CSF) production, suggests that the GM-CSF programme may be a primary pathogenic process. PMID: 29142230
- GM-CSF bioavailability plays a critical role in maintaining intestinal homeostasis. Decreased bioavailability coupled with the genetic risk markers and/or smoking results in aggressive ileal Crohn's disease behavior. PMID: 29434451
- Data show that GIF (ORF117 ) serves as a competitive decoy receptor by leveraging binding hotspots underlying the cognate receptor interactions of granulocyte macrophage colony-stimulating factor (GM-CSF) and interleukin-2 (IL-2). PMID: 27819269
- As translated to human disease, these findings suggest vaccine-mediated expansion of GM-CSF-producing T cells could be an effective prophylactic or therapeutic TB strategy. PMID: 29233902
- In a subset of patients who received GM-CSF, circulating myeloid-derived suppressor cells (MDSC), and anti-GM-CSF-neutralizing antibodies (Nabs) were also modulated. The majority of patients developed anti-GM-CSF Nabs, which correlated with improved RFS and OS PMID: 28536308
- this study shows that cortisol inhibits CSF2 via DNA methylation and inhibits invasion in first-trimester trophoblast cells PMID: 28846166
- Oral and periodontal innate immunity is affected by HIV viremia and ART. GCF IL-8, G-CSF, as well as serum IL-8, MCP-1 and GM-CSF may be useful biomarkers for the detection of disease presence and/or its severity due to HIV infection and ART use. PMID: 28043030
- This review summarizes a number of findings to provide the currently available information regarding the anticancer immune response of GM-CSG. [review] PMID: 27364892
- Data suggest that the intratumoral GM-CSF expression, as a potentially independent prognostic biomarker for recurrence, might improve conventional clinical and pathologic analysis to refine outcome prediction for clinically localized clear-cell renal cell carcinoma (ccRCC) patients after surgery. PMID: 27016418
- High GM-CSF expression is associated with breast Cancer. PMID: 28754674
- In gastric cancer (GC), tumour-derived GM-CSF activated neutrophils and induced neutrophil PD-L1 expression via Janus kinase (JAK)-signal transducer and activator of transcription 3 (STAT3) signalling pathway. The activated PD-L1(+) neutrophils effectively suppressed normal T-cell immunity in vitro and contributed to the growth and progression of human GC in vivo. PMID: 28274999
- The IL-3/ GM-CSF effected on the myofibroblastic differentiation of human adipose derive stromal cells (hASCs) as well as it did on human dermal fibroblasts (HDFs). PMID: 28377320
- Obesity alters the lung neutrophil infiltration to enhance breast cancer metastasis through IL5 and GM-CSF. PMID: 28737771
- Data suggest that the methylotrophic yeast Pichia pastoris is an effective recombinant host for heterologous granulocyte-macrophage colony-stimulating factor (rhGM-CSF) production. PMID: 28376863
- Letter: Knockdown of either filaggrin or loricrin increases the productions of interleukin (IL)-1alpha, IL-8, IL-18 and granulocyte macrophage colony-stimulating factor in stratified human keratinocytes. PMID: 26381575
- Impaired RASGRF1/ERK-mediated GM-CSF response characterizes CARD9 deficiency in French-Canadians. PMID: 26521038
- Honokiol could possess potential anti-inflammatory effects and inhibits TNF-alpha-induced IL-1beta, GM-CSF and IL-8 production in PBMCs from rheumatoid arthritis patients. PMID: 26339358
- The canonical NFkappaB signaling in fibroblasts, but not in tumor cells, was shown to be responsible for the induced and constitutive CSF2 expression. PMID: 25919140
- GM-CSF primes IL-13 production by macrophages via PAR-2. PMID: 25633855
- analysis of an IL2RA polymorphism that controls GM-CSF production in human TH cells PMID: 25278028
- NFKBIZ gene knockdown in bronchial epithelial cells suppresses the release of IL-1b-induced IL-6 and GMCSF. PMID: 25629767
- CFH Y402H polymorphism is associated with elevated vitreal GM-CSF and choroidal macrophages in the postmortem human eye. PMID: 25814824
- Influenza infection stimulates the secretion of IL-8 and GM-CSF by alveolar epithelial cells. PMID: 26033355
- Periodic fever, aphthous stomatitis, pharyngitis and cervical adenopathy syndrome febrile episodes are characterized by activation of GM-CSF and IL-8 with Th1 skewing. PMID: 24670131
- activation of STAT3 induces the expression of GM-CSFRa that protects CLL cells from apoptosis, suggesting that inhibition of STAT3 or GM-CSFRa may benefit patients with chronic lymphocytic leukemia PMID: 24836891
- G-CSF- or GM-CSF-secreting cancers, albeit not very common are, however, among the most rapidly advancing ones due to a cytokine-mediated immune suppression and angiogenesis. [Review] PMID: 24692240
- Treatment with GM-CSF increased the expression of vimentin and ZEB1, similar to TGF-b1 treatment, and decreased the expression of E-cadherin. Our results suggest that GM-CSF could induce EMT in human HERS/ERM cells. PMID: 24258001
- GM-CSF polymorphism may be involved in the pathogenesis of atopic dermatitis. PMID: 24117406
- The association of GM-CSF expression with systemic inflammation highlights the potential role of Th17-related cytokines in the pathology of juvenile idiopathic arthritis. PMID: 24692225
- M-CSF induces macrophage transformation by upregulating c-Jun with a certain synergy of NFkappaB. PMID: 24100343
- The detection of basal level of IgM rheumatoid factor, IgM and also certain cytokines can be useful in prognosis of effectiveness of rituximab therapy under rheumatoid arthritis. PMID: 25080789
- Cytokines and signaling molecules predict clinical outcomes in sepsis. PMID: 24244449
- Granulocyte colony-stimulating factor produces long-term changes in gene and microRNA expression profiles in CD34+ cells from healthy donors. PMID: 24056818
- mesenchymal-like breast cancer cells activate macrophages to a tumor-associated macrophage-like phenotype by GM-CSF. PMID: 24823638
- The comparison between the cytokine profiles of ET and PV patients showed a statistically significant increase of IL-4, IL-8, GM-CSF, interferon -gamma, MCP-1, PDGF-BB, and VEGF in the ET group PMID: 24463275
- Data indicate that differentially expressed IL-17, IL-22, and IL-23 levels are associated with K-ras in a stage-specific fashion along colorectal cancer progression and an association was established between mutant K-ras and GM-CSF and IFN-gamma. PMID: 24040001
- in the type 2 diabetes mellitus group, significantly higher IL-4 level on the first and the third post dengue virus infection days, while higher IL-10 and granulocyte-macrophage colony-stimulating factor were detected on the third postinfection day. PMID: 24078930
- loss of BMPR2 induced prolonged phospho-p38 MAPK in response to TNF, and this increased GADD34-PP1 phosphatase activity, dephosphorylating eukaryotic translation initiation factor (eIF2alpha), and derepressing GM-CSF mRNA translation PMID: 24446489
- Since GM-CSF plays an important role during pregnancy, the reduced levels of GM-CSF in the cervico-vaginal fluid of human papillomavirus(+) women might contribute to explain the reduced live birth rate. PMID: 23920355
- SECTM1 secreted from bone marrow stromal cells may interact with CD7 to influence GM-CSF expression in leukemic cells. PMID: 24211252
- Describe GM-CSF ELISA for routine clinical diagnosis of autoimmune pulmonary alveolar proteinosis. PMID: 24275678
- The data presented suggest that -677C/A in the promoter region of the GM-CSF gene does not play a role in acne pathogenesis. PMID: 23069312
- CBL linker and RING finger mutants lead to enhanced GM-CSF signaling due to elevated kinase expression, which can be blocked using small molecule inhibitors targeting specific downstream pathways. PMID: 23696637
- impairment of NFATC2-calcineurin interaction promotes megakaryocyte proliferation through up-regulation of CSF2 transcription PMID: 22911897
- Overexpression of a nonphosphorylatable MT1-MMP mutant (Y573F) abrogates CSF-2 and CSF-3 transcriptional increases. PMID: 23548906
- GM-CSF contributes to aortic aneurysms resulting from SMAD3 deficiency PMID: 23585475
- Within pediatric Crohn disease, neutrophil GM-CSF-dependent STAT5 activation and bacterial killing were reduced as GM-CSF autoantibodies increased. PMID: 23600834
- This study demonistrated that GMCSF is downregulation in brain in patient with Alzheimer's disease. PMID: 22430742
- IL-27 suppresss GM-CSF production under nonpolarizing and T helper (Th)1 cell, but not T helper (Th)17 cell conditions, in both murine and human cultures. PMID: 22837488
顯示更多
收起更多
-
亞細胞定位:Secreted.
-
蛋白家族:GM-CSF family
-
數據庫鏈接:
Most popular with customers
-
-
YWHAB Recombinant Monoclonal Antibody
Applications: ELISA, WB, IHC, IF, FC
Species Reactivity: Human, Mouse, Rat
-
Phospho-YAP1 (S127) Recombinant Monoclonal Antibody
Applications: ELISA, WB, IHC
Species Reactivity: Human
-
-
-
-
-















