CRYM Antibody
-
中文名稱:CRYM兔多克隆抗體
-
貨號:CSB-PA622791LA01HU
-
規格:¥440
-
圖片:
-
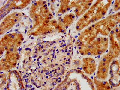
IHC image of CSB-PA622791LA01HU diluted at 1:500 and staining in paraffin-embedded human kidney tissue performed on a Leica BondTM system. After dewaxing and hydration, antigen retrieval was mediated by high pressure in a citrate buffer (pH 6.0). Section was blocked with 10% normal goat serum 30min at RT. Then primary antibody (1% BSA) was incubated at 4°C overnight. The primary is detected by a biotinylated secondary antibody and visualized using an HRP conjugated SP system.
-
IHC image of CSB-PA622791LA01HU diluted at 1:500 and staining in paraffin-embedded human brain tissue performed on a Leica BondTM system. After dewaxing and hydration, antigen retrieval was mediated by high pressure in a citrate buffer (pH 6.0). Section was blocked with 10% normal goat serum 30min at RT. Then primary antibody (1% BSA) was incubated at 4°C overnight. The primary is detected by a biotinylated secondary antibody and visualized using an HRP conjugated SP system.
-
Immunofluorescence staining of A549 cells with CSB-PA622791LA01HU at 1:166, counter-stained with DAPI. The cells were fixed in 4% formaldehyde, permeabilized using 0.2% Triton X-100 and blocked in 10% normal Goat Serum. The cells were then incubated with the antibody overnight at 4°C. The secondary antibody was Alexa Fluor 488-congugated AffiniPure Goat Anti-Rabbit IgG(H+L).
-
-
其他:
產品詳情
-
產品名稱:Rabbit anti-Homo sapiens (Human) CRYM Polyclonal antibody
-
Uniprot No.:
-
基因名:CRYM
-
別名:CRYM antibody; CRYM_HUMAN antibody; Crystallin mu antibody; DFNA 40 antibody; DFNA40 antibody; Ketimine reductase antibody; Mu crystallin homolog antibody; Mu-crystallin homolog antibody; NADP regulated thyroid hormone binding protein antibody; NADP-regulated thyroid-hormone-binding protein antibody; OTTHUMP00000115878 antibody; THBP antibody; Thiomorpholine carboxylate dehydrogenase antibody
-
宿主:Rabbit
-
反應種屬:Human
-
免疫原:Recombinant Human Ketimine reductase mu-crystallin protein (169-258AA)
-
免疫原種屬:Homo sapiens (Human)
-
標記方式:Non-conjugated
本頁面中的產品,CRYM Antibody (CSB-PA622791LA01HU),的標記方式是Non-conjugated。對于CRYM Antibody,我們還提供其他標記。見下表:
-
克隆類型:Polyclonal
-
抗體亞型:IgG
-
純化方式:>95%, Protein G purified
-
濃度:It differs from different batches. Please contact us to confirm it.
-
保存緩沖液:Preservative: 0.03% Proclin 300
Constituents: 50% Glycerol, 0.01M PBS, pH 7.4 -
產品提供形式:Liquid
-
應用范圍:ELISA, IHC, IF
-
推薦稀釋比:
Application Recommended Dilution IHC 1:500-1:1000 IF 1:50-1:200 -
Protocols:
-
儲存條件:Upon receipt, store at -20°C or -80°C. Avoid repeated freeze.
-
貨期:Basically, we can dispatch the products out in 1-3 working days after receiving your orders. Delivery time maybe differs from different purchasing way or location, please kindly consult your local distributors for specific delivery time.
-
用途:For Research Use Only. Not for use in diagnostic or therapeutic procedures.
相關產品
靶點詳情
-
功能:Specifically catalyzes the reduction of imine bonds in brain substrates that may include cystathionine ketimine (CysK) and lanthionine ketimine (LK). Binds thyroid hormone which is a strong reversible inhibitor. Presumably involved in the regulation of the free intracellular concentration of triiodothyronine and access to its nuclear receptors.
-
基因功能參考文獻:
- Results suggest that mu-crystallin may play roles in development of cortical and hippocampal pyramidal cells in the early postnatal period, and in the later period, performs cell-specific functions in selected neuronal populations. PMID: 29603402
- These findings confirm that, mechanistically, ketimine reductase/CRYM acts as a classical imine reductase and may explain the finding of bound pyruvate in the crystallized protein. PMID: 26173510
- ketimine reductase is a key enzyme in the pipecolate pathway, which is the main lysine degradation pathway in the brain PMID: 25931162
- The expression of mu-crystallin was regulated through the AP-1 site in the promoter. PMID: 23508717
- The purified human mu-crystallin was confirmed to have ketimine reductase activity with a maximum specific activity similar to that of native ovine ketimine reductase PMID: 21332720
- Its enzyme function has been determined as a ketimine reductase in mammalian brain. PMID: 21332720
- Its ketimine reductase activity is strongly inhibited by thyroid hormones. PMID: 21332720
- This protein has been found differentially expressed in thalami from patients with schizophrenia. PMID: 20471030
- This is the first report linking hyperglycemia with thyroid hormone binding protein CRYM and suggests that the role of CRYM in diabetic complications should be further investigated. PMID: 20018174
- Identification of CRYM as a candidate responsible for nonsyndromic deafness, through cDNA microarray analysis of human cochlear and vestibular tissues PMID: 12471561
- up-regulation of mu-crystallin may play a specific and important role in pathogenesis of facioscapulohumeral muscular dystrophy PMID: 17451686
- CRYM is a novel androgen-regulated gene whose expression is elevated in prostate cancer but down-regulated in castration therapy-resistant tumors. PMID: 19353593
- Using shotgun mass spectrometry, we found this protein differentially expressed in the dorsolateral prefrontal cortex from patients with schizophrenia. PMID: 19165527
- This protein has been found differentially expressed in the dorsolateral prefrontal cortex from patients with schizophrenia. PMID: 19110265
顯示更多
收起更多
-
相關疾病:Deafness, autosomal dominant, 40 (DFNA40)
-
亞細胞定位:Cytoplasm.
-
蛋白家族:Ornithine cyclodeaminase/mu-crystallin family
-
組織特異性:Expressed in neural tissue, muscle and kidney.
-
數據庫鏈接:
Most popular with customers
-
Phospho-YAP1 (S127) Recombinant Monoclonal Antibody
Applications: ELISA, WB, IHC
Species Reactivity: Human
-
-
-
-
-
-
-
VDAC1 Recombinant Monoclonal Antibody
Applications: ELISA, WB, IHC
Species Reactivity: Human, Mouse, Rat















