CRTC1 Antibody
-
中文名稱:CRTC1兔多克隆抗體
-
貨號:CSB-PA757785LA01HU
-
規格:¥3,900
-
圖片:
-
Western Blot
Positive WB detected in: 293 whole cell lysate(30μg), A431 whole cell lysate(30μg), LO2 whole cell lysate(30μg), JK whole cell lysate(30μg),Mouse Brain tissue lysate(30μg),Mouse Kidney tissue lysate(30μg)
All lanes: CRTC1 antibody at 1:1000
Secondary
Goat polyclonal to rabbit IgG at 1/20000 dilution
Predicted band size: 68,69,63 kDa
Observed band size: 68 kDa
Exposure time: 120s -
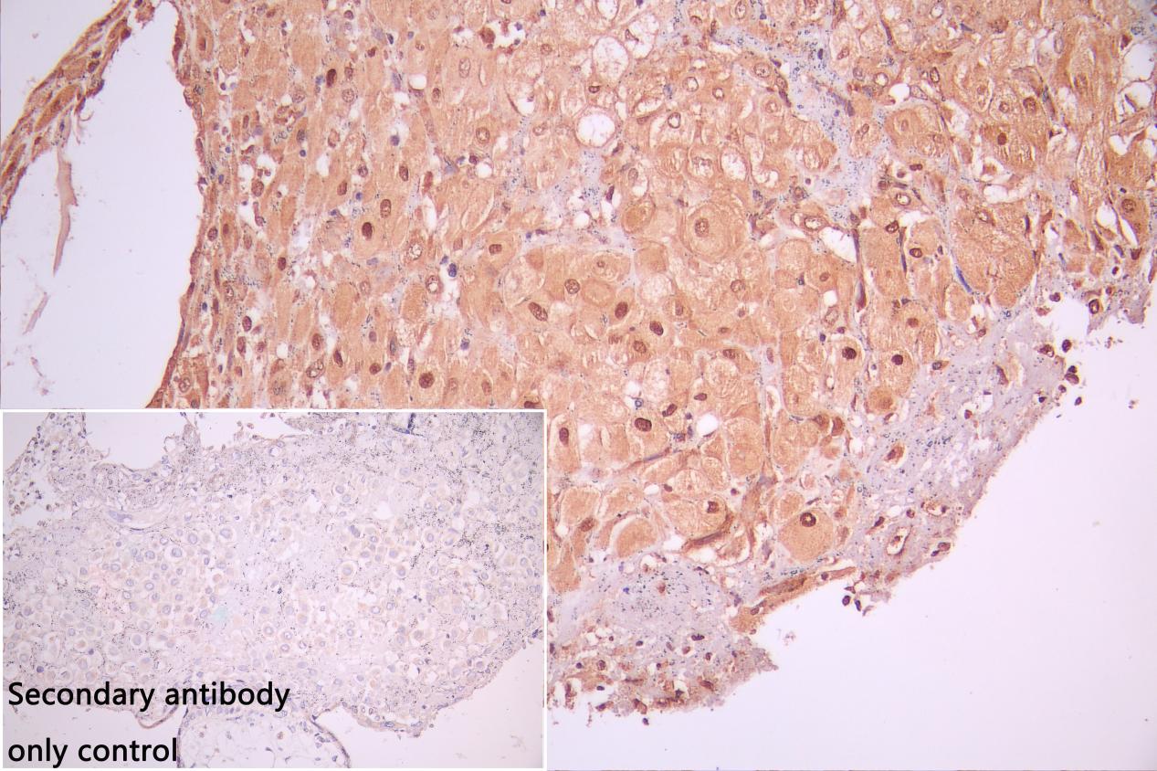
IHC image of CSB-PA757785LA01HU diluted at 1:50 and staining in paraffin-embedded human placenta tissue performed on a Leica BondTM system. After dewaxing and hydration, antigen retrieval was mediated by high pressure in a citrate buffer (pH 6.0). Section was blocked with 10% normal goat serum 30min at RT. Then primary antibody (1% BSA) was incubated at 4°C overnight. The primary is detected by a Goat anti-rabbit polymer IgG labeled by HRP and visualized using 0.05% DAB. Secondary antibody only control: uses 1% BSA instead of primary antibody
-
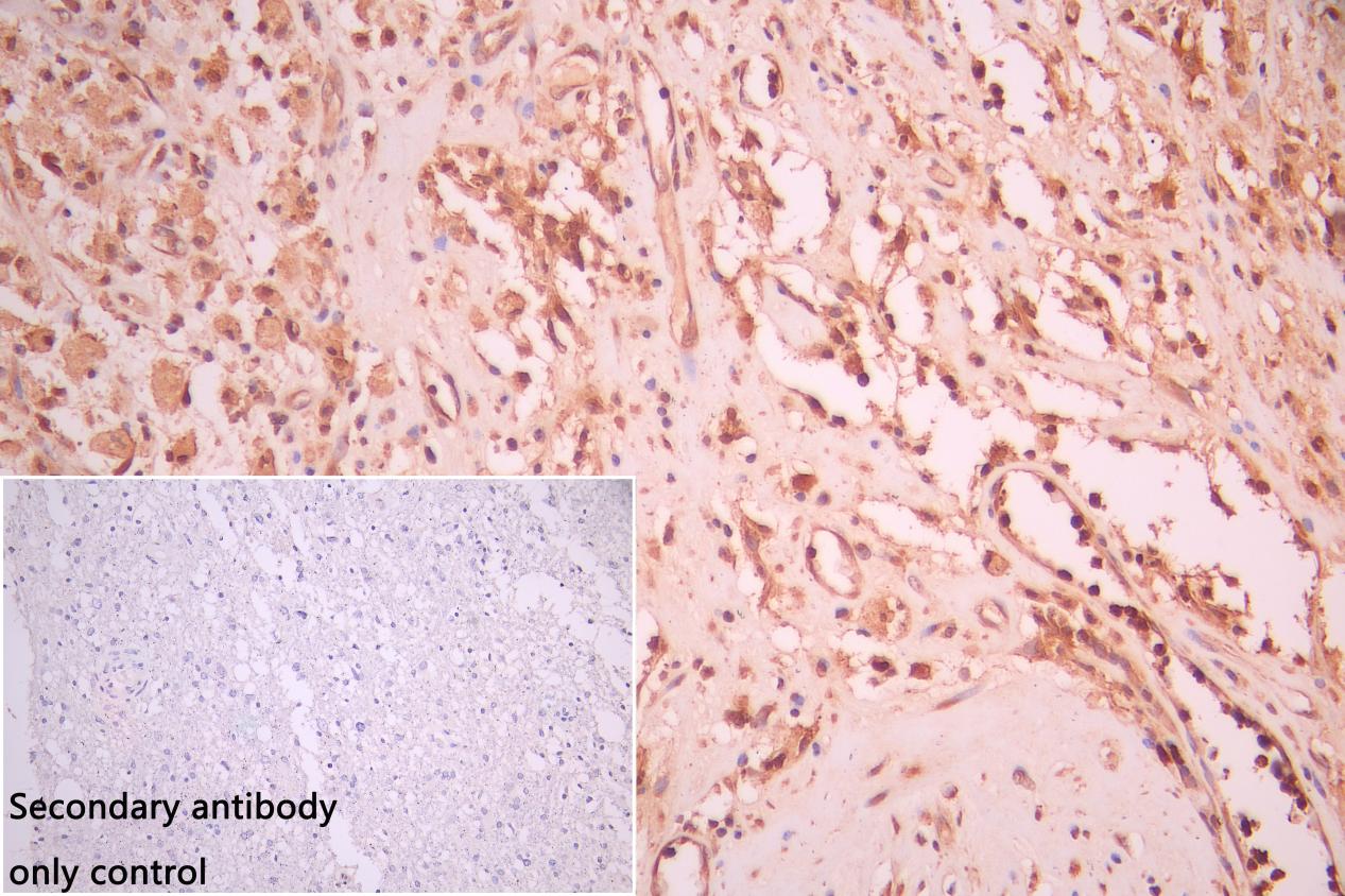
IHC image of CSB-PA757785LA01HU diluted at 1:50 and staining in paraffin-embedded human glioma cancer performed on a Leica BondTM system. After dewaxing and hydration, antigen retrieval was mediated by high pressure in a citrate buffer (pH 6.0). Section was blocked with 10% normal goat serum 30min at RT. Then primary antibody (1% BSA) was incubated at 4°C overnight. The primary is detected by a Goat anti-rabbit polymer IgG labeled by HRP and visualized using 0.05% DAB. Secondary antibody only control: uses 1% BSA instead of primary antibody
-
Immunofluorescence staining of U251 cell with CSB-PA757785LA01HU at 1:20, counter-stained with DAPI. The cells were fixed in 4% formaldehyde and blocked in 10% normal Goat Serum. The cells were then incubated with the antibody overnight at 4C. The secondary antibody was Alexa Fluor 488-congugated AffiniPure Goat Anti-Rabbit IgG(H+L).
-
Immunofluorescence staining of U251 cell with 5% goat serum, counter-stained with DAPI. The cells were fixed in 4% formaldehyde and blocked in 10% normal Goat Serum. The cells were then incubated with the antibody overnight at 4C. The secondary antibody was Alexa Fluor 488-congugated AffiniPure Goat Anti-Rabbit IgG(H+L).
-
Immunofluorescence staining of HepG2 cell with CSB-PA757785LA01HU at 1:20, counter-stained with DAPI. The cells were fixed in 4% formaldehyde and blocked in 10% normal Goat Serum. The cells were then incubated with the antibody overnight at 4C. The secondary antibody was Alexa Fluor 488-congugated AffiniPure Goat Anti-Rabbit IgG(H+L).
-
Immunofluorescence staining of HepG2 cell with 5% goat serum, counter-stained with DAPI. The cells were fixed in 4% formaldehyde and blocked in 10% normal Goat Serum. The cells were then incubated with the antibody overnight at 4C. The secondary antibody was Alexa Fluor 488-congugated AffiniPure Goat Anti-Rabbit IgG(H+L).
-
-
其他:
產品詳情
-
產品名稱:Rabbit anti-Homo sapiens (Human) CRTC1 Polyclonal antibody
-
Uniprot No.:
-
基因名:CRTC1
-
別名:KIAA0616 antibody; CREB regulated transcription coactivator 1 antibody; CREB-regulated transcription coactivator 1 antibody; CRTC1 antibody; CRTC1_HUMAN antibody; FLJ14027 antibody; MECT 1 antibody; Mucoepidermoid carcinoma translocated 1 antibody; Mucoepidermoid carcinoma translocated protein 1 antibody; TORC-1 antibody; TORC1 antibody; Transducer of CREB protein 1 antibody; Transducer of regulated cAMP response element binding protein 1 antibody; Transducer of regulated cAMP response element-binding protein (CREB) 1 antibody; Transducer of regulated cAMP response element-binding protein 1 antibody; WAMTP1 antibody
-
宿主:Rabbit
-
反應種屬:Human, Mouse
-
免疫原:Recombinant Human CREB-regulated transcription coactivator 1 protein (1-248AA)
-
免疫原種屬:Homo sapiens (Human)
-
克隆類型:Polyclonal
-
抗體亞型:IgG
-
純化方式:Antigen?affinity?purification
-
濃度:It differs from different batches. Please contact us to confirm it.
-
保存緩沖液:Preservative: 0.02% sodium azide
Constituents: 50% Glycerol, 0.01M PBS, pH 7.4 -
產品提供形式:Liquid
-
應用范圍:ELISA, WB, IHC, IF
-
推薦稀釋比:
Application Recommended Dilution WB 1:500-1:2000 IHC 1:50-1:200 IF 1:20-1:100 -
Protocols:
-
儲存條件:Upon receipt, store at -20°C or -80°C. Avoid repeated freeze.
-
貨期:Basically, we can dispatch the products out in 1-3 working days after receiving your orders. Delivery time maybe differs from different purchasing way or location, please kindly consult your local distributors for specific delivery time.
-
用途:For Research Use Only. Not for use in diagnostic or therapeutic procedures.
相關產品
靶點詳情
-
功能:Transcriptional coactivator for CREB1 which activates transcription through both consensus and variant cAMP response element (CRE) sites. Acts as a coactivator, in the SIK/TORC signaling pathway, being active when dephosphorylated and acts independently of CREB1 'Ser-133' phosphorylation. Enhances the interaction of CREB1 with TAF4. Regulates the expression of specific CREB-activated genes such as the steroidogenic gene, StAR. Potent coactivator of PGC1alpha and inducer of mitochondrial biogenesis in muscle cells. In the hippocampus, involved in late-phase long-term potentiation (L-LTP) maintenance at the Schaffer collateral-CA1 synapses. May be required for dendritic growth of developing cortical neurons. In concert with SIK1, regulates the light-induced entrainment of the circadian clock. In response to light stimulus, coactivates the CREB-mediated transcription of PER1 which plays an important role in the photic entrainment of the circadian clock.; (Microbial infection) Plays a role of coactivator for TAX activation of the human T-cell leukemia virus type 1 (HTLV-1) long terminal repeats (LTR).
-
基因功能參考文獻:
- Pharmacological inhibition of mTORC1 by rapamycin in PHA-stimulated PBL reduced viral replication to the level found in unstimulated lymphocytes, indicating that mTORC1 activity supports MV replication as a proviral host factor. PMID: 29925665
- SNP located in CRTC1 has been shown in GWAS studies to be significantly associated with the risk of Barrett's esophagus. PMID: 29713984
- This work reveals a regulatory circuit in which SIK1 suppresses gluconeogenic gene transcription by inducing ubiquitination and degradation of CRTC1. PMID: 29408765
- CRTC1 negatively regulates lipogenic gene expression in liver. PMID: 27869139
- findings suggest further characterization of MECs is needed before considering the CRTC1/3-MAML2 gene fusion as a prognostic biomarker PMID: 28438292
- modulation of rDNA transcription initiation, elongation and rRNA processing is an immediate, co-regulated response to altered amino acid abundance, dependent on both mTORC1 activation of S6K1 and MYC activity PMID: 27385002
- High TORC1 expression is associated with meningioma and schwannoma. PMID: 28729415
- MECT1-MAML2 fusion transcript is a driver genetic event in the pathogenesis of primary bronchopulmonary mucoepidermoid carcinoma PMID: 28343305
- CRTC1 as new mediator of PGE2 signaling PMID: 26300003
- Consistent with our findings in Drosophila, through the characterization of a wdr24-/- knockout HeLa cell line we determined that Wdr24 promotes lysosome acidification and autophagic flux in mammalian cells PMID: 27166823
- revealing neither correlation between the cellular composition and CRTC1-MAML2 fusions nor presence of CRTC3-MAML2 fusions in cutaneous hidradenoma PMID: 27402217
- CRTC1 polymorphisms seem to play a role with obesity markers in individuals with MDD rather than non-depressive individuals. PMID: 27002284
- DNA methylation levels within two distinct promoter regions of the CREB regulated transcription coactivator 1 gene were decreased in human hippocampus affected by Alzheimer disease. PMID: 27094739
- Detection of the CRTC1/MAML2 fusion transcript provides useful information for MEC diagnosis but is not associated with differences in survival outcomes. PMID: 26796488
- A specific CRTC1-MAMl2-induced transcriptional program was identified in mucoepidermoid carcinoma cells. PMID: 26503699
- Translocation t(11;19)(q14-21;p12-13) in patients with Salivary mucoepidermoid carcinoma was reported , which results in fusion between exons 1 and 2 of CRTC1 on chromosome 19p13. PMID: 24771140
- This study showed that CREB-regulated transcriptional coactivator 1 (CRTC1) is required for HBV transcription and replication. PMID: 25300488
- CRTC1 activation is a key event that drives the LKB1-null mRNA signature in lung cancer. We also identified a positive feedback LKB1/CRTC1 signaling loop for COX-2/PGE2 regulation. PMID: 25465874
- describe fundamental metabolic requirements of senescent primary human CD8+ T cells and demonstrate that p38 MAPK blockade reverses senescence via an mTOR-independent pathway PMID: 25083993
- Malignant mucoepidermoid salivary gland tumors can arise from a recurrent t (11, 19)(q21;p13.1) translocation that generates an unusual chimeric CRTC1/MAML2 oncoprotein. PMID: 25071166
- aberrantly activated AREG-EGFR signaling is required for CRTC1-MAML2-positive MEC cell growth and survival, suggesting that EGFR-targeted therapies will benefit patients with advanced, unresectable CRTC1-MAML2-positive MEC. PMID: 23975434
- Lacrimal and salivary gland PAs and Ca-ex-PAs have similar genomic profiles and frequently overexpress the PLAG1 oncoprotein. Copy number gains involving 9p23-p22.3 (NFIB) and 22q12-qter (PDGFB) may be of importance for disease progression. PMID: 24468654
- findings suggest that CRTC1 contributes to the genetics of human obesity in psychiatric patients and the general population. PMID: 23925723
- Metaplastic Warthin tumor and metaplastic pleomorphic adenoma of salivary glands did not harbor CRTC1-MAML2 and CRTC3-MAML2 fusion transcripts, respectively, or MAML2 gene rearrangement. PMID: 24121173
- The data of this study raise the prospect that CRTC1 plays a role in fundamental aspects of SCN clock timing and entrainment. PMID: 23699513
- These observations indicate that brain malformations in TSC are likely a consequence of increased TORC1 activation during embryonic brain development. PMID: 22805177
- CRTC1-NEDD9 signaling axis mediates lung cancer progression caused by LKB1 loss. PMID: 23074285
- We demonstrate that glutamine in combination with leucine activates mammalian TORC1 (mTORC1) by enhancing glutaminolysis and alpha-ketoglutarate production. PMID: 22749528
- Inhibition of TORC1 retards, and to some extent reverses, phenotypic indicators of cellular senescence. PMID: 22627671
- The results of this study suggested that CRTC1 dysfunction caused by Abeta accumulation underlies changes in gene expression required for hippocampal-dependent memory in AD transgenic mice. PMID: 22236576
- Studies indicate that phospholipase D (PLD) as a mediator of nutrients to mTORC1. PMID: 22457329
- de-regulated LKB1-CRTC signaling might represent a crucial mechanism for esophageal cancer progression. PMID: 21706049
- clear-cell renal cell carcinoma become refractory to REDD1-induced mTORC1 inhibition and shed light into the development of clear-cell renal cell carcinoma PMID: 21798997
- mucoepidermoid carcinoma of the salivary glands positive for CRTC1-MAML2 or CRTC3-MAML2 fusion formed a favourable tumour subset that was distinct from fusion-negative cases PMID: 21668476
- The t(11;19) translocation and its CRTC1/MAML1 fusion transcript have been identified in mucoepidermoid carcinomas at different sites and are believed to be associated with the development of a subset of these tumors. PMID: 21074686
- We report an example of intraosseous mucoepidermoid carcinoma with positive TORC1/MAML2 gene fusion transcript and discuss the clinical implications. PMID: 20625861
- MECT1/MAML2 translocation status may be important prognostically in salivary mucoepidermoid carcinomas, but it does not seem to override traditional clinicopathologic parameters. PMID: 20588178
- Data show that somatic loss of LKB1 is associated with underphosphorylation of endogenous Crtc1, enhanced Crtc1 nuclear localization. PMID: 20010869
- Mucoepidermoid carcinoma (MEC) of the skin harbours CRTC1 rearrangements, a molecular finding that reflects morphological similarities between glandular and cutaneous MEC. PMID: 19438452
- cloning of a novel fusion gene in mucoepidermoid carcinomas & benign Warthin's tumors; the fusion, which results from a translocation, creates a chimeric gene in which exon 1 of a novel gene designated WAMTP1 is linked to exons 2-5 of MAML2 [WAMPT1] PMID: 14720503
- mutant Mect1-Maml2 expression plasmid carried silent nucleotide changes within the RNAi target sequence and observed that co-transfection of this mutant, but not wild-type Mect1-Maml2, could partially rescue RNAi growth inhibition in the MEC tumor line PMID: 16652146
- Thus, both TORC1/2 and p300 families of coactivators are essential for optimal activation of HTLV-1 transcription by Tax. PMID: 16809310
- The MECT1-MAML2 fusion transcript may be specific to mucoepidermoid carcinoma and associated with a distinct mucoepidermoid carcinoma subset that exhibits favorable clinicopathologic features and an indolent clinical course. PMID: 16818685
- These results strongly suggest that TORCs play a key role in linking these external signals to the transcriptional program of adaptive mitochondrial biogenesis by activating PGC-1alpha gene transcription. PMID: 16980408
- The present and previous observations indicate that the CRTC1-MAML2 fusion is etiologically linked to benign and low-grade malignant tumors originating from diverse exocrine glands rather than being linked to a separate tumor entity. PMID: 17334997
- CRTC1/MAML2 transcript may be detected in both low and high grade mucoepidermoid carcinoma (MEC), that fusion negative tumors may define a subset of biologically aggressive MEC's tumors PMID: 17437281
- the basic leucine zipper domain has a role in the regulation of transcriptional activity of CREB with TORC and salt inducible kinase [review] PMID: 17565599
- CRTC1/MAML2 translocation and fusion transcript is asscociated with Warthin's tumor and mucoepidermoid carcinoma PMID: 18181164
- The presence of the t(11;19)(q21;p13) rearrangement favors a diagnosis of mucoepidermoid carcinoma. PMID: 18206539
- Stimulation by lithium of the interaction between CREB and TORC1 is reported. PMID: 18717645
顯示更多
收起更多
-
相關疾病:A chromosomal aberration involving CRTC1 is found in mucoepidermoid carcinomas, benign Warthin tumors and clear cell hidradenomas. Translocation t(11;19)(q21;p13) with MAML2. The fusion protein consists of the N-terminus of CRTC1 joined to the C-terminus of MAML2. The reciprocal fusion protein consisting of the N-terminus of MAML2 joined to the C-terminus of CRTC1 has been detected in a small number of mucoepidermoid carcinomas.
-
亞細胞定位:Cytoplasm. Nucleus.
-
蛋白家族:TORC family
-
組織特異性:Highly expressed in adult and fetal brain. Located to specific regions such as the prefrontal cortex and cerebellum. Very low expression in other tissues such as heart, spleen, lung, skeletal muscle, salivary gland, ovary and kidney.
-
數據庫鏈接:
Most popular with customers
-
YWHAB Recombinant Monoclonal Antibody
Applications: ELISA, WB, IHC, IF, FC
Species Reactivity: Human, Mouse, Rat
-
Phospho-YAP1 (S127) Recombinant Monoclonal Antibody
Applications: ELISA, WB, IHC
Species Reactivity: Human
-
-
-
-
-
-















