CRMP1 Antibody
-
中文名稱:CRMP1兔多克隆抗體
-
貨號:CSB-PA440612
-
規格:¥1100
-
圖片:
-
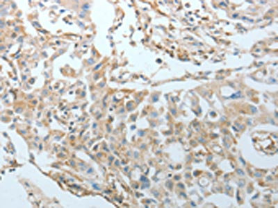
The image on the left is immunohistochemistry of paraffin-embedded Human ovarian cancer tissue using CSB-PA440612(CRMP1 Antibody) at dilution 1/20, on the right is treated with fusion protein. (Original magnification: ×200)
-
The image on the left is immunohistochemistry of paraffin-embedded Human lung cancer tissue using CSB-PA440612(CRMP1 Antibody) at dilution 1/20, on the right is treated with fusion protein. (Original magnification: ×200)
-
-
其他:
產品詳情
-
Uniprot No.:
-
基因名:CRMP1
-
別名:Collapsin response mediator protein 1 antibody; CRMP 1 antibody; CRMP-1 antibody; Crmp1 antibody; Dihydropyrimidinase like 1 antibody; Dihydropyrimidinase related protein 1 antibody; Dihydropyrimidinase-related protein 1 antibody; DPYL1_HUMAN antibody; DPYSL1 antibody; DRP 1 antibody; DRP-1 antibody; DRP1 antibody; ULIP-3 antibody; Ulip3 antibody; Unc-33-like phosphoprotein 3 antibody
-
宿主:Rabbit
-
反應種屬:Human,Mouse,Rat
-
免疫原:Fusion protein of Human CRMP1
-
免疫原種屬:Homo sapiens (Human)
-
標記方式:Non-conjugated
-
抗體亞型:IgG
-
純化方式:Antigen affinity purification
-
濃度:It differs from different batches. Please contact us to confirm it.
-
保存緩沖液:-20°C, pH7.4 PBS, 0.05% NaN3, 40% Glycerol
-
產品提供形式:Liquid
-
應用范圍:ELISA,IHC
-
推薦稀釋比:
Application Recommended Dilution ELISA 1:1000-1:5000 IHC 1:25-1:100 -
Protocols:
-
儲存條件:Upon receipt, store at -20°C or -80°C. Avoid repeated freeze.
-
貨期:Basically, we can dispatch the products out in 1-3 working days after receiving your orders. Delivery time maybe differs from different purchasing way or location, please kindly consult your local distributors for specific delivery time.
-
用途:For Research Use Only. Not for use in diagnostic or therapeutic procedures.
相關產品
靶點詳情
-
功能:Necessary for signaling by class 3 semaphorins and subsequent remodeling of the cytoskeleton. Plays a role in axon guidance. During the axon guidance process, acts downstream of SEMA3A to promote FLNA dissociation from F-actin which results in the rearrangement of the actin cytoskeleton and the collapse of the growth cone. Involved in invasive growth and cell migration. May participate in cytokinesis.
-
基因功能參考文獻:
- Study provides a novel insight into the relevance of collapsin response mediator protein 1, a key molecule in semaphorin-3A signaling during neurodevelopment, in the molecular mechanism of action of lithium, and in the pathophysiology of bipolar disorder. PMID: 29666369
- Study shows that CRMP1 acts an EMT and metastasis suppressor in prostate cancer cells via its regulation of actin polymerization. PMID: 27321179
- Identify CRMP-1 as a novel regulator of actin filament elongation and reveal a surprisingly important role for CRMP-1, EVL, and actin polymerization in maintaining the structural integrity of epithelial sheets. PMID: 28630144
- The present study reports that miR-187 was significantly overexpressed in gastric cancer tissues compared to that in non-tumor tissues and was associated with malignant clinical factors such as depth of invasion (P = 0.005), tumor size (P = 0.024), lymph node metastasis . It was found that collapsin response mediator protein 1 (CRMP1), a tumor suppressor, was a direct downstream target of miR-187. PMID: 27864146
- miR200a-3p promotes the proliferation of human esophageal cancer cells by post-transcriptionally regulating CRMP1. PMID: 28025999
- CRMP1 interacted with Spy1 which would disturb the association of CRMP1 with actin and was involved in the collapse of growth cones induced by Sema3A and regeneration after sciatic nerve crush. PMID: 25526860
- These results demonstrate an important role for CRMP-1 in Listeria actin comet tail formation and open the possibility that CRMP-1 controls cell motility by modulating Arp2/3 activation. PMID: 26598519
- Human CRMP-1 comprises a tetrameric assembly. PMID: 26249678
- Results show that expression of CRMP1 is downregulated in medulloblastoma (MB) tumors. its overexpression inhibits proliferation, migration and invasion of cells suggesting that CRMP1 is implicated in MB pathogenesis. PMID: 26009886
- Aberrant upregulation of CRMP-1 expression may link to the mechanism of developing early-onset preeclampsia. PMID: 25194153
- CRMP1 targets aggregation-prone, N-terminal HTT fragments and suppresses their spontaneous self-assembly. PMID: 25908449
- The mitochondrial fragmentation protein DRP1 play a role in the development of malignant melanoma. PMID: 26032958
- in pilocarpine-induced animal model of epilepsy, CRMP-1 dynamically decreased in a range of 2 months. Thus, our results indicate that CRMP-1 may be involved in the development of TLE PMID: 22359051
- CRMP1 is a novel candidate protein for schizophrenia traits PMID: 22798627
- GSK3beta-dependent phosphorylation of LCRMP-1 provides an important mechanism for regulation of LCRMP-1 on cancer cell invasiveness and clinical outcome. PMID: 22363707
- LCRMP-1 and CRMP-1 have opposing functions in regulating cancer cell invasion and metastasis PMID: 21747164
- Data demonstrate that CRMP1 tyrosine 504 is a primary target of the Src family of tyrosine kinases (SFKs), specifically Fyn. PMID: 20506281
- LCRMP-1 was a cancer invasion enhancer that could be a novel prognostic biomarker in non-small cell lung cancer. PMID: 19362386
- CRMP-1 and CRMP-2 have a role in RhoA-dependent signaling, through interaction with and regulation of ROKalpha PMID: 12482610
- Collapsin response mediator protein-1: a novel invasion-suppressor gene. PMID: 12650609
- CTGF inhibits metastasis and invasion of human lung adenocarcinoma by a CRMP-1-dependent mechanism. PMID: 14996858
- CRMP1 and EVC genes are located near WFS1, the Wolfram syndrome type 1 gene. PMID: 15492864
- The CRMP1 protein is characterizing as modulators of Wnt protein signaling of Axin-1. PMID: 16169070
- GSK3 alters phosphorylation of CRMP-1, -2, and -4 isoforms PMID: 16611631
- The collapsin response mediator protein 1 and the promyelocytic leukemia zinc finger protein interact with UDP-N-acetylglucosamine 2-epimerase/N-acetylmannosamine kinase (GNE). PMID: 17118363
- Transcription of the invasion suppressor, CRMP-1, is reciprocally regulated at the promoter region by C/EBPalpha and Sp1. PMID: 18524846
- ChIP and EMSA demonstrated that p50 binds to a kappaB site residing between -1753 and -1743 of the CRMP-1 promoter region. PMID: 18782567
- loss of CRMP1 contribute to the increased invasive phenotype of human Glioblastoma multiforme brain tumors expressing mutant EGFRvIII. PMID: 19903856
顯示更多
收起更多
-
亞細胞定位:Cytoplasm. Cytoplasm, cytoskeleton, microtubule organizing center, centrosome. Cytoplasm, cytoskeleton, spindle. Cell projection, growth cone. Cytoplasm, cytoskeleton. Perikaryon.
-
蛋白家族:Metallo-dependent hydrolases superfamily, Hydantoinase/dihydropyrimidinase family
-
組織特異性:Brain.
-
數據庫鏈接:
Most popular with customers
-
-
YWHAB Recombinant Monoclonal Antibody
Applications: ELISA, WB, IHC, IF, FC
Species Reactivity: Human, Mouse, Rat
-
-
-
-
-
-















