CRIM1 Antibody
-
中文名稱:CRIM1兔多克隆抗體
-
貨號:CSB-PA791537
-
規格:¥1100
-
圖片:
-
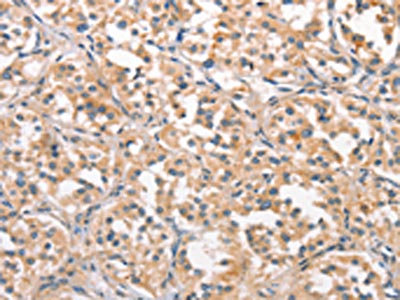
The image on the left is immunohistochemistry of paraffin-embedded Human gastic cancer tissue using CSB-PA791537(CRIM1 Antibody) at dilution 1/25, on the right is treated with synthetic peptide. (Original magnification: ×200)
-
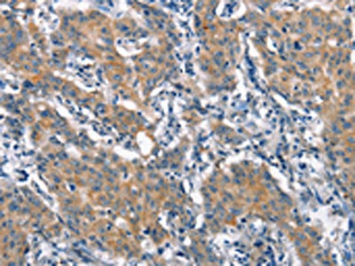
The image on the left is immunohistochemistry of paraffin-embedded Human thyroid cancer tissue using CSB-PA791537(CRIM1 Antibody) at dilution 1/25, on the right is treated with synthetic peptide. (Original magnification: ×200)
-
-
其他:
產品詳情
-
Uniprot No.:
-
基因名:CRIM1
-
別名:AU015004 antibody; CRIM 1 antibody; CRIM-1 antibody; CRIM1 antibody; CRIM1_HUMAN antibody; Cysteine rich motor neuron 1 protein antibody; Cysteine rich repeat containing protein S52 antibody; Cysteine rich transmembrane BMP regulator 1 (chordin like) antibody; Cysteine rich transmembrane BMP regulator 1 antibody; Cysteine-rich motor neuron protein 1 antibody; Cysteine-rich repeat-containing protein S52 antibody; MGC138194 antibody; Processed cysteine rich motor neuron 1 protein antibody; Processed cysteine-rich motor neuron 1 protein antibody; S52 antibody
-
宿主:Rabbit
-
反應種屬:Human,Mouse,Rat
-
免疫原:Synthetic peptide of Human CRIM1
-
免疫原種屬:Homo sapiens (Human)
-
標記方式:Non-conjugated
-
抗體亞型:IgG
-
純化方式:Antigen affinity purification
-
濃度:It differs from different batches. Please contact us to confirm it.
-
保存緩沖液:-20°C, pH7.4 PBS, 0.05% NaN3, 40% Glycerol
-
產品提供形式:Liquid
-
應用范圍:ELISA,IHC
-
推薦稀釋比:
Application Recommended Dilution ELISA 1:1000-1:2000 IHC 1:25-1:100 -
Protocols:
-
儲存條件:Upon receipt, store at -20°C or -80°C. Avoid repeated freeze.
-
貨期:Basically, we can dispatch the products out in 1-3 working days after receiving your orders. Delivery time maybe differs from different purchasing way or location, please kindly consult your local distributors for specific delivery time.
-
用途:For Research Use Only. Not for use in diagnostic or therapeutic procedures.
相關產品
靶點詳情
-
功能:May play a role in CNS development by interacting with growth factors implicated in motor neuron differentiation and survival. May play a role in capillary formation and maintenance during angiogenesis. Modulates BMP activity by affecting its processing and delivery to the cell surface.
-
基因功能參考文獻:
- CRIM1 regulates the expression of several epithelial-mesenchymal transition (EMT) related factors and appears to play a role in suppressing migration and invasion through control of EMT. PMID: 29607933
- these findings implicate CRIM1 in endothelial cell development and homeostasis in the coronary vasculature. PMID: 27803996
- These observations provide evidence for the first time that CRIM1 plays a role in cancer cells by enhancing the migration and adhesion and increasing the expression of N-CAD and E-CAD. PMID: 26653968
- CRIM1 is the causative gene for Colobomatous macrophthalmia with microcornea syndrome and is important for eye development. PMID: 25561690
- Knock down of CRIM1 had no effect on VEGF-induced proliferation or migration of umbilical vein endothelial cells (HUVECs), indicating that basal CRIM1 is not involved in the proliferation or migration of endothelial cells. PMID: 25956066
- Data suggest that CRIM1 plays role in cancer progression/metastasis, epithelial-mesenchymal transition, and neoplastic angiogenesis. [REVIEW] PMID: 25088037
- BMPs inhibitor CRIM1 is increased and correlates with higher levels of serum PIPIII showing an imbalance in favor of pro-fibrotic mechanisms in CHF. PMID: 24617547
- CRIM1 is an early response gene in the presence of both angiogenic stimulation (VEGF) and environmental (extracellular matrix) factors, and Erk and FAK might be involved in the upregulation of CRIM1 mRNA expression in vascular endothelial cells. PMID: 25086356
- Study demonstrated that CRIM1 is expressed at high levels in resistant leukemia cells, indicating that CRIM1 may play a role in drug-resistance. PMID: 21036735
- CRIM1 has a role in capillary formation and maintenance during angiogenesis PMID: 12464430
- CRIM1 modulates BMP activity by affecting its processing and delivery to the cell surface PMID: 12805376
顯示更多
收起更多
-
亞細胞定位:[Processed cysteine-rich motor neuron 1 protein]: Secreted.; Cell membrane; Single-pass type I membrane protein.
-
組織特異性:Expressed in pancreas, kidney, skeletal muscle, lung, placenta, brain, heart, spleen, liver and small intestine. Expressed in blood vessels (at protein level).
-
數據庫鏈接:
Most popular with customers
-
-
YWHAB Recombinant Monoclonal Antibody
Applications: ELISA, WB, IHC, IF, FC
Species Reactivity: Human, Mouse, Rat
-
Phospho-YAP1 (S127) Recombinant Monoclonal Antibody
Applications: ELISA, WB, IHC
Species Reactivity: Human
-
-
-
-
-















