CRHR1 Antibody
-
中文名稱:CRHR1兔多克隆抗體
-
貨號:CSB-PA005965EA01HU
-
規格:¥440
-
圖片:
-
Western blot
All lanes: CRHR1 antibody at 16µg/ml
Lane 1: Hela whole cell lysate
Lane 2: HL60 whole cell lysate
Secondary
Goat polyclonal to rabbit IgG at 1/10000 dilution
Predicted band size: 51, 48, 44, 47, 29 kDa
Observed band size: 51 kDa -
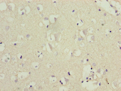
Immunohistochemistry of paraffin-embedded human brain tissue using CSB-PA005965EA01HU at dilution of 1:100
-
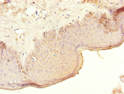
Immunohistochemistry of paraffin-embedded human skin tissue using CSB-PA005965EA01HU at dilution of 1:100
-
Immunofluorescent analysis of Hela cells using CSB-PA005965EA01HU at dilution of 1:100 and Alexa Fluor 488-congugated AffiniPure Goat Anti-Rabbit IgG(H+L)
-
-
其他:
產品詳情
-
產品名稱:Rabbit anti-Homo sapiens (Human) CRHR1 Polyclonal antibody
-
Uniprot No.:
-
基因名:
-
別名:Corticotropin releasing factor type 1 receptor antibody; corticotropin releasing hormone receptor 1 antibody; Corticotropin-releasing factor receptor 1 antibody; Corticotropin-releasing hormone receptor 1 antibody; CRF R antibody; crf receptor 1 antibody; crf receptor type 1 antibody; crf type 1 antibody; CRF-R antibody; CRF-R-1 antibody; CRF-R1 antibody; CRF1 antibody; CRFR antibody; CRFR-1 antibody; CRFR1 antibody; CRFR1_HUMAN antibody; CRH-R-1 antibody; CRH-R1 antibody; CRH-R1h antibody; CRHR antibody; Crhr1 antibody; CRHR1f antibody; CRHR1L antibody
-
宿主:Rabbit
-
反應種屬:Human
-
免疫原:Recombinant Human Corticotropin-releasing factor receptor 1 protein (24-121AA)
-
免疫原種屬:Homo sapiens (Human)
-
標記方式:Non-conjugated
本頁面中的產品,CRHR1 Antibody (CSB-PA005965EA01HU),的標記方式是Non-conjugated。對于CRHR1 Antibody,我們還提供其他標記。見下表:
-
克隆類型:Polyclonal
-
抗體亞型:IgG
-
純化方式:>95%, Protein G purified
-
濃度:It differs from different batches. Please contact us to confirm it.
-
保存緩沖液:Preservative: 0.03% Proclin 300
Constituents: 50% Glycerol, 0.01M PBS, PH 7.4 -
產品提供形式:Liquid
-
應用范圍:ELISA, WB, IHC, IF
-
推薦稀釋比:
Application Recommended Dilution WB 1:500-1:5000 IHC 1:20-1:200 IF 1:50-1:200 -
Protocols:
-
儲存條件:Upon receipt, store at -20°C or -80°C. Avoid repeated freeze.
-
貨期:Basically, we can dispatch the products out in 1-3 working days after receiving your orders. Delivery time maybe differs from different purchasing way or location, please kindly consult your local distributors for specific delivery time.
-
用途:For Research Use Only. Not for use in diagnostic or therapeutic procedures.
相關產品
靶點詳情
-
功能:G-protein coupled receptor for CRH (corticotropin-releasing factor) and UCN (urocortin). Has high affinity for CRH and UCN. Ligand binding causes a conformation change that triggers signaling via guanine nucleotide-binding proteins (G proteins) and down-stream effectors, such as adenylate cyclase. Promotes the activation of adenylate cyclase, leading to increased intracellular cAMP levels. Inhibits the activity of the calcium channel CACNA1H. Required for normal embryonic development of the adrenal gland and for normal hormonal responses to stress. Plays a role in the response to anxiogenic stimuli.
-
亞細胞定位:Cell membrane; Multi-pass membrane protein. Endosome. Note=Agonist-binding promotes endocytosis.
-
蛋白家族:G-protein coupled receptor 2 family
-
組織特異性:Predominantly expressed in the cerebellum, pituitary, cerebral cortex and olfactory lobe.
-
數據庫鏈接:
Most popular with customers
-
-
YWHAB Recombinant Monoclonal Antibody
Applications: ELISA, WB, IHC, IF, FC
Species Reactivity: Human, Mouse, Rat
-
Phospho-YAP1 (S127) Recombinant Monoclonal Antibody
Applications: ELISA, WB, IHC
Species Reactivity: Human
-
-
-
-
-















