CRELD2 Antibody
-
中文名稱:CRELD2兔多克隆抗體
-
貨號:CSB-PA919659
-
規格:¥1100
-
圖片:
-
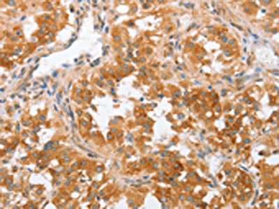
The image on the left is immunohistochemistry of paraffin-embedded Human thyroid cancer tissue using CSB-PA919659(CRELD2 Antibody) at dilution 1/50, on the right is treated with fusion protein. (Original magnification: ×200)
-
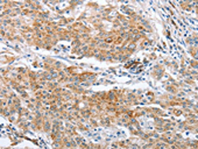
The image on the left is immunohistochemistry of paraffin-embedded Human gastric cancer tissue using CSB-PA919659(CRELD2 Antibody) at dilution 1/50, on the right is treated with fusion protein. (Original magnification: ×200)
-
Gel: 8%SDS-PAGE, Lysate: 40 μg, Lane: Human normal colon tissue, Primary antibody: CSB-PA919659(CRELD2 Antibody) at dilution 1/550, Secondary antibody: Goat anti rabbit IgG at 1/8000 dilution, Exposure time: 2 minutes
-
-
其他:
產品詳情
-
Uniprot No.:
-
基因名:CRELD2
-
別名:CRELD2 antibody; UNQ185/PRO211Protein disulfide isomerase CRELD2 antibody; EC 5.3.4.1 antibody; Cysteine-rich with EGF-like domain protein 2 antibody
-
宿主:Rabbit
-
反應種屬:Human
-
免疫原:Fusion protein of Human CRELD2
-
免疫原種屬:Homo sapiens (Human)
-
標記方式:Non-conjugated
-
抗體亞型:IgG
-
純化方式:Antigen affinity purification
-
濃度:It differs from different batches. Please contact us to confirm it.
-
保存緩沖液:-20°C, pH7.4 PBS, 0.05% NaN3, 40% Glycerol
-
產品提供形式:Liquid
-
應用范圍:ELISA,WB,IHC
-
推薦稀釋比:
Application Recommended Dilution ELISA 1:2000-1:5000 WB 1:500-1:2000 IHC 1:50-1:200 -
Protocols:
-
儲存條件:Upon receipt, store at -20°C or -80°C. Avoid repeated freeze.
-
貨期:Basically, we can dispatch the products out in 1-3 working days after receiving your orders. Delivery time maybe differs from different purchasing way or location, please kindly consult your local distributors for specific delivery time.
-
用途:For Research Use Only. Not for use in diagnostic or therapeutic procedures.
相關產品
靶點詳情
-
功能:Protein disulfide isomerase. Might play a role in the unfolded protein response. May regulate transport of alpha4-beta2 neuronal acetylcholine receptor.
-
基因功能參考文獻:
- intravesicular acidification by V-ATPase regulates the secretion of CRELD2 without relying on the balance of intracellular calcium ions and the expression of endoplasmic reticulum chaperones such as GRP78 and protein disulfide isomerase. PMID: 24687431
- We demonstrate that Armet and Creld2 are genotype-specific ER stress response proteins with substrate specificities, and that aggregation of mutant matrilin-3 is a key disease trigger in MED that could be exploited as a potential therapeutic target PMID: 23956175
- results strongly suggest that Creld2 may be directly regulated by BMP9 and ER stress response may play an important role in regulating osteogenic differentiation PMID: 24019898
- CRELD2 can act as a specific regulator of alpha4beta2 nAChR expression PMID: 16238698
- Mapping of CRELD2 by FISH shows that it maps to 22q13 rather than the GenBank reported locus of 22p13. PMID: 16919896
顯示更多
收起更多
-
亞細胞定位:Endoplasmic reticulum.
-
蛋白家族:CRELD family
-
組織特異性:Ubiquitously expressed. Highly expressed in skeletal muscle, heart, liver, kidney and placenta.
-
數據庫鏈接:
Most popular with customers
-
-
YWHAB Recombinant Monoclonal Antibody
Applications: ELISA, WB, IHC, IF, FC
Species Reactivity: Human, Mouse, Rat
-
Phospho-YAP1 (S127) Recombinant Monoclonal Antibody
Applications: ELISA, WB, IHC
Species Reactivity: Human
-
-
-
-
-















