-
中文名稱:COX6A1兔多克隆抗體
-
貨號:CSB-PA02315A0Rb
-
規格:¥440
-
圖片:
-
Western blot
All lanes: COX6A1 antibody at 2µg/ml + EC109 whole cell lysate
Secondary
Goat polyclonal to rabbit IgG at 1/15000 dilution
Predicted band size: 13 kDa
Observed band size: 13 kDa -
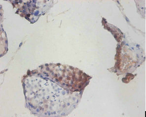
Immunohistochemistry of paraffin-embedded human testis tissue using CSB-PA02315A0Rb at dilution of 1:100
-
Immunofluorescent analysis of NIH/3T3 cells using CSB-PA02315A0Rb at dilution of 1:100 and Alexa Fluor 488-congugated AffiniPure Goat Anti-Rabbit IgG(H+L)
-
-
其他:
產品詳情
-
產品名稱:Rabbit anti-Homo sapiens (Human) COX6A1 Polyclonal antibody
-
Uniprot No.:
-
基因名:
-
別名:COX VIa L antibody; COX VIa-L antibody; COX6A antibody; COX6A1 antibody; COX6AL antibody; CX6A1_HUMAN antibody; Cytochrome c oxidase polypeptide VIa liver antibody; Cytochrome c oxidase polypeptide VIa-liver antibody; Cytochrome c oxidase subunit 6A1 antibody; Cytochrome c oxidase subunit 6A1 mitochondrial antibody; Cytochrome C oxidase subunit VIa homolog antibody; Cytochrome c oxidase subunit VIA liver antibody; Cytochrome c oxidase subunit VIa polypeptide 1 antibody; Cytochrome c oxidase subunit VIA-liver antibody; MGC104500 antibody; mitochondrial antibody
-
宿主:Rabbit
-
反應種屬:Human
-
免疫原:Recombinant Human Cytochrome c oxidase subunit 6A1, mitochondrial protein (25-109AA)
-
免疫原種屬:Homo sapiens (Human)
-
標記方式:Non-conjugated
本頁面中的產品,COX6A1 Antibody (CSB-PA02315A0Rb),的標記方式是Non-conjugated。對于COX6A1 Antibody,我們還提供其他標記。見下表:
-
克隆類型:Polyclonal
-
抗體亞型:IgG
-
純化方式:>95%, Protein G purified
-
濃度:It differs from different batches. Please contact us to confirm it.
-
保存緩沖液:Preservative: 0.03% Proclin 300
Constituents: 50% Glycerol, 0.01M PBS, PH 7.4 -
產品提供形式:Liquid
-
應用范圍:ELISA, WB, IHC, IF
-
推薦稀釋比:
Application Recommended Dilution WB 1:500-1:5000 IHC 1:20-1:200 IF 1:50-1:200 -
Protocols:
-
儲存條件:Upon receipt, store at -20°C or -80°C. Avoid repeated freeze.
-
貨期:Basically, we can dispatch the products out in 1-3 working days after receiving your orders. Delivery time maybe differs from different purchasing way or location, please kindly consult your local distributors for specific delivery time.
-
用途:For Research Use Only. Not for use in diagnostic or therapeutic procedures.
引用文獻
- Liposome-based Freezing Medium Improves the Outcome of Mouse Prepubertal Testicular Tissue Cryopreservation R Dcunha, SP Mutalik, RA Reji, S Mutalik,Reproductive Sciences,2024
相關產品
靶點詳情
-
功能:Component of the cytochrome c oxidase, the last enzyme in the mitochondrial electron transport chain which drives oxidative phosphorylation. The respiratory chain contains 3 multisubunit complexes succinate dehydrogenase (complex II, CII), ubiquinol-cytochrome c oxidoreductase (cytochrome b-c1 complex, complex III, CIII) and cytochrome c oxidase (complex IV, CIV), that cooperate to transfer electrons derived from NADH and succinate to molecular oxygen, creating an electrochemical gradient over the inner membrane that drives transmembrane transport and the ATP synthase. Cytochrome c oxidase is the component of the respiratory chain that catalyzes the reduction of oxygen to water. Electrons originating from reduced cytochrome c in the intermembrane space (IMS) are transferred via the dinuclear copper A center (CU(A)) of subunit 2 and heme A of subunit 1 to the active site in subunit 1, a binuclear center (BNC) formed by heme A3 and copper B (CU(B)). The BNC reduces molecular oxygen to 2 water molecules unsing 4 electrons from cytochrome c in the IMS and 4 protons from the mitochondrial matrix.
-
基因功能參考文獻:
- We demonstrate a developmental isoform switch of COX6A and COX7A subunits in human and mouse skeletal muscle PMID: 25666558
- Mutation of COX6A1 causes a recessive axonal or mixed form of Charcot-Marie-Tooth disease. PMID: 25152455
- Novel insights into the assembly and function of human nuclear-encoded cytochrome c oxidase subunits 6a PMID: 20307258
- COX6A1 was identified as the protein that inhibits yeast cells Bax-sensitivity and protects mammalian cells from 4-HPR-induced apoptosis. PMID: 18549809
-
相關疾病:Charcot-Marie-Tooth disease, recessive, intermediate type, D (CMTRID)
-
亞細胞定位:Mitochondrion inner membrane; Single-pass membrane protein.
-
蛋白家族:Cytochrome c oxidase subunit 6A family
-
數據庫鏈接:
Most popular with customers
-
-
Phospho-YAP1 (S127) Recombinant Monoclonal Antibody
Applications: ELISA, WB, IHC
Species Reactivity: Human
-
-
-
-
-
-















