CORO1C Antibody
-
中文名稱:CORO1C兔多克隆抗體
-
貨號:CSB-PA891968DSR2HU
-
規格:¥440
-
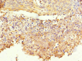
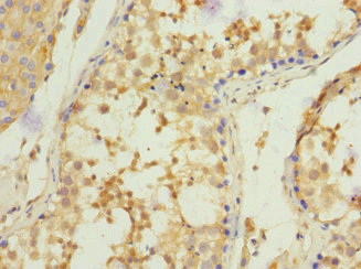
圖片:
-
其他:
產品詳情
-
產品名稱:Rabbit anti-Homo sapiens (Human) CORO1C Polyclonal antibody
-
Uniprot No.:
-
基因名:CORO1C
-
別名:COR1C_HUMAN antibody; CORO 1C antibody; Coro1c antibody; Coronin 1c antibody; Coronin actin binding protein 1C antibody; Coronin-1C antibody; Coronin-3 antibody; Coronin1c antibody; Coronin3 antibody; CRNN 4 antibody; CRNN4 antibody; HCRNN 4 antibody; hCRNN4 antibody
-
宿主:Rabbit
-
反應種屬:Human
-
免疫原:Recombinant Human Coronin-1C protein (375-474AA)
-
免疫原種屬:Homo sapiens (Human)
-
標記方式:Non-conjugated
-
克隆類型:Polyclonal
-
抗體亞型:IgG
-
純化方式:Antigen Affinity Purified
-
濃度:It differs from different batches. Please contact us to confirm it.
-
保存緩沖液:PBS with 0.02% sodium azide, 50% glycerol, pH7.3.
-
產品提供形式:Liquid
-
應用范圍:ELISA, IHC
-
推薦稀釋比:
Application Recommended Dilution IHC 1:20-1:200 -
Protocols:
-
儲存條件:Upon receipt, store at -20°C or -80°C. Avoid repeated freeze.
-
貨期:Basically, we can dispatch the products out in 1-3 working days after receiving your orders. Delivery time maybe differs from different purchasing way or location, please kindly consult your local distributors for specific delivery time.
-
用途:For Research Use Only. Not for use in diagnostic or therapeutic procedures.
相關產品
靶點詳情
-
功能:Plays a role in directed cell migration by regulating the activation and subcellular location of RAC1. Increases the presence of activated RAC1 at the leading edge of migrating cells. Required for normal organization of the cytoskeleton, including the actin cytoskeleton, microtubules and the vimentin intermediate filaments. Plays a role in endoplasmic reticulum-associated endosome fission: localizes to endosome membrane tubules and promotes recruitment of TMCC1, leading to recruitment of the endoplasmic reticulum to endosome tubules for fission. Endosome membrane fission of early and late endosomes is essential to separate regions destined for lysosomal degradation from carriers to be recycled to the plasma membrane. Required for normal cell proliferation, cell migration, and normal formation of lamellipodia. Required for normal distribution of mitochondria within cells.; Involved in myogenic differentiation.
-
基因功能參考文獻:
- Coronin 1c protein and F-actin protein are highly expressed in breast cancer and their expression may be related to the metastasis of breast cancer cells. PMID: 30150608
- circBIRC6 and circCORO1C are functionally associated with the pluripotent state in undifferentiated human embryonic stem cells PMID: 29074849
- It would appear that YB-1 could regulate cell invasion and migration via downregulation of its indirect target coronin-1C. The association between YB-1 and coronin-1C offers a novel approach by which metastasis of breast cancer cells could be targeted and abrogated. PMID: 28302118
- findings emphasize the power of genetic modifiers, PLS3 and CORO1C, to unravel the cellular pathomechanisms underlying spinal muscular atrophy (SMA)--and the power of combinatorial therapy based on splice correction of SMN2 and endocytosis improvement to efficiently treat SMA PMID: 27499521
- Data indicate that coronin 1C protein (CORO1C) was a direct target of the microRNA miR-1/133a cluster in EBC-1 CORO1C was a direct target of the miR-1/133a cluster in lung-squamous cell carcinoma cell line EBC-1. PMID: 25518741
- Coro1C mediated Rac1 trafficking through actin-rich vesicles. PMID: 25862165
- Coronin-1C overexpression is associated withand hepatocellular carcinoma growth through enhancement of tumor cell proliferation and migration, which are correlated with Rac-1 activation. PMID: 23292607
- Coronin 3 promotes gastric cancer metastasis via the up-regulation of MMP-9 and cathepsin K. PMID: 22974233
- Patients with higher coronin-1C expression had a more advanced stage of hepatocellular carcinoma. PMID: 20678442
- There is a strong expression of both SELPLG and coronin-1C in the majority of primary effusion lymphomas, irrespective of their gene dosage. SELPLG is critical for cell migration and chemotaxis, while CORO1C regulates actin-dependent processes. PMID: 20690162
- Coronin 1C negatively regulates epithelial cell migration via FAK-mediated inhibition of cell-matrix adhesion. PMID: 19913511
- oligomerization, F-actin interaction and membrane association are mediated by carboxyl terminus PMID: 12377779
- Fndings postulate a role for CRN2 isoforms in the structural and functional organization of F-actin in highly ordered protein complexes. PMID: 19651142
顯示更多
收起更多
-
亞細胞定位:Cell membrane; Peripheral membrane protein; Cytoplasmic side. Cell projection, lamellipodium. Cell projection, ruffle membrane. Cytoplasm, cytoskeleton. Cytoplasm, cell cortex. Endosome membrane.; [Isoform 3]: Cell membrane, sarcolemma. Cytoplasm, myofibril, sarcomere. Cell junction, synapse. Cell membrane; Peripheral membrane protein; Cytoplasmic side. Cytoplasm, cytoskeleton. Cytoplasm, cell cortex.
-
蛋白家族:WD repeat coronin family
-
組織特異性:Ubiquitous.
-
數據庫鏈接:
Most popular with customers
-
-
YWHAB Recombinant Monoclonal Antibody
Applications: ELISA, WB, IHC, IF, FC
Species Reactivity: Human, Mouse, Rat
-
Phospho-YAP1 (S127) Recombinant Monoclonal Antibody
Applications: ELISA, WB, IHC
Species Reactivity: Human
-
-
-
-
-















