CORIN Antibody
-
中文名稱:CORIN兔多克隆抗體
-
貨號:CSB-PA896913ESR1HU
-
規格:¥3,900
-
圖片:
-
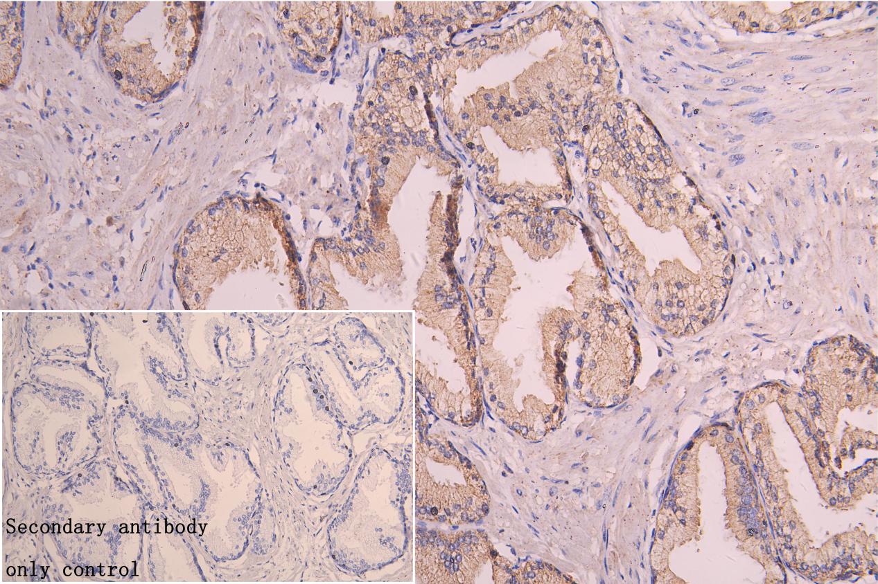
IHC image of CSB-PA896913ESR1HU diluted at 1:150 and staining in paraffin-embedded Human prostate cancer performed on a Leica BondTM system. After dewaxing and hydration, antigen retrieval was mediated by high pressure in a citrate buffer (pH 6.0). Section was blocked with 10% normal goat serum 30min at RT. Then primary antibody (1% BSA) was incubated at 4°C overnight. The primary is detected by a Goat anti-rabbit polymer IgG labeled by HRP and visualized using 0.05% DAB.
-
Western Blot
Positive WB detected in: Hela whole cell lysate,SH-SY5Y whole cell lysate
All lanes: CORIN antibody at 1:1000
Secondary
Goat polyclonal to rabbit IgG at 1/50000 dilution
Predicted band size: 117 kDa
Observed band size: 117 kDa -
Immunofluorescence staining of SH-SY5Y cell with CSB-PA896913ESR1HU at 1:30, counter-stained with DAPI. The cells were fixed in 4% formaldehyde and blocked in 10% normal Goat Serum. The cells were then incubated with the antibody overnight at 4C. The secondary antibody was Alexa Fluor 488-congugated AffiniPure Goat Anti-Rabbit IgG(H+L).
-
Immunofluorescence staining of SH-SY5Y cell with 5% goat serum, counter-stained with DAPI. The cells were fixed in 4% formaldehyde and blocked in 10% normal Goat Serum. The cells were then incubated with the antibody overnight at 4C. The secondary antibody was Alexa Fluor 488-congugated AffiniPure Goat Anti-Rabbit IgG(H+L).
-
-
其他:
產品詳情
-
產品名稱:Rabbit anti-Homo sapiens (Human) CORIN Polyclonal antibody
-
Uniprot No.:
-
基因名:CORIN
-
別名:activated protease fragment antibody; ATC 2 antibody; ATC2 antibody; Atrial natriuretic peptide-converting enzyme antibody; Atrial natriuteric peptide converting enzyme antibody; Corin antibody; Corin serine peptidase antibody; CORIN_HUMAN antibody; CRN antibody; Heart specific serine proteinase antibody; Heart specific serine proteinase ATC2 antibody; Heart-specific serine proteinase ATC2 antibody; MGC119742 antibody; Pro ANP convertase antibody; Pro ANP converting enzyme antibody; Pro-ANP-converting enzyme antibody; TMPRSS 10 antibody; TMPRSS10 antibody; Transmembrane protease serine 10 antibody
-
宿主:Rabbit
-
反應種屬:Human
-
免疫原:Recombinant Human Atrial natriuretic peptide-converting enzyme protein (1-110AA)
-
免疫原種屬:Homo sapiens (Human)
-
標記方式:Non-conjugated
-
克隆類型:Polyclonal
-
抗體亞型:IgG
-
純化方式:Antigen Affinity Purified
-
濃度:It differs from different batches. Please contact us to confirm it.
-
保存緩沖液:Preservative: 0.03% Proclin 300 Constituents: 50% Glycerol, 0.01M PBS, PH 7.4
-
產品提供形式:Liquid
-
應用范圍:ELISA, WB, IHC, IF
-
推薦稀釋比:
Application Recommended Dilution WB 1:1000-1:5000 IHC 1:100-1:300 IF 1:20-1:100 -
Protocols:
-
儲存條件:Upon receipt, store at -20°C or -80°C. Avoid repeated freeze.
-
貨期:Basically, we can dispatch the products out in 1-3 working days after receiving your orders. Delivery time maybe differs from different purchasing way or location, please kindly consult your local distributors for specific delivery time.
-
用途:For Research Use Only. Not for use in diagnostic or therapeutic procedures.
相關產品
靶點詳情
-
功能:Serine-type endopeptidase involved in atrial natriuretic peptide (NPPA) and brain natriuretic peptide (NPPB) processing. Converts through proteolytic cleavage the non-functional propeptides NPPA and NPPB into their active hormones, ANP and BNP(1-32) respectively, thereby regulating blood pressure in the heart and promoting natriuresis, diuresis and vasodilation. Proteolytic cleavage of pro-NPPA also plays a role in female pregnancy by promoting trophoblast invasion and spiral artery remodeling in uterus. Also acts as a regulator of sodium reabsorption in kidney.; has weaker endopeptidase activity compared to isoform 1.
-
基因功能參考文獻:
- Data suggest that soluble corin lacking transmembrane domain is activated by PCSK6 in conditioned medium or in cell-free system but not intracellularly; cell membrane association is unnecessary for PCSK6 to activate corin; soluble corin and PCSK6 are secreted by cardiomyocytes (or HEK293 cells) via different intracellular pathways. (PCSK6 = proprotein convertase subtilisin/kexin type-6) PMID: 29180304
- Suggest that pro-ANP/corin/NPR-C signaling is dominant in the vascular system in preeclampsia. PMID: 29523263
- These results indicate that genetic variants impairing corin function are not uncommon in general populations and that such variants may be an important contributing factor in hypertension. PMID: 28861913
- Preeclampsia is one of the most severe complications of the pregnancy, and trials to estimate a panel of predictive markers are of big interest for multiple researches. Corin is a transmembrane serine protease, localized in the heart, which is converting pro-ANP in to active ANR. ANP is a hormone regulating salt hemostasis and arterial blood pressure. [review] PMID: 29370493
- Corin is a key enzyme in the natriuretic peptide system. The latest findings indicate that corin-mediated ANP production may act in a tissue-specific manner to regulate cardiovascular and renal function. Corin defects may contribute to major diseases such as hypertension, heart failure, pre-eclampsia, and kidney disease. PMID: 27898523
- association of 2 single nucleotide polymorphisms in CORIN (rs2271037 and rs3749585) with hypertension, as well as their potential interactions with some risk factors of hypertension in a Han population of northeastern China PMID: 29391274
- We detected elevated serum corin levels in women with pre-eclampsia. Interestingly, the serum corin levels were also found to be elevated in pregnancies with a related disorder, unexplained fetal growth restriction without hypertension, suggesting that this phenomenon is not simply a response to maternal hypertension. PMID: 27871468
- Corin and atrial natriuretic peptide A were most abundant in the proximal convoluted tubules and the medullary connecting ducts. PMID: 27343265
- CORIN expression is significantly downregulated in human masticatory mucosa during wound healing PMID: 28005267
- serum levels of corin are significantly decreased in acute myocardial infarction patients PMID: 26577631
- Data show that both furin and brain type natriuretic peptide (BNP) were more sensitive than corin in predicting cardiovascular complications in type 2 diabetes mellitus (T2DM) patients. PMID: 26488448
- Circulating corin concentrations are related to infarct size in patients after ST-segment elevation myocardial infarction PMID: 25981578
- Hypertensive participants had an increased serum corin level compared to those without hypertension, suggesting that corin may play a role in the pathology of hypertension. PMID: 25663063
- Serum soluble corin was significantly and positively associated with dyslipidemia PMID: 26344336
- Plasma corin levels decreased significantly from preoperative concentrations after coronary artery bypass graft surgery. PMID: 25649697
- corin may play an important role in the pathology of atrial fibrillation PMID: 26048191
- Increased serum soluble corin in mid pregnancy was associated with an increased risk for HDP(hypertensive disorders of pregnancy) .--increased serum soluble corin in mid pregnancy could be an indicator for HDP PMID: 26086065
- identified a PCSK6 mutation that impaired corin activation activity in a hypertensive patient PMID: 26259032
- the variant altered corin structure and impaired the natriuretic peptide processing activity in vivo. The results highlight corin defects as an important underlying mechanism in hypertension. PMID: 25488193
- IRE1-dependent corin mRNA decay is a mechanism leading to corin protein deficiency may contribute to the pathophysiology of impaired natriuretic peptide pro-hormone processing in humans processing in humans with advanced systolic heart failure. PMID: 25516437
- Serum soluble corin was decreased in patients with stroke compared with healthy controls. PMID: 26022632
- In conclusion, this is the first report of a highly significant association between these two single nucleotide polymorphisms in CORIN gene and preeclampsia. PMID: 25474356
- N-glycans at different sites may play distinct roles in regulating the cell membrane targeting, zymogen activation, and ectodomain shedding of corin PMID: 25451932
- data provide important insights into the molecular basis underlying corin mutations that may contribute to preeclampsia in patients. PMID: 24828501
- Corin mediates an essential step in the cascade of natriuretic peptide biosynthesis and eventually their action. Thus, it is postulated that aberrations in the normal activity of corin may contribute to cardiovascular and renal diseases. PMID: 24100222
- CORIN is expressed in non-pregnant late secretory phase endometrium, first trimester human implantation sites and is up-regulated with decidualization ex vivo PMID: 23434834
- The processing of proBNP1_108 by corin may be controlled by O-linked glycosylation of proBNP1-108. A potential impairment of proBNP1lo8 processing in heart failure may be linked to dysregulation of the convertase corin.[Review] PMID: 24015598
- human CORIN gene mutations causing impaired corin activity may be an underlying mechanism in hypertension PMID: 23372161
- The results indicate that renal tubular corin may be shed into urine and that urinary and renal corin levels were reduced in chronic kidney disease patients. PMID: 23327554
- Results indicate that corin defects may represent an important mechanism in salt-sensitive hypertension and cardiac hypertrophy in blacks. PMID: 22987923
- results indicate that corin and ANP are essential for physiological changes at the maternal-fetal interface, suggesting that defects in corin and ANP function may contribute to pre-eclampsia PMID: 22437503
- the function and regulation of corin PMID: 22093942
- the sequence in the cytoplasmic tail plays an important role in corin cell surface targeting and zymogen activation. PMID: 21518754
- Ectodomain shedding and autocleavage of the cardiac membrane protease corin. PMID: 21288900
- Data suggest that there may be patients for whom low corin levels and impaired pro-ANP cleavage contribute to acute decompensated heart failure. PMID: 21216831
- A modest correlation is demonstrated between plasma corin levels and individual echocardiographic indices of cardiac hypertrophy, but no relationships between plasma corin and myocardial performance are proved in this study. PMID: 20670840
- corin might be involved in the salt retention seen in glomerular diseases. PMID: 20613715
- Insufficient corin activation is expected to prevent natriuretic peptide processing and may contribute to body fluid retention and impaired cardiac function in patients with heart failure. PMID: 20802129
- Processing of pro-atrial natriuretic peptide by corin in cardiac myocytes. PMID: 11884416
- These data indicate that the GATA element and its binding to GATA-4 are essential for cardiac expression of the human and murine corin genes. PMID: 12154094
- the transmembrane domain is not necessary for the biological activity of corin but may be a mechanism to localize corin at specific sites PMID: 14559895
- in CORIN, the frizzled 1 domain and LDLR repeats 1-4 are important structural elements for recognition of the physiological substrate, pro-ANP PMID: 15192093
- The corin I555 (P568) allele is common in blacks and is associated with higher blood pressure and an increased risk for prevalent hypertension. PMID: 16216958
- Corin I555(P568) allele represents a cardiac hypertrophy-sensitizing genetic locus in systemic hypertension. PMID: 17296875
- N-linked oligosaccharides play an important role in corin activation PMID: 17660514
- ANP and corin are expressed at the mRNA level in human adipose tissue and preadipocytes PMID: 17890485
- corin gene single nucleotide polymorphism associated with hypertension and cardiac hypertrophy impair corin zymogen activation and natriuretic peptide processing activity PMID: 18669922
- Dysfunctional corin i555(p568) allele is associated with impaired brain natriuretic peptide processing and adverse outcomes in blacks with systolic heart failure: results from the Genetic Risk Assessment in Heart Failure substudy. PMID: 19919978
顯示更多
收起更多
-
相關疾?。?/div>Pre-eclampsia/eclampsia 5 (PEE5)亞細胞定位:Cell membrane; Single-pass type II membrane protein. Note=May easily detached from the endothelial cell membrane.; [Isoform 2]: Cell membrane; Single-pass type II membrane protein. Note=Less efficiently targeted to the cell membrane compared to isoform 1.; [Atrial natriuretic peptide-converting enzyme, 180 kDa soluble fragment]: Secreted. Note=Soluble form produced following cleavage by ADAM10.; [Atrial natriuretic peptide-converting enzyme, 160 kDa soluble fragment]: Secreted. Note=Soluble form produced following autocatalytic cleavage.; [Atrial natriuretic peptide-converting enzyme, 100 kDa soluble fragment]: Secreted. Note=Soluble form produced following autocatalytic cleavage.蛋白家族:Peptidase S1 family組織特異性:Highly expressed in heart. Expressed in heart myocytes. Also expressed in pregnant uterus. Detected in blood, in plasma as well as in serum (at protein level).數據庫鏈接:
Most popular with customers
-
-
YWHAB Recombinant Monoclonal Antibody
Applications: ELISA, WB, IHC, IF, FC
Species Reactivity: Human, Mouse, Rat
-
Phospho-YAP1 (S127) Recombinant Monoclonal Antibody
Applications: ELISA, WB, IHC
Species Reactivity: Human
-
-
-
-
-















