COQ8A Antibody
-
中文名稱:COQ8A兔多克隆抗體
-
貨號:CSB-PA850918ESR1HU
-
規格:¥440
-
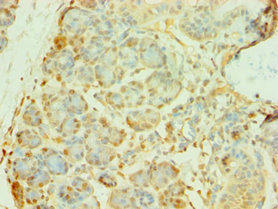
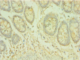
圖片:
-
其他:
產品詳情
-
產品名稱:Rabbit anti-Homo sapiens (Human) COQ8A Polyclonal antibody
-
Uniprot No.:
-
基因名:COQ8A
-
別名:aarF domain containing protein kinase 3 antibody; aarF domain-containing protein kinase 3 antibody; ADCK 3 antibody; Adck3 antibody; ADCK3_HUMAN antibody; ARCA2 antibody; CABC 1 antibody; CABC1 antibody; Chaperone ABC1 (activity of bc1 complex S.pombe) like antibody; Chaperone ABC1 activity of bc1 complex homolog antibody; Chaperone ABC1 like antibody; Chaperone activity of bc1 complex like antibody; Chaperone activity of bc1 complex like mitochondrial antibody; Chaperone activity of bc1 complex-like antibody; Chaperone-ABC1-like antibody; Coenzyme Q8 homolog antibody; COQ 8 antibody; COQ10D4 antibody; COQ8 antibody; COQ8; S. cerevisiae; homolog of antibody; MGC4849 antibody; mitochondrial antibody; OTTHUMP00000035734 antibody; OTTHUMP00000035737 antibody; SCAR9 antibody
-
宿主:Rabbit
-
反應種屬:Human
-
免疫原:Recombinant Human Atypical kinase ADCK3, mitochondrial protein (1-220AA)
-
免疫原種屬:Homo sapiens (Human)
-
標記方式:Non-conjugated
-
克隆類型:Polyclonal
-
抗體亞型:IgG
-
純化方式:Antigen Affinity Purified
-
濃度:It differs from different batches. Please contact us to confirm it.
-
保存緩沖液:PBS with 0.02% sodium azide, 50% glycerol, pH7.3.
-
產品提供形式:Liquid
-
應用范圍:ELISA, IHC
-
推薦稀釋比:
Application Recommended Dilution IHC 1:20-1:200 -
Protocols:
-
儲存條件:Upon receipt, store at -20°C or -80°C. Avoid repeated freeze.
-
貨期:Basically, we can dispatch the products out in 1-3 working days after receiving your orders. Delivery time maybe differs from different purchasing way or location, please kindly consult your local distributors for specific delivery time.
-
用途:For Research Use Only. Not for use in diagnostic or therapeutic procedures.
相關產品
靶點詳情
-
功能:Atypical kinase involved in the biosynthesis of coenzyme Q, also named ubiquinone, an essential lipid-soluble electron transporter for aerobic cellular respiration. Its substrate specificity is unclear: does not show any protein kinase activity. Probably acts as a small molecule kinase, possibly a lipid kinase that phosphorylates a prenyl lipid in the ubiquinone biosynthesis pathway, as suggested by its ability to bind coenzyme Q lipid intermediates. Shows an unusual selectivity for binding ADP over ATP.
-
基因功能參考文獻:
- Loss of COQ8a results in cerebellar ataxia and coenzyme Q deficiency. PMID: 27499294
- ADCK3/COQ8 localises to mitochondrial cristae and is targeted to this organelle via the presence of an N-terminal localisation signal PMID: 26866375
- work reveals Mg(2+)-dependent ATPase activity of ADCK3, providing strong support for the theoretical prediction of this protein being a functional atypical kinase. PMID: 25540914
- a structural foundation for investigating the role of transmembrane association in regulating the biological activity of ADCK3 PMID: 25216398
- Mitochondrial ADCK3 employs an atypical protein kinase-like fold to enable coenzyme Q biosynthesis. PMID: 25498144
- These observations highlight the importance of screening for a potentially treatable cause, CABC1/ADCK3 mutations PMID: 22036850
- play an important role in mediating p53-inducible apoptosis through the mitochondrial pathway. PMID: 11888884
- CABC1 gene mutations in four ubiquinone-deficient patients in three distinct families were reported. PMID: 18319072
- Five additional mutations in ADCK3 were found in three patients with sporadic ataxia, including one known to have CoQ10 deficiency in muscle. PMID: 18319074
顯示更多
收起更多
-
相關疾病:Coenzyme Q10 deficiency, primary, 4 (COQ10D4)
-
亞細胞定位:Mitochondrion. Membrane; Single-pass membrane protein.
-
蛋白家族:Protein kinase superfamily, ADCK protein kinase family
-
組織特異性:Widely expressed, with highest levels in adrenal gland, heart, pancreas, nasal mucosa, stomach, uterus and skeletal muscle.
-
數據庫鏈接:
Most popular with customers
-
-
YWHAB Recombinant Monoclonal Antibody
Applications: ELISA, WB, IHC, IF, FC
Species Reactivity: Human, Mouse, Rat
-
Phospho-YAP1 (S127) Recombinant Monoclonal Antibody
Applications: ELISA, WB, IHC
Species Reactivity: Human
-
-
-
-
-















