COL6A6 Antibody
-
中文名稱:COL6A6兔多克隆抗體
-
貨號:CSB-PA409861LA01HU
-
規格:¥440
-
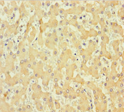
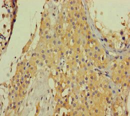
圖片:
-
其他:
產品詳情
-
產品名稱:Rabbit anti-Homo sapiens (Human) COL6A6 Polyclonal antibody
-
Uniprot No.:
-
基因名:
-
別名:COL6A6Collagen alpha-6(VI) chain antibody
-
宿主:Rabbit
-
反應種屬:Human
-
免疫原:Recombinant Human Collagen alpha-6(VI) chain protein (430-982AA)
-
免疫原種屬:Homo sapiens (Human)
-
標記方式:Non-conjugated
本頁面中的產品,COL6A6 Antibody (CSB-PA409861LA01HU),的標記方式是Non-conjugated。對于COL6A6 Antibody,我們還提供其他標記。見下表:
-
克隆類型:Polyclonal
-
抗體亞型:IgG
-
純化方式:>95%, Protein G purified
-
濃度:It differs from different batches. Please contact us to confirm it.
-
保存緩沖液:Preservative: 0.03% Proclin 300
Constituents: 50% Glycerol, 0.01M PBS, PH 7.4 -
產品提供形式:Liquid
-
應用范圍:ELISA, IHC
-
推薦稀釋比:
Application Recommended Dilution IHC 1:20-1:200 -
Protocols:
-
儲存條件:Upon receipt, store at -20°C or -80°C. Avoid repeated freeze.
-
貨期:Basically, we can dispatch the products out in 1-3 working days after receiving your orders. Delivery time maybe differs from different purchasing way or location, please kindly consult your local distributors for specific delivery time.
-
用途:For Research Use Only. Not for use in diagnostic or therapeutic procedures.
相關產品
靶點詳情
-
功能:Collagen VI acts as a cell-binding protein.
-
基因功能參考文獻:
- Study identified SNPs in COL6A6 associated with atopic dermatitis suggesting that COL6A6 variants may constitute candidate risk factors for early-onset atopic dermatitis. PMID: 28125976
- A whole-exome sequencing approach led to identification of a deletion in RHO through detection of a new linked variant in COL6A6 in autosomal dominant retinitis pigmentosa. PMID: 26321861
- Reduced collagen VI alpha6 chain expression in the skeletal muscle is associated with collagen VI-related myopathies. PMID: 24907562
- The collagen VI alpha6 chain, but not the alpha5 chain, is up-regulated in dystrophic muscles. PMID: 22226732
- collagen VI alpha 6 is an important basal lamina component involved in the regulation of epithelial cell behavior most notably as a regulator of epithelial cell-fibronectin interactions PMID: 21406227
- localization of alpha5, and to a lesser extent alpha6, is restricted to the papillary dermis, where the protein mainly colocalizes with collagen fibrils; both chains were found around blood vessels PMID: 20882040
- The discovery of three additional collagen VI chains doubles the collagen VI family and adds a layer of complexity to collagen VI assembly and function in the extracellular matrix. PMID: 18400749
顯示更多
收起更多
-
亞細胞定位:Secreted, extracellular space, extracellular matrix.
-
蛋白家族:Type VI collagen family
-
數據庫鏈接:
Most popular with customers
-
-
YWHAB Recombinant Monoclonal Antibody
Applications: ELISA, WB, IHC, IF, FC
Species Reactivity: Human, Mouse, Rat
-
Phospho-YAP1 (S127) Recombinant Monoclonal Antibody
Applications: ELISA, WB, IHC
Species Reactivity: Human
-
-
-
-
-















