COL1A2 Antibody
-
中文名稱:COL1A2兔多克隆抗體
-
貨號:CSB-PA201854
-
規格:¥1100
-
圖片:
-
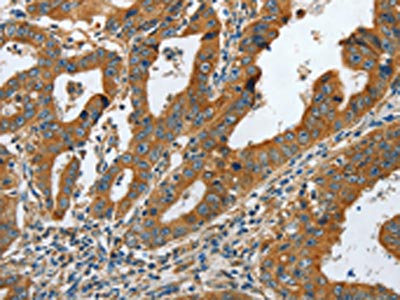
The image on the left is immunohistochemistry of paraffin-embedded Human gastic cancer tissue using CSB-PA201854(COL1A2 Antibody) at dilution 1/20, on the right is treated with fusion protein. (Original magnification: ×200)
-
The image on the left is immunohistochemistry of paraffin-embedded Human liver cancer tissue using CSB-PA201854(COL1A2 Antibody) at dilution 1/20, on the right is treated with fusion protein. (Original magnification: ×200)
-
-
其他:
產品詳情
-
Uniprot No.:
-
基因名:
-
別名:Alpha 2 collagen type I antibody; Alpha 2 type I collagen antibody; Alpha 2 type I procollagen antibody; Alpha 2(I) collagen antibody; Alpha 2(I) procollagen antibody; Alpha-2 type I collagen antibody; CO1A2_HUMAN antibody; COL1A2 antibody; Collagen alpha 2(I) chain antibody; Collagen alpha-2(I) chain antibody; Collagen I alpha 2 polypeptide antibody; Collagen of skin tendon and bone alpha 2 chain antibody; Collagen type I alpha 2 antibody; OI4 antibody; Osteogenesis imperfecta type IV antibody; Type I procollagen antibody
-
宿主:Rabbit
-
反應種屬:Human,Mouse,Rat
-
免疫原:Fusion protein of Human COL1A2
-
免疫原種屬:Homo sapiens (Human)
-
標記方式:Non-conjugated
-
抗體亞型:IgG
-
純化方式:Antigen affinity purification
-
濃度:It differs from different batches. Please contact us to confirm it.
-
保存緩沖液:-20°C, pH7.4 PBS, 0.05% NaN3, 40% Glycerol
-
產品提供形式:Liquid
-
應用范圍:ELISA,IHC
-
推薦稀釋比:
Application Recommended Dilution ELISA 1:2000-1:5000 IHC 1:25-1:100 -
Protocols:
-
儲存條件:Upon receipt, store at -20°C or -80°C. Avoid repeated freeze.
-
貨期:Basically, we can dispatch the products out in 1-3 working days after receiving your orders. Delivery time maybe differs from different purchasing way or location, please kindly consult your local distributors for specific delivery time.
-
用途:For Research Use Only. Not for use in diagnostic or therapeutic procedures.
相關產品
靶點詳情
-
功能:Type I collagen is a member of group I collagen (fibrillar forming collagen).
-
基因功能參考文獻:
- Osteogenesis imperfecta with ectopic mineralizations in dentin and cementum and a COL1A2 mutation has been reported in a Thai adult patient and his preschool daughter. PMID: 29636545
- This study showed that there is no association of collagen type-(2a) and intracranial aneurysms. PMID: 29164999
- High COL1A2 expression is associated with Gastric Cancer. PMID: 28401451
- The aim of this study is to determine whether EcoRI, Del38 and PvuII polymorphisms of COL1A2 are associated with the development of osteoporosis and osteopenia in post-menopausal Polish women. The analyzed COL1A2 polymorphisms seem to be related to osteoporosis development. The COL1A2 polymorphism may be a genetic risk factor related to the development of osteoporosis. PMID: 28930368
- COL1A2 gene mutation is associated with osteogenesis imperfecta. PMID: 28810924
- We evaluated the association of a 7-base pair (7-bp) indel polymorphism (rs3917) in the 3'UTR of COL1A2 with the risk of sudden cardiac death in a Chinese population. Our data provided initial evidence that rs3917 was highly relevant to SCD susceptibility, and this indel may become a potential marker for molecular diagnosis and genetic counseling of SCD. PMID: 28738217
- meta-analysis suggests COL1A2 rs42524 is a significant risk factor for Intracranial Aneurysm susceptibility. PMID: 28671939
- By acting probably as a posttranscriptional regulator with a different efficacy on COL2A1 and COL1A2 expression, miR-29b can contribute to the collagens imbalance associated with an abnormal chondrocyte phenotype. PMID: 28612031
- High methylation of COL1A2 is associated with head and neck cancer. PMID: 27027429
- a phenotypically distinctive group of OI is caused by a mono-allelic COL1 C-propeptide cleavage site mutations and biallelic BMP1 mutations. The subgroup is characterized by high bone mass and other unique skeletal changes, such as coarse trabeculae, pseudo-fractures, and metaphyseal constriction PMID: 27264419
- We suggest that the mutation p.G337C in the COL1A2 gene is pathogenic for osteogenesis imperfecta by affecting the protein structure and the function of collagen. PMID: 28953610
- Identify PDGFRbeta as a driver in activating Akt/mTORC1 nexus for high glucose-mediated expression of collagen I (alpha2) in proximal tubular epithelial cells, which contributes to tubulointerstitial fibrosis in diabetic nephropathy. PMID: 28424212
- Flightless-I (Drosophila) homolog (FLII) activates TGFbeta1-mediated expression of COL1A2 gene. PMID: 25451260
- In the individuals with a COL1A2 mutation, 80% (8/10) of those with a glycine substitution located C terminal of p.Gly211 exhibited DGI in both dentitions while no individual (0/5) with a mutation N-terminal of this point (p = 0.007) exhibited DGI in either dentition. PMID: 28498836
- COL1A2 expression was positively related to tumor size, depth of invasion, and to lower overall survival of gastric cancer patients. PMID: 27894325
- the present study demonstrated that the INS/DEL polymorphism in the 3'UTR of COL1A2 is able to interfere with the interaction between miRNA and mRNA. In addition, it is the first study, to the best of our knowledge, to indicate that the minor allele (Del) is associated with a reduced risk of developing osteoporosis. PMID: 27665867
- THBS2, but not COL1A2 and SPP1, may serve as an indicator of gastric cancer prognosis. PMID: 27997896
- In children aged 6-12, the presence of polymorphism in the COL1A2 gene was not associated with the severity of dental fluorosis. PMID: 26564713
- Study suggests that the COL1A2 rs42524 polymorphism is associated with the development of hypertensive intracerebral hemorrhage, particularly in conjunction with tobacco use and alcohol consumption. PMID: 26910001
- Two Rare Mutations in the COL1A2 Gene Associate With Low Bone Mineral Density and Fractures in Iceland. PMID: 26235824
- COL1A2 mutation is associated with atypical osteogenesis imperfect. PMID: 26471105
- analysis of COL1A2 (type I collagen) polymorphisms in the central-eastern Mediterranean Basin PMID: 26065693
- Severe osteogenesis imperfecta caused by double glycine substitutions near the amino-terminal triple helical region in COL1A2. PMID: 25858481
- These data indicate a novel functional role of AnxA2 in the negative post-transcriptional regulation of type I collagen synthesis in human fibroblasts. PMID: 25290763
- The novel c.946G>T/p.G316C mutation in COL1A2 gene is associated with with osteogenesis imperfecta type I. PMID: 25608812
- Extracellular matrix proteins expression profiling in chemoresistant variants of the A2780 ovarian cancer cell line. PMID: 24804215
- Data indicate that the IL-33/ST2 protein pathway may promote airway remodeling in asthma through activating HLF-1 fibroblast to over-express fibronectin 1 (FN1) and type 1 collagen (Col1). PMID: 25200162
- The COL1A2 gene is associated with intracranial aneurysms in a subset of the German population, but it is not responsible for the majority of aneurysms. PMID: 23800505
- these results indicate that under quiescent conditions Fli1 recruits HDAC1/p300 to the COL1A2 promoter and suppresses the expression of the COL1A2 gene by chromatin remodeling through histone deacetylation. PMID: 24058639
- this study highlights an essential role for Sin3B in IFN-c induced COL1A2 repression in smooth muscle cells. PMID: 24709079
- Missense or nonsense mutations in COL1A2 were identified in 2 unrelated patients with osteigenesis imperfecta. PMID: 24140640
- Expression of COL1A2 mRNA encoding key fibrotic extracellular matrix molecules was down-regulated by pre-miRNA-29b. PMID: 24641356
- Increased degradation of collagen type I was observed in the supernatant of KFs expressing siTIMP-1, but not siTIMP-2, with the suppression of cell viability and induction of apoptosis. PMID: 24042342
- Data suggest that common genetic variations in COL1A2 may influence chronic venous insufficiency risk, possibly through microRNA-382-mediated regulation. PMID: 23849651
- Family study of missense mutation of c.2279G>A, Gly760Glu in exon 37 of COL1A2 causing familial osteogenesis imperfecta type IV. PMID: 23548243
- We conclude that the COL1A2 rs42524 polymorphism could be a genetic risk factor for primary intracerebral hemorrhage among Han Chinese. PMID: 23036172
- A spontaneous novel mutation in COL1A2 (c.1171G>A; p.Gly391Ser) causing only dentin defects and a novel mutation in PAX9 (c.43T>A; p.Phe15Ile) causing hypodontia were identified and correlated with the phenotypic presentations in the family. PMID: 23227268
- these data have identified as novel pathway whereby SIRT1 maintains COL1A2 synthesis in SMCs by modulating RFX5 activity. PMID: 23079621
- found no evidence supporting the putative link of COL1A2 alleles with otosclerosis. PMID: 22130917
- Scleraxis thus appears to play a key role in the transcriptional regulation of type I collagen synthesis. PMID: 22796342
- The rs42524 polymorphism in COL1A2 is a risk allele for neovascular age-related macular degeneration (nAMD) in a Han Chinese population. PMID: 22815632
- Data suggest that the Collagen alpha2 (I) (COL1A2) gene may play a role in the tumorigenesis of head and neck squamous cell carcinoma (HNSCC) and may serve as an important biomarker. PMID: 22674299
- TGF-beta stimulation upregulated type I collagen expression via miR-196a downregulation in normal fibroblasts. Cotransfection of the 196a protector blocked the miR-196a inhibitor-mediated upregulation of a2(I) collagen. PMID: 22379029
- Matrix-mediated downregulation of type I alpha 2 collagen occurs zia an Sp1 transcription factor Pathway PMID: 22131293
- transcript levels of UCHL1, COL1A2, THBS1 and TNFRSF10D were inversely correlated with promoter methylation PMID: 22028813
- MRTF-A is an important regulator of collagen synthesis in lung fibroblasts and exhibits a dependence on both SRF and Sp1 function to enhance collagen expression PMID: 22049076
- The patient with COL1A2 Ala1119Thr mutation has mild osteogenesis imperfecta. PMID: 21344539
- This study identifies two novel mutations p.G1102A and p.Y1117C that cause osteogenesis imperfecta PMID: 21530898
- Genetic variation within the COL1A2 gene is associated with increased risk of hepatocellular carcinoma in a Chinese population. PMID: 21665180
- COL10A2 is upregulated in gastric adenocarcinoma and is associated with tumor progression. PMID: 21443102
顯示更多
收起更多
-
相關疾病:Ehlers-Danlos syndrome 7B (EDS7B); Osteogenesis imperfecta 1 (OI1); Osteogenesis imperfecta 2 (OI2); Ehlers-Danlos syndrome, autosomal recessive, cardiac valvular form (EDSCV); Osteogenesis imperfecta 3 (OI3); Osteogenesis imperfecta 4 (OI4)
-
亞細胞定位:Secreted, extracellular space, extracellular matrix.
-
蛋白家族:Fibrillar collagen family
-
組織特異性:Forms the fibrils of tendon, ligaments and bones. In bones the fibrils are mineralized with calcium hydroxyapatite.
-
數據庫鏈接:
Most popular with customers
-
-
Phospho-YAP1 (S127) Recombinant Monoclonal Antibody
Applications: ELISA, WB, IHC
Species Reactivity: Human
-
-
-
-
-
-















