COL11A1 Antibody
-
中文名稱:COL11A1兔多克隆抗體
-
貨號:CSB-PA005716LA01HU
-
規格:¥440
-
圖片:
-
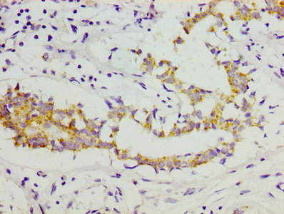
IHC image of CSB-PA005716LA01HU diluted at 1:300 and staining in paraffin-embedded human breast cancer performed on a Leica BondTM system. After dewaxing and hydration, antigen retrieval was mediated by high pressure in a citrate buffer (pH 6.0). Section was blocked with 10% normal goat serum 30min at RT. Then primary antibody (1% BSA) was incubated at 4°C overnight. The primary is detected by a biotinylated secondary antibody and visualized using an HRP conjugated SP system.
-
-
其他:
產品詳情
-
產品名稱:Rabbit anti-Homo sapiens (Human) COL11A1 Polyclonal antibody
-
Uniprot No.:
-
基因名:
-
別名:COBA1_HUMAN antibody; COL11A1 antibody; COLL6 antibody; Collagen alpha 1 antibody; Collagen alpha-1(XI) chain antibody; collagen XI alpha 1 antibody; collagen XI; alpha 1 polypeptide antibody; collagen; type XI; alpha 1 antibody; STL2 antibody; STL3 antibody; XI chain precursor antibody
-
宿主:Rabbit
-
反應種屬:Human
-
免疫原:Recombinant Human Collagen alpha-1(XI) chain protein (532-699AA)
-
免疫原種屬:Homo sapiens (Human)
-
標記方式:Non-conjugated
本頁面中的產品,COL11A1 Antibody (CSB-PA005716LA01HU),的標記方式是Non-conjugated。對于COL11A1 Antibody,我們還提供其他標記。見下表:
-
克隆類型:Polyclonal
-
抗體亞型:IgG
-
純化方式:>95%, Protein G purified
-
濃度:It differs from different batches. Please contact us to confirm it.
-
保存緩沖液:Preservative: 0.03% Proclin 300
Constituents: 50% Glycerol, 0.01M PBS, PH 7.4 -
產品提供形式:Liquid
-
應用范圍:ELISA, IHC
-
推薦稀釋比:
Application Recommended Dilution IHC 1:200-1:500 -
Protocols:
-
儲存條件:Upon receipt, store at -20°C or -80°C. Avoid repeated freeze.
-
貨期:Basically, we can dispatch the products out in 1-3 working days after receiving your orders. Delivery time maybe differs from different purchasing way or location, please kindly consult your local distributors for specific delivery time.
-
用途:For Research Use Only. Not for use in diagnostic or therapeutic procedures.
相關產品
靶點詳情
-
功能:May play an important role in fibrillogenesis by controlling lateral growth of collagen II fibrils.
-
基因功能參考文獻:
- results suggested that common polymorphisms in these two candidate genes were unlikely to play major roles in the genetic susceptibility to HM. Nevertheless, to avoid filtering real myopia genes, the role of COL11A1 and COL18A1 in the pathogenesis of myopia requires more refinement in both animal models and human genetic epidemiological studies PMID: 29781737
- These results showed that the frequency distribution of genotypes of the rs2229783 polymorphism in COL11A1 was significantly different between the Kashin-Beck Disease (KBD) and control groups; the expression level of COL11A in cartilage was significantly lower in the KBD group, but no association was found between the rs2229783 and the severity of KBD. PMID: 29773097
- We confirmed that the rs1676486 of COL11A may be functionally associated with lumbar disc herniation (LDH) in the Chinese population. Extracellular matrix related proteins may play an important role in the pathogenesis of LDH. Our findings shed light on a better understanding of the pathogenesis of LDH, which could be a promising target for a novel treatment modality of LDH. PMID: 29321344
- Study found one gene significantly associated when looking for associations between multiple common and rare variants with pneumococcal meningitis susceptibility, namely the COL11A1 gene. PMID: 27389768
- The SNPs rs1337185 in COL11A1 and rs162509 in ADAMTS5 are associated with susceptibility to lumbar disc degeneration. The C allele of rs1337185 is risky for patients who are affected by lumbar pathologies such as disc herniation, stenosis and spondylolisthesis. The G allele of rs16250 represents a risk factor for the development of disc herniation. PMID: 28583914
- Chondrogenic potential was higher and Wnt/beta-catenin signaling was more potently activated by a GSK-3beta inhibitor in the posterior than in the anterior part of the human infant sclera. PMID: 27336854
- genetic variants of COL11A1 contribute to adult height in Chinese Han population but not to children height PMID: 27614704
- proCOL11A1, fibroblast-activated protein, secreted protein acidic and rich in cysteine, and periostin expression was significantly increased in the intratumoral stroma of pancreatic ductal adenocarcinomas compared to paired non-neoplastic pancreata PMID: 29025374
- we demonstrate how COL11A1 regulates twist family basic helix-loop-helix transcription factor 1-related protein 1 (TWIST1) to induce chemoresistance and inhibit apoptosis in ovarian cancer cells PMID: 28815582
- the racial differences of COL11A1 were consistent across multiple molecular levels, with higher mutation frequency, higher methylation, and lower expression in White patients. This indicated that COL11A1 might play important roles in ESCC, especially in White population. Additional studies are needed to further explore their functions in esophageal cancer PMID: 28393072
- Investigated genetic variants in COL11A1 predisposing to primary hip OA in Han Chinese individuals.Two SNPs (rs1241164 and rs4907986) were found to be significantly associated with hip OA risk (adjusted p = 0.000731 and 0.000477). An increased risk of OA was associated with possession of the C allele of rs1241164 and the T allele of rs4907986. PMID: 27936936
- COL11A1 antibody can assist in distinguishing the cancer-associated desmoplastic stroma from that associated with misplaced adenomatous mucosa. It is particularly helpful when electrocautery artifacts or mucin pools interfere with the diagnosis of invasive carcinoma. However, COL11A1 has limited value in diagnosing superfically invasive carcinomas with very little desmoplastic stroma. PMID: 27021528
- COL11A1 is overexpressed in gastric cancer tissues and regulates cell proliferation and migration. PMID: 28004111
- COL11A1 may sever as a biomarker for metastatic NSCLC. PMID: 27373316
- Familial linkage studies for primary angle-closure glaucoma have been performed and identified MYOC causative primary angle-open-glaucoma disease PMID: 26497787
- No significant association of PLEKHA7 rs11024102, COL11A1 rs3753841 and PCMTD1-ST18 rs1015213 with primary angle closure glaucoma was found among ethnic Han Chinese from Sichuan PMID: 27455018
- Analysis of 104 epithelial ovarian carcinoma patients showed that high COL11A1 mRNA levels are significantly associated with poor chemoresponse and clinical outcome. PMID: 26087191
- These data suggest that pro-COL11A1 expression is a highly sensitive biomarker to predict malignant relapse of intraductal papilloma. PMID: 26448946
- This meta-analysis suggests that PLEKHA7 rs11024102 is associated with PACG (primary angle closure glaucoma) in Asian population and COL11A1 rs3753841 has a genetic association with the development of PACG both in Caucasian and Asian populations. PMID: 25732101
- High Col11A1 mRNA expression is associated with Adenocarcinoma of the Papilla of Vater and Pancreas Carcinoma. PMID: 26504042
- Expanded spectrum of mutations in the COL11A1 and COL11A2 genes in Stickler syndrome. PMID: 25240749
- COL11A1 expression is a promising marker of invasive breast lesions, and may be included in immunohistochemical panels aiming at identifying infiltration in problematic breast lesions. PMID: 25175819
- The immunodetection of procollagen 11A1 in cancer-associated stromal cells could be a useful biomarker for human colon adenocarcinoma characterisation. PMID: 25417197
- COL11A1/(pro)collagen 11A1 expression is a remarkable biomarker of human carcinoma-associated stromal cells and carcinoma progression. PMID: 25761876
- These cases highlight both a novel dominant COL11A1 mutation causing a significant skeletal dysplasia. PMID: 25091507
- Studies indicate that collagen type XI alpha 1 (colXIalpha1) is overexpressed at mRNA and protein levels in many cancer types. PMID: 25511741
- proCOL11A1 is a specific marker for pancreatic cancer-associated fibroblasts, and thus, anti-proCOL11A1 is a powerful new tool for cancer research and clinical diagnostics. PMID: 24194920
- The study demonstrates that some mutations in COL11A1 are recessive, modified by alternative splicing and result in type 2 Stickler syndrome rather than fibrochondrogenesis. PMID: 23922384
- COL11A1 may promote tumor aggressiveness via the TGF-beta1-MMP3 axis and COL11A1 expression can predict clinical outcome in ovarian cancer patients. PMID: 23934190
- Our study suggests that rs1676486 and rs12138977 in COL11A1 as well as rs216489 and rs11024102 in PLEKHA7 are associated with an increased risk of PAC/PACG in the Han Chinese population PMID: 24854855
- Some studies have shown the association between gene COL11A1 polymorphism c.4603C>T and intervertebral disc disease--{review} PMID: 24636772
- The three genetic susceptibility loci for primary angle-closure glaucoma did not underlie any major phenotypic diversity in terms of disease severity or progression. PMID: 24474268
- Axial length, anterior chamber depth and keratometry were not associated with rs3753841 or rs11024102 genotypes including after adjusting for age and sex. PMID: 23505305
- COL11A1 allelic imbalance is common in osteoarthritis but is not a risk factor for osteoarthritis. PMID: 23497244
- a TT genotype of COL11A1 polymorphism may be a significant risk factor for limbus vertebra in Japanese collegiate gymnasts. PMID: 22510797
- our data shall improve the overall understanding of fibrochondrogenesis especially in surviving homozygous patients and, at least partly, explain the phenotypic variability associated with COL11A1 gene mutations. PMID: 21668896
- study reports the first evidence that adds COL11A1 defect as a cause of Marshall syndrome with a recessive mode of inheritance PMID: 22499343
- variants detected in COL11A1 in patients with Stickler syndrome PMID: 22189268
- Characterize mouse monoclonal antibody specific for human procollagen 11A1 and report its use for immunohistochemistry in human breast tumor tissue. PMID: 22322826
- Common polymorphisms in four candidate genes (COL11A1, COL18A1, FBN1 and PLOD1) were unlikely to play important roles in the genetic susceptibility to high myopia. PMID: 21527992
- These findings identify COL11A1 as a locus for fibrochondrogenesis and indicate that there might be phenotypic manifestations among carriers. PMID: 21035103
- Study identified 57 novel mutations including missense changes in both COL2A1 and COL11A1. PMID: 20513134
- A statistically significant difference has been found in COL11A1 expression between normal tissue and adenomas from a familial adenomatous polyposis patient, and all adenomas give evidence of an active adenomatous polyposis coli/beta-catenin pathway. PMID: 11707154
- sequence variations in these genes can play a role in the etiology of Robin sequence, cleft palate and micrognathia but are not common causes of these phenotypes. PMID: 12673280
- CBF/NF-Y proteins regulate the transcription of COL11A1 by directly binding to the ATTGG sequence in the proximal promoter region PMID: 12805369
- Six pedigrees with type 2 Stickler syndrome with mutations in COL11A1. PMID: 15286167
- Heterozygous COL11A1 mutations were found in 10 individuals with Stickler or Marshall syndromes. PMID: 17236192
- Type XI collagen is critical for intervertbral dis metabolism and its decrease is related to lumbar disc herniation. PMID: 17999364
- This study is the first to show that collagen XI is present in the Golgi apparatus of normal human colon goblet cells and localizes collagen XI in both normal and malignant tissue. PMID: 18040076
- The data above suggest that focal adhesion pathway may have a role in the pathogenesis of gastric cancer, and the expression profile of collagen genes may be a potential biomarker to distinguish malignant from premalignant lesions in stomach PMID: 19306436
顯示更多
收起更多
-
相關疾病:Stickler syndrome 2 (STL2); Marshall syndrome (MRSHS); Fibrochondrogenesis 1 (FBCG1)
-
亞細胞定位:Secreted, extracellular space, extracellular matrix.
-
蛋白家族:Fibrillar collagen family
-
組織特異性:Cartilage, placenta and some tumor or virally transformed cell lines. Isoforms using exon IIA or IIB are found in the cartilage while isoforms using only exon IIB are found in the tendon.
-
數據庫鏈接:
Most popular with customers
-
-
YWHAB Recombinant Monoclonal Antibody
Applications: ELISA, WB, IHC, IF, FC
Species Reactivity: Human, Mouse, Rat
-
Phospho-YAP1 (S127) Recombinant Monoclonal Antibody
Applications: ELISA, WB, IHC
Species Reactivity: Human
-
-
-
-
-















