COG7 Antibody
-
中文名稱:COG7兔多克隆抗體
-
貨號:CSB-PA005711ESR1HU
-
規格:¥440
-
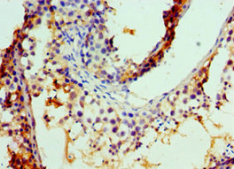
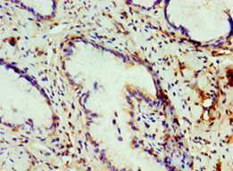
圖片:
-
其他:
產品詳情
-
產品名稱:Rabbit anti-Homo sapiens (Human) COG7 Polyclonal antibody
-
Uniprot No.:
-
基因名:COG7
-
別名:CDG2E antibody; COG complex subunit 7 antibody; cog7 antibody; COG7_HUMAN antibody; Component of oligomeric Golgi complex 7 antibody; Conserved oligomeric Golgi complex component 7 antibody; Conserved oligomeric Golgi complex subunit 7 antibody
-
宿主:Rabbit
-
反應種屬:Human
-
免疫原:Recombinant Human Conserved oligomeric Golgi complex subunit 7 protein (511-770AA)
-
免疫原種屬:Homo sapiens (Human)
-
標記方式:Non-conjugated
-
克隆類型:Polyclonal
-
抗體亞型:IgG
-
純化方式:Antigen Affinity Purified
-
濃度:It differs from different batches. Please contact us to confirm it.
-
保存緩沖液:PBS with 0.02% sodium azide, 50% glycerol, pH7.3.
-
產品提供形式:Liquid
-
應用范圍:ELISA, IHC
-
推薦稀釋比:
Application Recommended Dilution IHC 1:20-1:200 -
Protocols:
-
儲存條件:Upon receipt, store at -20°C or -80°C. Avoid repeated freeze.
-
貨期:Basically, we can dispatch the products out in 1-3 working days after receiving your orders. Delivery time maybe differs from different purchasing way or location, please kindly consult your local distributors for specific delivery time.
-
用途:For Research Use Only. Not for use in diagnostic or therapeutic procedures.
相關產品
靶點詳情
-
功能:Required for normal Golgi function.
-
基因功能參考文獻:
- Cog5-Cog7 crystal structure reveals interactions essential for the function of a multisubunit tethering complex. PMID: 25331899
- COG5- and COG7 subunits play distinctive roles in controlling Golgi structure and function PMID: 16051600
- Retrograde transport of multiple Golgi proteins to the ER in COG-7-deficient patient fibroblasts via brefeldin A-induced tubules was significantly slower than occurs in normal fibroblasts. PMID: 16510524
- A homozygous, intronic splice site mutation (c.169+4A>C) of the COG7 gene was identified in 3 patients with Congenital Disorder of Glycosylation type IIe. PMID: 17356545
- A new mutation in COG7 extends the spectrum of COG subunit deficiencies. PMID: 19577670
顯示更多
收起更多
-
相關疾病:Congenital disorder of glycosylation 2E (CDG2E)
-
亞細胞定位:Golgi apparatus membrane; Peripheral membrane protein.
-
蛋白家族:COG7 family
-
數據庫鏈接:
Most popular with customers
-
-
YWHAB Recombinant Monoclonal Antibody
Applications: ELISA, WB, IHC, IF, FC
Species Reactivity: Human, Mouse, Rat
-
Phospho-YAP1 (S127) Recombinant Monoclonal Antibody
Applications: ELISA, WB, IHC
Species Reactivity: Human
-
-
-
-
-















