COG5 Antibody
-
中文名稱:COG5兔多克隆抗體
-
貨號:CSB-PA890771ESR1HU
-
規格:¥440
-
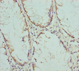
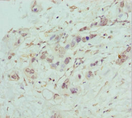
圖片:
-
其他:
產品詳情
-
產品名稱:Rabbit anti-Homo sapiens (Human) COG5 Polyclonal antibody
-
Uniprot No.:
-
基因名:COG5
-
別名:COG5 antibody; GOLTC1 antibody; GTC90Conserved oligomeric Golgi complex subunit 5 antibody; COG complex subunit 5 antibody; 13S Golgi transport complex 90 kDa subunit antibody; GTC-90 antibody; Component of oligomeric Golgi complex 5 antibody; Golgi transport complex 1 antibody
-
宿主:Rabbit
-
反應種屬:Human
-
免疫原:Recombinant Human Conserved oligomeric Golgi complex subunit 5 protein (1-260AA)
-
免疫原種屬:Homo sapiens (Human)
-
標記方式:Non-conjugated
-
克隆類型:Polyclonal
-
抗體亞型:IgG
-
純化方式:Antigen Affinity Purified
-
濃度:It differs from different batches. Please contact us to confirm it.
-
保存緩沖液:PBS with 0.02% sodium azide, 50% glycerol, pH7.3.
-
產品提供形式:Liquid
-
應用范圍:ELISA, IHC
-
推薦稀釋比:
Application Recommended Dilution IHC 1:20-1:200 -
Protocols:
-
儲存條件:Upon receipt, store at -20°C or -80°C. Avoid repeated freeze.
-
貨期:Basically, we can dispatch the products out in 1-3 working days after receiving your orders. Delivery time maybe differs from different purchasing way or location, please kindly consult your local distributors for specific delivery time.
-
用途:For Research Use Only. Not for use in diagnostic or therapeutic procedures.
相關產品
靶點詳情
-
功能:Required for normal Golgi function.
-
基因功能參考文獻:
- Targeted silencing of components of lobe B of the COG complex, namely COG5, COG6, COG7 and COG8, inhibited HIV-1 replication PMID: 25179963
- Cog5-Cog7 crystal structure reveals interactions essential for the function of a multisubunit tethering complex. PMID: 25331899
- In conclusion, we find that GDF5, but not COG5 or MCF2L, influence the extent of radiographic damage in knee osteoarthritis PMID: 22615457
- Report on a uterine leiomyoma with a novel HMGA2 fusion gene in a 44-year-old woman. PMID: 20804914
- Sec34 is implicated in traffic from the endoplasmic reticulum to the Golgi and exists in a complex with GTC-90 and ldlBp PMID: 11929878
- COG5- and COG7 subunits play distinctive roles in controlling Golgi structure and function PMID: 16051600
顯示更多
收起更多
-
相關疾?。?/div>Congenital disorder of glycosylation 2I (CDG2I)亞細胞定位:Cytoplasm, cytosol. Golgi apparatus membrane; Peripheral membrane protein.蛋白家族:COG5 family數據庫鏈接:
Most popular with customers
-
-
YWHAB Recombinant Monoclonal Antibody
Applications: ELISA, WB, IHC, IF, FC
Species Reactivity: Human, Mouse, Rat
-
Phospho-YAP1 (S127) Recombinant Monoclonal Antibody
Applications: ELISA, WB, IHC
Species Reactivity: Human
-
-
-
-
-















