COG1 Antibody
-
中文名稱:COG1兔多克隆抗體
-
貨號:CSB-PA783442
-
規格:¥1100
-
圖片:
-
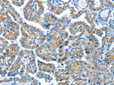
The image on the left is immunohistochemistry of paraffin-embedded Human thyroid cancer tissue using CSB-PA783442(COG1 Antibody) at dilution 1/60, on the right is treated with synthetic peptide. (Original magnification: ×200)
-
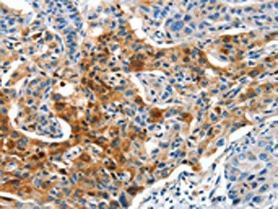
The image on the left is immunohistochemistry of paraffin-embedded Human lung cancer tissue using CSB-PA783442(COG1 Antibody) at dilution 1/60, on the right is treated with synthetic peptide. (Original magnification: ×200)
-
-
其他:
產品詳情
-
Uniprot No.:
-
基因名:COG1
-
別名:COG1 antibody; KIAA1381 antibody; LDLBConserved oligomeric Golgi complex subunit 1 antibody; COG complex subunit 1 antibody; Component of oligomeric Golgi complex 1 antibody
-
宿主:Rabbit
-
反應種屬:Human
-
免疫原:Synthetic peptide of Human COG1
-
免疫原種屬:Homo sapiens (Human)
-
標記方式:Non-conjugated
-
抗體亞型:IgG
-
純化方式:Antigen affinity purification
-
濃度:It differs from different batches. Please contact us to confirm it.
-
保存緩沖液:-20°C, pH7.4 PBS, 0.05% NaN3, 40% Glycerol
-
產品提供形式:Liquid
-
應用范圍:ELISA,IHC
-
推薦稀釋比:
Application Recommended Dilution ELISA 1:1000-1:5000 IHC 1:50-1:200 -
Protocols:
-
儲存條件:Upon receipt, store at -20°C or -80°C. Avoid repeated freeze.
-
貨期:Basically, we can dispatch the products out in 1-3 working days after receiving your orders. Delivery time maybe differs from different purchasing way or location, please kindly consult your local distributors for specific delivery time.
-
用途:For Research Use Only. Not for use in diagnostic or therapeutic procedures.
相關產品
靶點詳情
-
功能:Required for normal Golgi function.
-
基因功能參考文獻:
- This study reports a novel set of Dengue virus (DENV) NS1-interacting host cell proteins in the HepG2 cell line and proposes possible roles for human NEK2, TAO1, and COG1 in DENV infection. PMID: 27108190
- Chronic renal patients with more atherogenic lipoprotein LDL B phenotype are in advanced state of oxidative stress compared with control subjects. PMID: 27412679
- Sec34 is implicated in traffic from the endoplasmic reticulum to the Golgi and exists in a complex with GTC-90 and ldlBp PMID: 11929878
- These findings support the proposal that COG is directly involved in controlling vesicular retrograde transport of Golgi resident proteins throughout the Golgi apparatus. PMID: 16857184
- A novel mutation in COG1 was found in two patients with a cerebrocostomandibular-like syndrome. PMID: 19008299
顯示更多
收起更多
-
相關疾病:Congenital disorder of glycosylation 2G (CDG2G)
-
亞細胞定位:Golgi apparatus membrane; Peripheral membrane protein; Cytoplasmic side.
-
蛋白家族:COG1 family
-
數據庫鏈接:
Most popular with customers
-
-
Phospho-YAP1 (S127) Recombinant Monoclonal Antibody
Applications: ELISA, WB, IHC
Species Reactivity: Human
-
-
-
-
-
-















