CNNM4 Antibody
-
中文名稱:CNNM4兔多克隆抗體
-
貨號:CSB-PA764727LA01HU
-
規格:¥440
-
圖片:
-
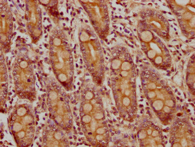
IHC image of CSB-PA764727LA01HU diluted at 1:300 and staining in paraffin-embedded human small intestine tissue performed on a Leica BondTM system. After dewaxing and hydration, antigen retrieval was mediated by high pressure in a citrate buffer (pH 6.0). Section was blocked with 10% normal goat serum 30min at RT. Then primary antibody (1% BSA) was incubated at 4°C overnight. The primary is detected by a biotinylated secondary antibody and visualized using an HRP conjugated SP system.
-
Immunofluorescence staining of Hela cells with CSB-PA764727LA01HU at 1:100, counter-stained with DAPI. The cells were fixed in 4% formaldehyde, permeabilized using 0.2% Triton X-100 and blocked in 10% normal Goat Serum. The cells were then incubated with the antibody overnight at 4°C. The secondary antibody was Alexa Fluor 488-congugated AffiniPure Goat Anti-Rabbit IgG(H+L).
-
-
其他:
產品詳情
-
產品名稱:Rabbit anti-Homo sapiens (Human) CNNM4 Polyclonal antibody
-
Uniprot No.:
-
基因名:CNNM4
-
別名:CNNM4; ACDP4; KIAA1592; Metal transporter CNNM4; Ancient conserved domain-containing protein 4; Cyclin-M4
-
宿主:Rabbit
-
反應種屬:Human
-
免疫原:Recombinant Human Metal transporter CNNM4 protein (589-691AA)
-
免疫原種屬:Homo sapiens (Human)
-
標記方式:Non-conjugated
本頁面中的產品,CNNM4 Antibody (CSB-PA764727LA01HU),的標記方式是Non-conjugated。對于CNNM4 Antibody,我們還提供其他標記。見下表:
-
克隆類型:Polyclonal
-
抗體亞型:IgG
-
純化方式:>95%, Protein G purified
-
濃度:It differs from different batches. Please contact us to confirm it.
-
保存緩沖液:Preservative: 0.03% Proclin 300
Constituents: 50% Glycerol, 0.01M PBS, pH 7.4 -
產品提供形式:Liquid
-
應用范圍:ELISA, IHC, IF
-
推薦稀釋比:
Application Recommended Dilution IHC 1:200-1:500 IF 1:50-1:200 -
Protocols:
-
儲存條件:Upon receipt, store at -20°C or -80°C. Avoid repeated freeze.
-
貨期:Basically, we can dispatch the products out in 1-3 working days after receiving your orders. Delivery time maybe differs from different purchasing way or location, please kindly consult your local distributors for specific delivery time.
-
用途:For Research Use Only. Not for use in diagnostic or therapeutic procedures.
相關產品
靶點詳情
-
功能:Probable metal transporter. The interaction with the metal ion chaperone COX11 suggests that it may play a role in sensory neuron functions. May play a role in biomineralization and retinal function.
-
基因功能參考文獻:
- Jalili Syndrome is a rare cone-rod dystrophy (CORD) and amelogenesis imperfecta (AI), We have further characterized its ocular phenotype, including describing SD-OCT, FAF, and electrophysiological features; and report several novel disease-causing sequence variants. PMID: 29421294
- Here, we report the 2 first families with Jalili Syndrome in Brazil. Molecular analysis of the first family identified a previously described homozygous mutation (p.Leu324Pro) in exon 1 of CNNM4 gene. In the second family, affected patients demonstrated a compound heterozygous mutation in CNNM4, the p.Leu324Pro and the novel nonsense mutation p.Tyr581*. PMID: 29421602
- Results identified linkage at chromosome 2p14-2q14 and found a homozygous mutation in the CNNM4 gene (p.R605X) causing Jalili syndrome. The truncated CNNM4 protein starting at R605 significantly increased the rate of apoptosis, and significantly increased the interaction between CNNM4 and IQCB1. This mutation may cause Jalili syndrome by a nonsense-mediated decay mechanism, affecting the function of IQCB1 and apoptosis. PMID: 29322253
- Mutational analysis showed in all three brothers a novel likely pathogenic homozygous missense substitution in exon 1 (c.1076T>C, p.(Leu359Pro)) of CNNM4. Both parents were carriers for the variant. PMID: 28586144
- We describe three siblings with clinical features of Jalili syndrome with a homozygous missense mutation in exon 4 of CNNM4, c.1781A>G (p.N594S). PMID: 27070327
- These results suggest a new role of CNNM4 in sperm Ca(2+) homeostasis. PMID: 27006114
- We identified a novel homozygous deleterious mutation in CNNM4 gene which causes Jalili syndrome. PMID: 27419834
- used Sanger sequencing to analyze a large consanguineous family with three siblings affected with Jalili syndrome, suspected clinically after dental and ophthalmological examination. These patients are carrying a novel homozygous mutation in the splice site acceptor of intron 3 (c.1682-1G > C) in the CNNM4 gene PMID: 28246031
- these results indicate that CNNM4-dependent Mg(2+) efflux suppresses tumor progression by regulating energy metabolism. PMID: 25347473
- The c.1312 dupC mutation of CNNM4 leads to a premature termination of amelogenesis resulting in thin, incompletely mineralized enamel, whereas in dentin, only mineralization is disturbed. PMID: 24194943
- CNNM4 is sorted to the basolateral membrane by the complementary function of AP-1A and AP-1B PMID: 25449265
- Data indicate that a mutation in the cystathionine-beta-synthase (CBS) domains of ancient conserved domain protein 4/cyclin M4 CNNM4 completely abrogated their Mg2+ efflux functions. PMID: 24706765
- These results demonstrate the crucial importance of Mg(2+) extrusion by CNNM4 in organismal and topical regulation of magnesium. PMID: 24339795
- Our case shows a unique combination of NF1 and Jalili syndrome; clinical examination, but also of molecular genetic analysis, which together provide a precise diagnosis. PMID: 21728811
- This work describes the purification and preliminary crystallographic analysis of the CBS-pair regulatory domain of the human ancient domain protein 4 (ACDP4), also known as CNNM4. PMID: 21393841
- Identification of CNNM4 as the causative gene for Jalili syndrome, characterized by autosomal-recessive cone-rod dystrophy and amelogenesis imperfecta. PMID: 19200525
- Since CNNM4 is implicated in metal ion transport, cone-rod dystrophy and amelogenesis imperfecta may originate from abnormal ion homeostasis. PMID: 19200527
顯示更多
收起更多
-
相關疾病:Jalili syndrome (JALIS)
-
亞細胞定位:Cell membrane; Multi-pass membrane protein.
-
蛋白家族:ACDP family
-
組織特異性:Widely expressed. Highly expressed in heart.
-
數據庫鏈接:
Most popular with customers
-
YWHAB Recombinant Monoclonal Antibody
Applications: ELISA, WB, IHC, IF, FC
Species Reactivity: Human, Mouse, Rat
-
Phospho-YAP1 (S127) Recombinant Monoclonal Antibody
Applications: ELISA, WB, IHC
Species Reactivity: Human
-
-
-
-
-
-















