CNNM2 Antibody
-
中文名稱:CNNM2兔多克隆抗體
-
貨號:CSB-PA872518LA01HU
-
規格:¥440
-
圖片:
-
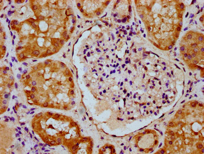
IHC image of CSB-PA872518LA01HU diluted at 1:300 and staining in paraffin-embedded human kidney tissue performed on a Leica BondTM system. After dewaxing and hydration, antigen retrieval was mediated by high pressure in a citrate buffer (pH 6.0). Section was blocked with 10% normal goat serum 30min at RT. Then primary antibody (1% BSA) was incubated at 4°C overnight. The primary is detected by a biotinylated secondary antibody and visualized using an HRP conjugated SP system.
-
Immunofluorescence staining of HepG2 cells with CSB-PA872518LA01HU at 1:100, counter-stained with DAPI. The cells were fixed in 4% formaldehyde, permeabilized using 0.2% Triton X-100 and blocked in 10% normal Goat Serum. The cells were then incubated with the antibody overnight at 4°C. The secondary antibody was Alexa Fluor 488-congugated AffiniPure Goat Anti-Rabbit IgG(H+L).
-
-
其他:
產品詳情
-
產品名稱:Rabbit anti-Homo sapiens (Human) CNNM2 Polyclonal antibody
-
Uniprot No.:
-
基因名:CNNM2
-
別名:ACDP2 antibody; Ancient conserved domain containing protein 2 antibody; Ancient conserved domain protein 2 antibody; Ancient conserved domain-containing protein 2 antibody; CNNM 2 antibody; CNNM2 antibody; CNNM2_HUMAN antibody; Cyclin M2 antibody; Cyclin-M2 antibody; Metal transporter CNNM2 antibody; OTTHUMP00000020387 antibody; OTTHUMP00000020388 antibody
-
宿主:Rabbit
-
反應種屬:Human
-
免疫原:Recombinant Human Metal transporter CNNM2 protein (739-875AA)
-
免疫原種屬:Homo sapiens (Human)
-
標記方式:Non-conjugated
本頁面中的產品,CNNM2 Antibody (CSB-PA872518LA01HU),的標記方式是Non-conjugated。對于CNNM2 Antibody,我們還提供其他標記。見下表:
-
克隆類型:Polyclonal
-
抗體亞型:IgG
-
純化方式:>95%, Protein G purified
-
濃度:It differs from different batches. Please contact us to confirm it.
-
保存緩沖液:Preservative: 0.03% Proclin 300
Constituents: 50% Glycerol, 0.01M PBS, pH 7.4 -
產品提供形式:Liquid
-
應用范圍:ELISA, IHC, IF
-
推薦稀釋比:
Application Recommended Dilution IHC 1:200-1:500 IF 1:50-1:200 -
Protocols:
-
儲存條件:Upon receipt, store at -20°C or -80°C. Avoid repeated freeze.
-
貨期:Basically, we can dispatch the products out in 1-3 working days after receiving your orders. Delivery time maybe differs from different purchasing way or location, please kindly consult your local distributors for specific delivery time.
-
用途:For Research Use Only. Not for use in diagnostic or therapeutic procedures.
相關產品
靶點詳情
-
功能:Divalent metal cation transporter. Mediates transport of divalent metal cations in an order of Mg(2+) > Co(2+) > Mn(2+) > Sr(2+) > Ba(2+) > Cu(2+) > Fe(2+).
-
基因功能參考文獻:
- CNNM2 single nucleotide polymorphisms association with the risk of hypertension in Chinese Han population. PMID: 30180964
- In this large-scale, Han Chinese population-based genetic association study for genetic susceptibility to schizophrenia of a three-gene cluster region, AS3MT-CNNM2-NT5C2, two SNPs with independent effects, rs11191419 and rs11191514, were identified. Rs11191419 is located on the 5' (potential promoter) region of AS3MT, while rs11191514 is located in one of the introns of CNNM2. PMID: 27401531
- this study implicates altered neural expression of BORCS7, AS3MT, and NT5C2 in susceptibility to schizophrenia arising from genetic variation at the chromosome 10q24 locus PMID: 27004590
- Sensitivity of CNNM2 expression to extracellular Mg(2+) depletion depends on cell type. PMID: 27068403
- meta-analysis of two Caucasian cohorts did not show an association between five aneurysm associated loci and sporadic brain Arteriovenous malformations. PMID: 25053769
- The T568I mutation causes the magnesium transporter, CNNM2, to become 'locked' in its flat form. PMID: 25184538
- Cells expressing mutated CNNM2 proteins did not show increased Mg(2+) uptake. PMID: 24699222
- This CNNM2 risk variant rs7914558 may have an impact on neural systems relevant to social cognition. PMID: 24311551
- Our findings suggest that the genetic variant in the CNNM2 gene could be implicated in the pathogenesis of schizophrenia through the gray matter volumetric vulnerability of the orbital regions in the inferior frontal gyri. PMID: 24160291
- crystals of CNNM2 belonged to space groups P2(1)2(1)2 and I222 (or I2(1)2(1)2(1)) and diffracted X-rays to 2.0 and 3.6 A resolution, respectively, using synchrotron radiation PMID: 23027747
- analysis of structure of CNNM2 and its post-translational modifications PMID: 22399287
- ACDP2 splice-variant 1 is a functional Mg2+-transporting entity per se. PMID: 20519162
- The CNNM2 locus is associated with serum Mg(2+) concentrations. PMID: 21397062
顯示更多
收起更多
-
相關疾病:Hypomagnesemia 6 (HOMG6); Hypomagnesemia, seizures, and mental retardation (HOMGSMR)
-
亞細胞定位:Cell membrane; Multi-pass membrane protein.
-
蛋白家族:ACDP family
-
組織特異性:Widely expressed. Expressed at higher level in brain, kidney and placenta, while it is weakly expressed in skeletal muscle. In the kidney, it is expressed in the distal convoluted tubule and the thick ascending limb of Henle loop.
-
數據庫鏈接:
Most popular with customers
-
-
YWHAB Recombinant Monoclonal Antibody
Applications: ELISA, WB, IHC, IF, FC
Species Reactivity: Human, Mouse, Rat
-
Phospho-YAP1 (S127) Recombinant Monoclonal Antibody
Applications: ELISA, WB, IHC
Species Reactivity: Human
-
-
-
-
-















