CNGA2 Antibody
-
中文名稱:CNGA2兔多克隆抗體
-
貨號:CSB-PA102646
-
規格:¥1100
-
圖片:
-
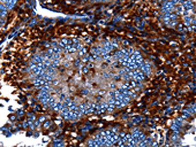
The image on the left is immunohistochemistry of paraffin-embedded Human cervical cancer tissue using CSB-PA102646(CNGA2 Antibody) at dilution 1/25, on the right is treated with fusion protein. (Original magnification: ×200)
-
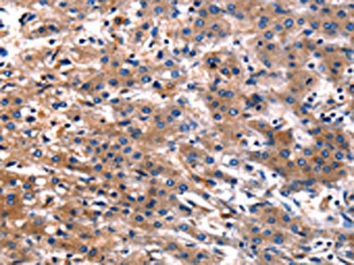
The image on the left is immunohistochemistry of paraffin-embedded Human liver cancer tissue using CSB-PA102646(CNGA2 Antibody) at dilution 1/25, on the right is treated with fusion protein. (Original magnification: ×200)
-
-
其他:
產品詳情
-
Uniprot No.:
-
基因名:
-
別名:CNCA antibody; CNCA1 antibody; CNCG2 antibody; CNG 2 antibody; CNG channel alpha 2 antibody; CNG channel alpha-2 antibody; CNG-2 antibody; CNG2 antibody; CNGA 2 antibody; Cnga2 antibody; CNGA2_HUMAN antibody; Cyclic nucleotide gated cation channel 2 antibody; Cyclic nucleotide gated channel alpha 2 antibody; Cyclic nucleotide gated olfactory channel antibody; Cyclic nucleotide-gated cation channel 2 antibody; Cyclic nucleotide-gated channel alpha-2 antibody; Cyclic nucleotide-gated olfactory channel antibody; FLJ46312 antibody; OCNC1 antibody; OCNCa antibody; OCNCALPHA antibody
-
宿主:Rabbit
-
反應種屬:Human,Mouse,Rat
-
免疫原:Fusion protein of Human CNGA2
-
免疫原種屬:Homo sapiens (Human)
-
標記方式:Non-conjugated
-
抗體亞型:IgG
-
純化方式:Antigen affinity purification
-
濃度:It differs from different batches. Please contact us to confirm it.
-
保存緩沖液:-20°C, pH7.4 PBS, 0.05% NaN3, 40% Glycerol
-
產品提供形式:Liquid
-
應用范圍:ELISA,IHC
-
推薦稀釋比:
Application Recommended Dilution ELISA 1:1000-1:5000 IHC 1:50-1:200 -
Protocols:
-
儲存條件:Upon receipt, store at -20°C or -80°C. Avoid repeated freeze.
-
貨期:Basically, we can dispatch the products out in 1-3 working days after receiving your orders. Delivery time maybe differs from different purchasing way or location, please kindly consult your local distributors for specific delivery time.
-
用途:For Research Use Only. Not for use in diagnostic or therapeutic procedures.
相關產品
靶點詳情
-
功能:Odorant signal transduction is probably mediated by a G-protein coupled cascade using cAMP as second messenger. The olfactory channel can be shown to be activated by cyclic nucleotides which leads to a depolarization of olfactory sensory neurons.
-
基因功能參考文獻:
- The studies findings provides strong support for role of CNGA2 gene with pathogenicity of isolated congenital anosmia in humans. Together, these results indicate that mutations in key olfactory signaling pathway genes are responsible for human disease. PMID: 28572688
- Identification of a novel X-linked stop mutation in CNGA2 (c.634C>T, p.R212*) in two brothers with isolated congenital anosmia. PMID: 25156905
- The results showed that it is predominantly the charge of the E342 residue in the P-loop, rather than the pore helix dipoles, which controls the cation-anion selectivity of the CNGA2 channel. PMID: 16533895
-
亞細胞定位:Membrane; Multi-pass membrane protein.
-
蛋白家族:Cyclic nucleotide-gated cation channel (TC 1.A.1.5) family, CNGA2 subfamily
-
數據庫鏈接:
Most popular with customers
-
-
YWHAB Recombinant Monoclonal Antibody
Applications: ELISA, WB, IHC, IF, FC
Species Reactivity: Human, Mouse, Rat
-
Phospho-YAP1 (S127) Recombinant Monoclonal Antibody
Applications: ELISA, WB, IHC
Species Reactivity: Human
-
-
-
-
-















