CLTC Antibody
-
中文名稱:CLTC兔多克隆抗體
-
貨號:CSB-PA005593LA01HU
-
規格:¥440
-
圖片:
-
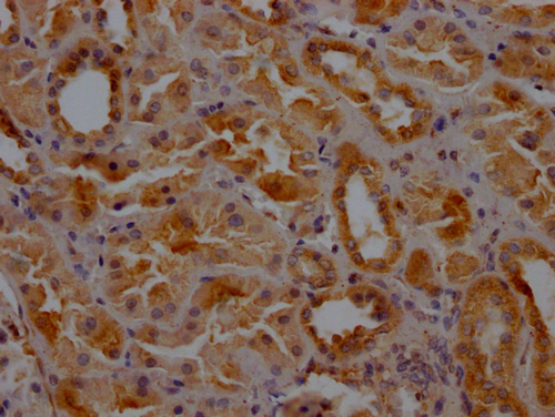
IHC image of CSB-PA005593LA01HU diluted at 1:200 and staining in paraffin-embedded human kidney tissue performed on a Leica BondTM system. After dewaxing and hydration, antigen retrieval was mediated by high pressure in a citrate buffer (pH 6.0). Section was blocked with 10% normal goat serum 30min at RT. Then primary antibody (1% BSA) was incubated at 4°C overnight. The primary is detected by a Goat anti-rabbit polymer IgG labeled by HRP and visualized using 0.05% DAB.
-
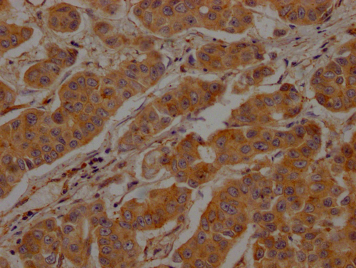
IHC image of CSB-PA005593LA01HU diluted at 1:200 and staining in paraffin-embedded human breast cancer performed on a Leica BondTM system. After dewaxing and hydration, antigen retrieval was mediated by high pressure in a citrate buffer (pH 6.0). Section was blocked with 10% normal goat serum 30min at RT. Then primary antibody (1% BSA) was incubated at 4°C overnight. The primary is detected by a Goat anti-rabbit polymer IgG labeled by HRP and visualized using 0.05% DAB.
-
-
其他:
產品詳情
-
產品名稱:Rabbit anti-Homo sapiens (Human) CLTC Polyclonal antibody
-
Uniprot No.:
-
基因名:
-
別名:Clathrin heavy chain 1 (Clathrin heavy chain on chromosome 17) (CLH-17), CLTC, CLH17 CLTCL2 KIAA0034
-
宿主:Rabbit
-
反應種屬:Human
-
免疫原:Recombinant Human Clathrin heavy chain 1 protein (851-990aa)
-
免疫原種屬:Homo sapiens (Human)
-
標記方式:Non-conjugated
本頁面中的產品,CLTC Antibody (CSB-PA005593LA01HU),的標記方式是Non-conjugated。對于CLTC Antibody,我們還提供其他標記。見下表:
-
克隆類型:Polyclonal
-
抗體亞型:IgG
-
純化方式:>95%, Protein G purified
-
濃度:It differs from different batches. Please contact us to confirm it.
-
保存緩沖液:Preservative: 0.03% Proclin 300
Constituents: 50% Glycerol, 0.01M PBS, pH 7.4 -
產品提供形式:Liquid
-
應用范圍:ELISA, IHC
-
推薦稀釋比:
Application Recommended Dilution IHC 1:100-1:500 -
Protocols:
-
儲存條件:Upon receipt, store at -20°C or -80°C. Avoid repeated freeze.
-
貨期:Basically, we can dispatch the products out in 1-3 working days after receiving your orders. Delivery time maybe differs from different purchasing way or location, please kindly consult your local distributors for specific delivery time.
-
用途:For Research Use Only. Not for use in diagnostic or therapeutic procedures.
相關產品
靶點詳情
-
功能:Clathrin is the major protein of the polyhedral coat of coated pits and vesicles. Two different adapter protein complexes link the clathrin lattice either to the plasma membrane or to the trans-Golgi network. Acts as component of the TACC3/ch-TOG/clathrin complex proposed to contribute to stabilization of kinetochore fibers of the mitotic spindle by acting as inter-microtubule bridge. The TACC3/ch-TOG/clathrin complex is required for the maintenance of kinetochore fiber tension. Plays a role in early autophagosome formation.
-
基因功能參考文獻:
- Provide biochemical evidence for separate regulation and distinct functional niches for CHC17 and CHC22 in HeLa cells. Furthermore, the greater stability of the CHC22 coat relative to the CHC17 coat may be relevant to its excessive accumulation with GLUT4 during insulin resistance. PMID: 29097553
- this study shows that clathrin, including the clathrin population associated to internal vesicles, controls lymphocyte migration by regulating actin rearrangements occurring at the leading age PMID: 27405273
- The novel association of several endocytosis-associated proteins has been demonstrated, in particular, of CLTC and SCAMP3 with hepatocellular carcinoma progression. PMID: 27519163
- MiR-199a-5p suppresses tumorigenesis by targeting CLTC in hepatocellular carcinoma. PMID: 28261837
- SMAP2 immunoprecipitated clathrin and AP-1 through a putative clathrin-binding domain and a CALM-binding domain, and SMAP2 mutants that did not interact with clathrin or AP-1 could not localize to recycling endosomes PMID: 26136365
- The CHC:ESR1 interaction is required to sustain estradiol signaling. PMID: 25860340
- autophagy contributed to Cx31.1 degradation, and clathrin might be involved in the autophagy of Cx31.1. PMID: 25388970
- Data suggest that by binding to both clathrin and F-actin, mammalian actin-binding protein 1 (mAbp1; HIP-55 or SH3P7) is specifically recruited at a late stage of clathrin-coated pits (CCPs) formation, which subsequently recruits dynamin to CCPs. PMID: 25690657
- Our data support a model in which nascent Hepatits C Virus particles associate with apoE in the endoplasmic reticulum and exit cells following a clathrin-dependent transendosomal secretory route. PMID: 25631092
- These data indicate that clathrin is required for the function of AP-1- and GGA-coated carriers at the trans-Golgi network but may be dispensable for outward traffic en route to the plasma membrane. PMID: 24407285
- SNX9 and CHC function in the same molecular pathway for chromosome alignment and segregation, which is dependent on their direct association. PMID: 23861900
- clathrin interacts with Rab5 and plays a fundamental role in the entry and intracellular survival of B. abortus via interaction with lipid rafts and actin rearrangement PMID: 23940042
- High clathrin heavy chain expression promotes tumor pancreatic growth and angiogenesis through regulation of HIF-1alpha and VEGF signaling PMID: 23228632
- This study reveals a novel functional role of clathrin-coated structure in GMR signaling and the oncogenesis of JAK2V617F. PMID: 22935703
- The authors demonstrate that clathrin promotes clustering of the vaccinia virus actin tail nucleator A36 and host N-WASP, which activates actin nucleation through the Arp2/3 complex. PMID: 22980331
- Depletion of clathrin heavy chain (CHC)17, but not the CHC22 clathrin isoform, by ribonucleic acid interference (RNAi) induces centrosome amplification and multipolar spindles. PMID: 22891263
- Electron tomography reveals Rab6 is essential to the trafficking of trans-Golgi clathrin and COPI-coated vesicles and the maintenance of Golgi cisternal number PMID: 22335553
- These results indicate that Echovirus 7 is internalized by clathrin-mediated endocytosis. PMID: 22496312
- Postmitotic Golgi reassembly requires the clathrin heavy chain (CHC). PMID: 21965600
- is required for lamellipodium formation PMID: 22010197
- Our findings strongly suggest that clathrin and clathrin-mediated signaling pathways are involved in the inflammatory signal transduction of orbital fibroblasts in Graves ophthalmopathy. PMID: 21917865
- CHC functions as a built-in molecular brake that ensures a tight control of basal NF-kappaB activation and gene expression in unstimulated cells. PMID: 21364927
- Data suggest that clathrin's role in intermicrotubule bridging can be fulfilled not only by trimers but also by dimers, and that the membrane trafficking and mitotic functions of clathrin are independent and separable. PMID: 21362119
- The authors now report that the integrase domain of Gag-Pol is required for the incorporation of clathrin into HIV-1 virions. PMID: 21289110
- Clathrin is recruited to the mitotic spindle by TACC3 and ch-TOG. Together the complex forms inter-microtubule bridges in kinetochore fibres PMID: 21297582
- These data indicate that the endocytic uptake of the clostridial glucosylating toxins involves a dynamin-dependent process that is mainly governed by clathrin. PMID: 20498856
- Data show in mammalian cells that the heavy chain of clathrin interacts with Atg16L1 and is involved in the formation of Atg16L1-positive early autophagosome precursors. PMID: 20639872
- the association between aurora A phosphorylation and spindle apparatus; regulation from aurora A is mediated by CHC in recruiting phospho-TACC3 and subsequently ch-TOG to mitotic spindles. PMID: 20566684
- Endocytosis of FcalphaR is clathrin- and dynamin-dependent, but is not regulated by Rab5, and the endocytic motif is not located in the cytoplasmic domain of FcalphaR. PMID: 19859085
- neither clathrin nor AP-2 is essential for the internalization of epidermal growth factor PMID: 12960147
- Clathrin heavy chain phosphorylation and dephosphorylation are involved in TCR internalization; this is a regulatory mechanism linking TCR signaling to endocytosis. PMID: 15067034
- Nuclear CHC is required for the transactivation of p53 target genes and plays a distinct role from clathrin-mediated endocytosis. PMID: 16618797
- Syt I plays a pivotal role in mediating cAMP- and Ca(2+)-induced endocytosis of NHE3 (but not in inhibition of activity) through cargo recognition of NHE3 and subsequent recruitment of AP2-clathrin assembly required for membrane endocytosis. PMID: 17307723
- Results establish a role for the retromer complex in retrograde transport of the B-subunit of Shiga toxin, and strongly suggest that clathrin and retromer function in consecutive retrograde sorting steps on early endosomes. PMID: 17550971
- Nuclear CHC plays a role distinct from clathrin-mediated endocytosis. PMID: 17952123
- The clathrin inhibitor phenylarsine oxide prevented SubAB entry and BiP cleavage in SubAB-treated Vero, HeLa and N2A cells demonstrating that SubAB internalization is clathrin-dependent. PMID: 18042253
- cytosolic p53 may participate in the regulation of clathrin-mediated endocytosis to control the correct signaling from EGFR PMID: 18363968
- The endocytic clathrin machinery can internalize double-membrane vesicles into cells. PMID: 18656476
- Endocytosis of shiga toxin (Stx) in Ramos cells requires Syk activity and that Syk is recruited to the uptake site of Stx. PMID: 19289168
- Data compared each paralogue in functional assays of endocytosis and mitosis, and find that CHC17 and CHC22 are functionally equivalent. PMID: 19509056
- clathrin serving as a regulator of SNX4-dependent transport; upon clathrin release, dynein may bind SNX4 and mediate retrograde movement PMID: 19529763
- GAK and CHC cooperated in the same pathway and interacted in mitosis to regulate the formation of a functional spindle. PMID: 19654208
- Structural modeling analyses predict that an Asn1288 residue in CHC is crucial for binding to p53. In fact, substitution of this Asn to Ala of CHC diminished its ability to interact with p53, leading to reduced activity to transactivate p53. PMID: 19766654
- The assembly efficiency of the various hepatitis delta virus genotypes correlates well with the clathrin heavy chain-binding activity of their HDAg-Ls and coincides with the severity of disease outcome. PMID: 19793827
顯示更多
收起更多
-
亞細胞定位:Cytoplasmic vesicle membrane; Peripheral membrane protein; Cytoplasmic side. Membrane, coated pit; Peripheral membrane protein; Cytoplasmic side. Melanosome. Cytoplasm, cytoskeleton, spindle.
-
蛋白家族:Clathrin heavy chain family
-
數據庫鏈接:
Most popular with customers
-
-
YWHAB Recombinant Monoclonal Antibody
Applications: ELISA, WB, IHC, IF, FC
Species Reactivity: Human, Mouse, Rat
-
Phospho-YAP1 (S127) Recombinant Monoclonal Antibody
Applications: ELISA, WB, IHC
Species Reactivity: Human
-
-
-
-
-















