CLEC6A Antibody
-
中文名稱:CLEC6A兔多克隆抗體
-
貨號:CSB-PA883930
-
規格:¥1090
-
圖片:
-
Western blot analysis of SH-SY5Y 293T using Dectin-2 antibody. Antibody was diluted at 1:1000. Secondary antibody was diluted at 1:20000
-
Western blot analysis of K562 using Dectin-2 antibody. Antibody was diluted at 1:1000. Secondary antibody was diluted at 1:20000
-
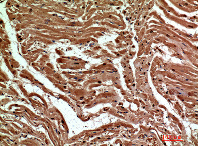
Immunohistochemical analysis of paraffin-embedded human-heart, antibody was diluted at 1:200
-
-
其他:
產品詳情
-
Uniprot No.:
-
基因名:
-
別名:C type lectin domain family 6 member A antibody; C type lectin superfamily member 10 antibody; C-type (calcium dependent; carbohydrate-recognition domain) lectin; superfamily member 10 antibody; C-type lectin domain family 6 member A antibody; C-type lectin superfamily member 10 antibody; CLC6A_HUMAN antibody; CLEC4N antibody; CLEC4N; mouse; homolog of antibody; Clec6a antibody; CLECSF10 antibody; DC associated C type lectin 2 antibody; DC-associated C-type lectin 2 antibody; Dectin-2 antibody; Dectin2 antibody; Dendritic cell associated lectin 2 antibody; Dendritic cell-associated C-type lectin 2 antibody
-
宿主:Rabbit
-
反應種屬:Human
-
免疫原:Synthesized peptide derived from the Internal region of Human Dectin-2.
-
免疫原種屬:Homo sapiens (Human)
-
標記方式:Non-conjugated
-
純化方式:The antibody was affinity-purified from rabbit antiserum by affinity-chromatography using epitope-specific immunogen.
-
濃度:It differs from different batches. Please contact us to confirm it.
-
保存緩沖液:Liquid in PBS containing 50% glycerol, 0.5% BSA and 0.02% sodium azide.
-
產品提供形式:Liquid
-
應用范圍:WB, IHC, ELISA
-
推薦稀釋比:
Application Recommended Dilution WB 1:500-1:2000 IHC 1:100-1:300 ELISA 1:10000 -
Protocols:
-
儲存條件:Upon receipt, store at -20°C or -80°C. Avoid repeated freeze.
-
貨期:Basically, we can dispatch the products out in 1-3 working days after receiving your orders. Delivery time maybe differs from different purchasing way or location, please kindly consult your local distributors for specific delivery time.
-
用途:For Research Use Only. Not for use in diagnostic or therapeutic procedures.
相關產品
靶點詳情
-
功能:Calcium-dependent lectin that acts as a pattern recognition receptor (PRR) of the innate immune system: specifically recognizes and binds alpha-mannans on C.albicans hypheas. Binding of C.albicans alpha-mannans to this receptor complex leads to phosphorylation of the immunoreceptor tyrosine-based activation motif (ITAM) of FCER1G, triggering activation of SYK, CARD9 and NF-kappa-B, consequently driving maturation of antigen-presenting cells and shaping antigen-specific priming of T-cells toward effector T-helper 1 and T-helper 17 cell subtypes. Recognizes also, in a mannose-dependent manner, allergens from house dust mite and fungi, by promoting cysteinyl leukotriene production. Recognizes soluble elements from the eggs of Shistosoma mansoni altering adaptive immune responses.
-
基因功能參考文獻:
- functions in Kupffer cells to mediate the uptake and clearance of cancer cells PMID: 27872290
- Data suggest that the specificity and geometry of dectin-2/CLEC6A carbohydrate-binding site provide molecular mechanism for binding of dectin-2 to fungal mannans and also to bacterial lipopolysaccharides, capsular polysaccharides, and lipoarabinomannans that contain mannose-alpha-1--2-mannose disaccharide unit. (CLEC6A = C-type lectin domain containing 6A) PMID: 28652405
- these data indicate that mannosylated O-antigens from several Gram-negative bacteria augment TLR4 responses through interaction with Dectin-2. PMID: 27358401
- This study showed a genetic association between Dectin-2 and pulmonary cryptococcosis. PMID: 26129889
- human plasmacytoid dendritic cells directly recognize A. fumigatus hyphae via Dectin-2 PMID: 25659141
- our data show a requirement for Dectin-2 in alveolar macrophage induction of cysteinyl leukotrienes and in the initiation of airway inflammation. PMID: 24129160
- The Dectin-2 possess a single extracellular conserved C-type lectin-like domain and are capable of mediating intracellular signalling either directly, through integral signalling domains, or indirectly, by associating with signalling adaptor molecules. PMID: 23606632
- human DECTIN-2 has a role in innate immunity PMID: 15810886
顯示更多
收起更多
-
亞細胞定位:Cell membrane; Single-pass type II membrane protein.
-
組織特異性:Expressed in lung, spleen, lymph node, leukocytes, bone marrow, tonsils and dendritic cells. Strongly expressed in purified monocytes and weakly in B-cells. In peripheral blood cells, preferentially expressed in plasmacytoids rather than myeloids.
-
數據庫鏈接:
Most popular with customers
-
-
YWHAB Recombinant Monoclonal Antibody
Applications: ELISA, WB, IHC, IF, FC
Species Reactivity: Human, Mouse, Rat
-
Phospho-YAP1 (S127) Recombinant Monoclonal Antibody
Applications: ELISA, WB, IHC
Species Reactivity: Human
-
-
-
-
-















