CLEC5A Antibody
-
中文名稱:CLEC5A兔多克隆抗體
-
貨號:CSB-PA163406
-
規格:¥1100
-
圖片:
-
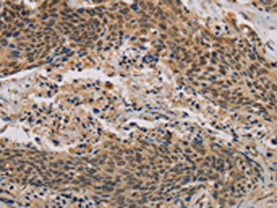
The image on the left is immunohistochemistry of paraffin-embedded Human colon cancer tissue using CSB-PA163406(CLEC5A Antibody) at dilution 1/20, on the right is treated with synthetic peptide. (Original magnification: ×200)
-
The image on the left is immunohistochemistry of paraffin-embedded Human cervical cancer tissue using CSB-PA163406(CLEC5A Antibody) at dilution 1/20, on the right is treated with synthetic peptide. (Original magnification: ×200)
-
-
其他:
產品詳情
-
Uniprot No.:
-
基因名:CLEC5A
-
別名:C type lectin domain family 5 member A antibody; C-type lectin domain family 5 member A antibody; C-type lectin superfamily member 5 antibody; CLC5A_HUMAN antibody; CLEC5 A antibody; CLEC5A antibody; CLECSF 5 antibody; CLECSF5 antibody; MDL 1 antibody; MDL-1 antibody; MDL1 antibody; Myeloid DAP12 associating lectin antibody; Myeloid DAP12-associating lectin 1 antibody
-
宿主:Rabbit
-
反應種屬:Human
-
免疫原:Synthetic peptide of Human CLEC5A
-
免疫原種屬:Homo sapiens (Human)
-
標記方式:Non-conjugated
-
抗體亞型:IgG
-
純化方式:Antigen affinity purification
-
濃度:It differs from different batches. Please contact us to confirm it.
-
保存緩沖液:-20°C, pH7.4 PBS, 0.05% NaN3, 40% Glycerol
-
產品提供形式:Liquid
-
應用范圍:ELISA,IHC
-
推薦稀釋比:
Application Recommended Dilution ELISA 1:2000-1:5000 IHC 1:50-1:200 -
Protocols:
-
儲存條件:Upon receipt, store at -20°C or -80°C. Avoid repeated freeze.
-
貨期:Basically, we can dispatch the products out in 1-3 working days after receiving your orders. Delivery time maybe differs from different purchasing way or location, please kindly consult your local distributors for specific delivery time.
-
用途:For Research Use Only. Not for use in diagnostic or therapeutic procedures.
相關產品
靶點詳情
-
功能:Functions as a positive regulator of osteoclastogenesis. Cell surface receptor that signals via TYROBP. Regulates inflammatory responses.; (Microbial infection) Critical macrophage receptor for dengue virus serotypes 1-4. The binding of dengue virus to CLEC5A triggers signaling through the phosphorylation of TYROBP. This interaction does not result in viral entry, but stimulates proinflammatory cytokine release.
-
基因功能參考文獻:
- MDL-1 is mainly expressed in atherosclerotic lesional macrophages and increased macrophage MDL-1 expression is associated with early plaque progression and promotes macrophage survival. PMID: 29126450
- this study shows association of rs1285933 single nucleotide polymorphism in CLEC5A gene with dengue severity PMID: 28764923
- CLEC5A is critical for dengue virus-induced osteoclast activation and bone homeostasis PMID: 27033255
- Mannose Receptor and CLEC5A on Macrophage first attracts the Dengue Virus with high avidity, and the virus concurrently interacts with CLEC5A in close proximity to form a multivalent hetero-complex and facilitate CLEC5A-mediated signal transduction. Dengue Virus Infection Is through a Cooperative Interaction between a Mannose Receptor and CLEC5A on Macrophage as a Multivalent Hetero-Complex. PMID: 27832191
- The results suggest that CLEC5A-mediated enhancement of the inflammatory response in myeloid cells contributes to influenza pathogenicity in vivo and may be considered a therapeutic target in combination with effective antivirals. PMID: 27795434
- Concordant overexpression of MDL-1 and DAP12 were correlated with increased production of proinflammatory cytokines in rheumatoid arthritis patients. PMID: 24465901
- Blockade of CLEC5A inhibits NLRP3 inflammasome activation and pyrotopsis in dengue-virus-infected inflammatory macrophages. Thus, DV can activate NLRP3 inflammasome via CLEC5A. PMID: 23152543
- No significant associations were noted between the genotypes and allele frequency of the 4 CLEC5A tSNPs between controls and Kawasaki disease patients. PMID: 22536019
- CLEC5A is homodimeric at the cell surface and binds to dengue virus serotypes 1-4. PMID: 21566123
- CLEC5A expression in monocyte/macrophage and granulocytes is regulated by PU.1. PMID: 21094529
- The crystal volume per unit weight (VM) was calculated to be 2.34 A3 Da-1, with nine molecules per asymmetric unit and a solvent content of 47.38%. CLEC5A plays an important role in the pathophysiology of dengue-virus-induced disease. PMID: 20057064
- blockade of CLEC5A-mediated signalling attenuates the production of proinflammatory cytokines by macrophages infected with Dengue virus (either alone or complexed with an enhancing antibody) PMID: 18496526
顯示更多
收起更多
-
亞細胞定位:Cell membrane; Single-pass type II membrane protein.
-
組織特異性:Highly expressed in bone marrow with lower levels in synovium, lung and bronchus. Expressed in peripheral blood monocytes and in the monocyte/macrophage cell lines U-937 and Mono-Mac-6, but not in cell lines of other origins. Expression is down-regulated
-
數據庫鏈接:
Most popular with customers
-
-
YWHAB Recombinant Monoclonal Antibody
Applications: ELISA, WB, IHC, IF, FC
Species Reactivity: Human, Mouse, Rat
-
Phospho-YAP1 (S127) Recombinant Monoclonal Antibody
Applications: ELISA, WB, IHC
Species Reactivity: Human
-
-
-
-
-















