CLEC4C Antibody
-
中文名稱:CLEC4C兔多克隆抗體
-
貨號:CSB-PA273524
-
規格:¥1100
-
圖片:
-
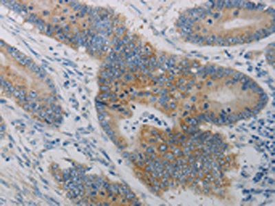
The image on the left is immunohistochemistry of paraffin-embedded Human colon cancer tissue using CSB-PA273524(CLEC4C Antibody) at dilution 1/50, on the right is treated with synthetic peptide. (Original magnification: ×200)
-
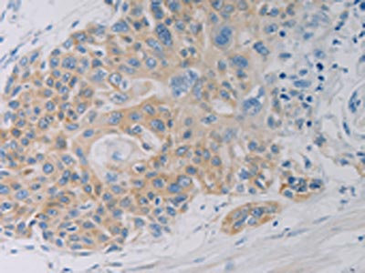
The image on the left is immunohistochemistry of paraffin-embedded Human esophagus cancer tissue using CSB-PA273524(CLEC4C Antibody) at dilution 1/50, on the right is treated with synthetic peptide. (Original magnification: ×200)
-
-
其他:
產品詳情
-
Uniprot No.:
-
基因名:
-
別名:CLEC4C antibody; BDCA2 antibody; CLECSF11 antibody; CLECSF7 antibody; DLEC antibody; HECL antibody; UNQ9361/PRO34150C-type lectin domain family 4 member C antibody; Blood dendritic cell antigen 2 antibody; BDCA-2 antibody; C-type lectin superfamily member 7 antibody; Dendritic lectin antibody; CD antigen CD303 antibody
-
宿主:Rabbit
-
反應種屬:Human
-
免疫原:Synthetic peptide of Human CLEC4C
-
免疫原種屬:Homo sapiens (Human)
-
標記方式:Non-conjugated
-
抗體亞型:IgG
-
純化方式:Antigen affinity purification
-
濃度:It differs from different batches. Please contact us to confirm it.
-
保存緩沖液:-20°C, pH7.4 PBS, 0.05% NaN3, 40% Glycerol
-
產品提供形式:Liquid
-
應用范圍:ELISA,IHC
-
推薦稀釋比:
Application Recommended Dilution ELISA 1:1000-1:5000 IHC 1:25-1:100 -
Protocols:
-
儲存條件:Upon receipt, store at -20°C or -80°C. Avoid repeated freeze.
-
貨期:Basically, we can dispatch the products out in 1-3 working days after receiving your orders. Delivery time maybe differs from different purchasing way or location, please kindly consult your local distributors for specific delivery time.
-
用途:For Research Use Only. Not for use in diagnostic or therapeutic procedures.
相關產品
靶點詳情
-
功能:Lectin-type cell surface receptor which may play a role in antigen capturing by dendritic cells. Specifically recognizes non-sialylated galactose-terminated biantennary glycans containing the trisaccharide epitope Gal(beta1-3/4)GlcNAc(beta1-2)Man. Binds to serum IgG. Efficiently targets ligand into antigen-processing and peptide-loading compartments for presentation to T-cells. May mediate potent inhibition of induction of IFN-alpha/beta expression in plasmacytoid dendritic cells. May act as a signaling receptor that activates protein-tyrosine kinases and mobilizes intracellular calcium.
-
基因功能參考文獻:
- Identification of serum glycoprotein ligands for the immunomodulatory receptor blood dendritic cell antigen 2. PMID: 29796630
- decrease in the surface expression of CLEC4C and the endoplasmic reticulum localization of the mutant construct were observed PMID: 26943047
- Human BDCA2+CD123+CD56+ dendritic cells (DCs) related to blastic plasmacytoid dendritic cell neoplasm represent a unique myeloid DC subset. PMID: 25779340
- BDCA-2 binds selectively to glycans containing the epitope Galbeta1-3/4GlcNAcbeta1-2Man. PMID: 25995448
- We show the crystal structures of a carbohydrate recognition domain (CRD) of human C-type lectin receptor blood dendritic cell antigen-2 (BDCA2). PMID: 24425442
- Reduction in Treg numbers following Ag delivery to BDCA2 restored both CD4(+) T cell activation and Ab responses, demonstrating that Tregs were required for the observed tolerance. PMID: 24829416
- Data show that HCV envelope glycoprotein E2 is a novel ligand of blood dendritic cells antigen 2 (BDCA-2). PMID: 23053572
- Human C-type lectin domain family 4, member C (CLEC4C/BDCA-2/CD303) is a receptor for asialo-galactosyl-oligosaccharides. PMID: 21880719
- Accumulation of BDCA-1 and BDCA-2 around neovessels showed that mDCs and pDCs are recruited to advanced arteriosclerotic plaques. PMID: 21436634
- Expression of dendritic cell markers CD11c/BDCA-1 and CD123/BDCA-2 in coronary artery disease upon activation in whole blood. PMID: 20888334
- Indoleamine 2,3-deoxigenase positive plasmacytoid dentritic cells are the classical BDCA2 positive cells in melanoma lymph nodes PMID: 19829303
- Data suggest that by associating with Fc epsilon RI gamma, BDCA2 activates a novel BCR-like signaling pathway to regulate the immune functions of plasmacytoid dendritic cells. PMID: 17850179
- Triggering CD303 leads to tyrosine phosphorylation of Syk, Slp65, PLCgamma2 and cytoskeletal proteins. CD303 signaling is linked with internalization by clathrin-mediated endocytosis. PMID: 18022864
- results suggest that downregulation of BDCA2 expression on plasmacytoid dendritic cells (pDCs) may reflect the activation of pDCs accumulated in systemic lupus erythematosus patients & may be one marker for indication of disease activity of SLE patients PMID: 18684674
- Engagement of BDCA-2 blocks TRAIL-mediated cytotoxic activity of plasmacytoid dendritic cells. PMID: 19577819
顯示更多
收起更多
-
亞細胞定位:Cell membrane; Single-pass type II membrane protein.
-
組織特異性:Expressed in plasmacytoid dendritic cells (PDCs). Constitutively expressed in immature monocyte-derived dendritic cells (iMDDC) and is significantly down-regulated upon maturation with LPS but not with TNF-alpha.
-
數據庫鏈接:
Most popular with customers
-
-
YWHAB Recombinant Monoclonal Antibody
Applications: ELISA, WB, IHC, IF, FC
Species Reactivity: Human, Mouse, Rat
-
Phospho-YAP1 (S127) Recombinant Monoclonal Antibody
Applications: ELISA, WB, IHC
Species Reactivity: Human
-
-
-
-
-















