CLEC1B Antibody
-
中文名稱:CLEC1B兔多克隆抗體
-
貨號:CSB-PA930766
-
規格:¥1100
-
圖片:
-
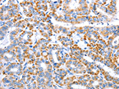
The image on the left is immunohistochemistry of paraffin-embedded Human thyroid cancer tissue using CSB-PA930766(CLEC1B Antibody) at dilution 1/15, on the right is treated with fusion protein. (Original magnification: ×200)
-
The image on the left is immunohistochemistry of paraffin-embedded Human liver cancer tissue using CSB-PA930766(CLEC1B Antibody) at dilution 1/15, on the right is treated with fusion protein. (Original magnification: ×200)
-
-
其他:
產品詳情
-
Uniprot No.:
-
基因名:CLEC1B
-
別名:1810061I13Rik antibody; C type lectin domain family 1 member B antibody; C type lectin like receptor 2 antibody; C-type lectin domain family 1 member B antibody; C-type lectin domain family 1; member B antibody; C-type lectin-like receptor 2 antibody; C-type lectin-like receptor-2 antibody; CLC1B_HUMAN antibody; CLEC 2 antibody; CLEC 2B antibody; CLEC-2 antibody; CLEC1B antibody; CLEC2 antibody; CLEC2B antibody; PRO1384 antibody; QDED721 antibody
-
宿主:Rabbit
-
反應種屬:Human
-
免疫原:Fusion protein of Human CLEC1B
-
免疫原種屬:Homo sapiens (Human)
-
標記方式:Non-conjugated
-
抗體亞型:IgG
-
純化方式:Antigen affinity purification
-
濃度:It differs from different batches. Please contact us to confirm it.
-
保存緩沖液:-20°C, pH7.4 PBS, 0.05% NaN3, 40% Glycerol
-
產品提供形式:Liquid
-
應用范圍:ELISA,IHC
-
推薦稀釋比:
Application Recommended Dilution ELISA 1:500-1:2000 IHC 1:10-1:50 -
Protocols:
-
儲存條件:Upon receipt, store at -20°C or -80°C. Avoid repeated freeze.
-
貨期:Basically, we can dispatch the products out in 1-3 working days after receiving your orders. Delivery time maybe differs from different purchasing way or location, please kindly consult your local distributors for specific delivery time.
-
用途:For Research Use Only. Not for use in diagnostic or therapeutic procedures.
相關產品
靶點詳情
-
功能:C-type lectin-like receptor that functions as a platelet receptor for the lymphatic endothelial marker, PDPN. After ligand activation, signals via sequential activation of SRC and SYK tyrosine kinases leading to activation of PLCG2.; (Microbial infection) Acts as a receptor for the platelet-aggregating snake venom protein rhodocytin. Rhodocytin binding leads to tyrosine phosphorylation and this promotes the binding of spleen tyrosine kinase (SYK) and initiation of downstream tyrosine phosphorylation events and activation of PLCG2.; (Microbial infection) Acts as an attachment factor for Human immunodeficiency virus type 1 (HIV-1) and facilitates its capture by platelets.
-
基因功能參考文獻:
- CLEC-2 may have a role in unfavorable postoperative prognosis of patients with clear cell renal cell carcinoma PMID: 27564117
- CLEC-2 and P2Y12 are required for CpG ODN-induced platelet activation and thrombosis, and might be targeted to prevent adverse events in patients at risk. PMID: 28296036
- Data (including data from studies using cells from knockout mice) suggest that CLEC2/CLEC2R signaling is dependent on thromboxane A2 generation and is potentiated by co-stimulation with different GNAQ agonists. (CLEC2 = C-type lectin CLEC2; CLEC2R = CLEC2 receptor; GNAQ = guanine nucleotide-binding protein G[q] subunit alpha) PMID: 28705934
- CLEC2 prevents expression of PI3K subunits, in a SYK-dependent manner, to suppress the invasive activities of gastric cancer cells. PMID: 26855187
- CLEC-2 regulates Akt and MAPK downstream of PI3K and PKC, leading to phosphorylation and inhibition of GSK3alpha/beta, and enhanced platelet aggregation and secretion. PMID: 25858425
- Data (including data from studies using recombinant proteins) suggest that a diverse range of ligands activate platelets through activation/phosphorylation of CD36/GPVI (glycoprotein VI) and/or CLEC-2 (C-type lectin-like receptor-2). PMID: 25849538
- PI3K and Tec family kinases play a crucial role in the regulation of platelet activation and Syk phosphorylation downstream of the CLEC-2 receptor PMID: 25767114
- fucoidan is a novel CLEC-2 receptor agonist that activates platelets through a SFK-dependent signaling pathway PMID: 23341451
- Dimerization of two phosphorylated CLEC-2 molecules leads to recruitment of the tyrosine kinase Syk via its tandem SH2 domains and initiation of a downstream signaling cascade PMID: 23264619
- A differential proteomic analysis of basal and rhodocytin-activated platelets with the aim of providing novel clues on CLEC-2 signaling regulation. PMID: 23053573
- The glycosylation sites (N120 and N134) are necessary for the surface expression of CLEC-2. PMID: 22740230
- Shedding of CLEC-2 from the cell surface may reflect increased expression of this membrane protein and serve as a marker of disease activity. PMID: 22736279
- CLEC-2 is the first member of the C-type lectin family of receptors identified to stimulate platelet aggregation through a tyrosine kinase-dependent pathway. (Review) PMID: 21714702
- Phosphorylation of CLEC-2 is dependent on lipid rafts, actin polymerization, secondary mediators, and Rac1. PMID: 20154214
- CLEC-2 activates Syk through dimerization. PMID: 20154219
- X-ray diffraction analysis of human CLEC-2 PMID: 16511244
- Framework for understanding the effects of rhodocytin venom binding on CLEC-2 and for understanding the nature of endogenous ligands which will provide a basis for rational design of drugs to block ligand binding. PMID: 17132623
- Crystal structure of rhodocytin, a ligand for the platelet-activating receptor CLEC2, is reported. PMID: 18583525
- It is the novel platelet activation receptor. (review) PMID: 19483399
- CLEC-2 exists as a non-disulfide-linked homodimer which could allow each Syk molecule to interact with two YXXL motifs, one from each CLEC-2 monomer. PMID: 19824697
顯示更多
收起更多
-
亞細胞定位:Membrane; Single-pass type II membrane protein.
-
組織特異性:Expressed preferentially in the liver. Also expressed in immune cells of myeloid origin and on the surface of platelets.
-
數據庫鏈接:
Most popular with customers
-
-
YWHAB Recombinant Monoclonal Antibody
Applications: ELISA, WB, IHC, IF, FC
Species Reactivity: Human, Mouse, Rat
-
Phospho-YAP1 (S127) Recombinant Monoclonal Antibody
Applications: ELISA, WB, IHC
Species Reactivity: Human
-
-
-
-
-















