CLDN4 Antibody
-
中文名稱:CLDN4兔多克隆抗體
-
貨號:CSB-PA275606
-
規格:¥1100
-
圖片:
-
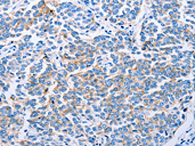
The image on the left is immunohistochemistry of paraffin-embedded Human breast cancer tissue using CSB-PA275606(CLDN4 Antibody) at dilution 1/50, on the right is treated with synthetic peptide. (Original magnification: ×200)
-
Gel: 10+12%SDS-PAGE, Lysate: 30 μg, Lane: HT29 cells, Primary antibody: CSB-PA275606(CLDN4 Antibody) at dilution 1/1100, Secondary antibody: Goat anti rabbit IgG at 1/8000 dilution, Exposure time: 30 seconds
-
-
其他:
產品詳情
-
Uniprot No.:
-
基因名:
-
別名:CLDN4; CPER; CPETR1; WBSCR8; Claudin-4; Clostridium perfringens enterotoxin receptor; CPE-R; CPE-receptor; Williams-Beuren syndrome chromosomal region 8 protein
-
宿主:Rabbit
-
反應種屬:Human,Mouse
-
免疫原:Synthetic peptide of Human CLDN4
-
免疫原種屬:Homo sapiens (Human)
-
標記方式:Non-conjugated
-
抗體亞型:IgG
-
純化方式:Antigen affinity purification
-
濃度:It differs from different batches. Please contact us to confirm it.
-
保存緩沖液:-20°C, pH7.4 PBS, 0.05% NaN3, 40% Glycerol
-
產品提供形式:Liquid
-
應用范圍:ELISA,WB,IHC
-
推薦稀釋比:
Application Recommended Dilution ELISA 1:1000-1:10000 WB 1:1000-1:3000 IHC 1:25-1:100 -
Protocols:
-
儲存條件:Upon receipt, store at -20°C or -80°C. Avoid repeated freeze.
-
貨期:Basically, we can dispatch the products out in 1-3 working days after receiving your orders. Delivery time maybe differs from different purchasing way or location, please kindly consult your local distributors for specific delivery time.
-
用途:For Research Use Only. Not for use in diagnostic or therapeutic procedures.
相關產品
靶點詳情
-
功能:Channel-forming tight junction protein that mediates paracellular chloride transport in the kidney. Plays a critical role in the paracellular reabsorption of filtered chloride in the kidney collecting ducts. Claudins play a major role in tight junction-specific obliteration of the intercellular space, through calcium-independent cell-adhesion activity.
-
基因功能參考文獻:
- Claudin-4 expression can be absent or very focal in a subset of high-grade endometrial carcinomas PMID: 29671892
- these results suggest that Helicobacter pylori lipopolysaccharide induces TLR2 expression in the gastric adenocarcinoma cells, and that the longer the exposure to lipopolysaccharide, the greater the expression of TLR2 in the cell membrane; consequently the expression of claudin-4, -6, -7 and -9 also increases PMID: 29031421
- HIF-1alpha expression was upregulated in the vasculogenic mimicry-positive CRC cell line HCT-116 and thereby affected the expression of the EMT-related markers Claudin-4, E-cadherin (E-cd) and Vimentin(VIM). PMID: 27869227
- expression of claudin-4 is highly specific for true epithelial differentiation and may be useful to distinguish SWI/SNF complex-deficient undifferentiated carcinomas from sarcomas with epithelioid morphology. The lack of claudin-4 expression in ovarian small cell carcinomas of hypercalcemic type suggests that these tumors may be better regarded as sarcomas rather than carcinomas. PMID: 28084340
- Data indiate a regulatory network in gastric cancer whereby claudin-4 expression is reduced by specific miRNAs, which are in turn bound by specific lncRNAs acting as competing endogenous RNAs (ceRNAs), resulting in increased claudin-4 expression. PMID: 28819095
- This is the first study to show how TGF-beta regulates the expression of Claudin-4 through c-Jun signaling and how this pathway contributes to the migratory and tumorigenic phenotype of lung tumor cells. PMID: 27424491
- Claudin-4 functionally contributes to both ovarian tumor cell apoptosis resistance and migration and targeting extracellular loop interactions of claudin-4 may have therapeutic implications for reducing ovarian tumor burden. PMID: 27724921
- Fluorescence-based flow cytometry and xenon magnetic resonance imaging (MRI) indicate binding of the biosensor specifically to claudin 4 (Cldn4)-expressing cells. PMID: 28636798
- Studies indicate that Grainyhead-like transcription factor 2 (GRHL2) controls the expression of E-cadherin (CDH1) required for adherens junctions and possibly regulates the expression of claudin-4 (CLDN4) in tight junctions. PMID: 28636799
- Studies indicate claudin 1 (CLDN-1) as a target for improving epidermal drug absorption and preventing HCV infection and of claudin 4 (CLDN-4) as a target for anticancer therapeutics. PMID: 28415141
- Mislocalization claudin-3 to nucleus in colon cancer and mislocalization claudin-4 to nucleus in adenomas of the colon were detected for the first time. The potential reasons for the paradoxical expression are discussed and a review of the literature, related all the alleged mechanisms of this mislocalization is provided. PMID: 28295005
- Reg I may play a role in the maintenance of mucosal barrier function by inducing tight junction proteins such as claudins 3 and 4. PMID: 27055226
- claudin-4 may represent different mechanisms of lymphatic vessel invasion with both biomarkers is related to poor prognosis PMID: 26464161
- These results suggested that increase of Cldn4-expression may be involved in early molecular events during carcinogenesis of adenocarcinoma, whereas increase of Cldn7-expression may be associated with tumor invasion or progression. PMID: 26872891
- that claudins-4 and -7 might be valuable markers for distinguishing hepatocellular carcinoma and cholangiocarcinoma and that cholangiolocellular carcinoma might arise from hepatic ductal cells PMID: 27444172
- that claudin-4 can be helpful at least in making a reliable differential diagnosis of spiradenoma when overlapping morphologic features do not allow to further subclassification in the overwhelming variety of the adnexal tumors. PMID: 26616722
- Results showed overexpression of CLDN4 in endometrial cancer cells. Its intracellular presence coupled with the biphasic effects of E2 on its expression in the cytoskeleton suggest that it may be involved in cell signaling to and from tight junctions. PMID: 26043767
- claudin 1 and claudin 4 are differentially involved in atopic dermatitis pathogenesis PMID: 26319240
- Results suggested that claudin-4, which was regulated by methylation status, plays an important role in breast cancer growth and malignancy via the control of cell proliferation, migration and apoptosis. PMID: 26058359
- Overexpression of claudin-4 induced formation of vascular channels in breast cancer. PMID: 25871476
- This meta-analysis shows that over-expression of claudin-4 is associated with progress of gastric cancer and poor prognosis of gastric cancer patients. PMID: 26109060
- Data suggest that changes in DNA methylation in trophoblasts regulate (1) cell mobility/placentation, (2) expression of claudin-4 (CLDN4) and 4-fucosyltransferase (FUT4), and (3) matrix metalloproteinase (MMP2 and MMP9) activity. PMID: 25697377
- Data show that claudin-4 and claudin-7 were observed in hepatocytes of severely damaged mouse and human livers. PMID: 24737165
- increased claudin-3 and claudin-4 expression may play a postive role in the progression and metastasis of gastric cancer PMID: 25755790
- Studies suggest that claudin-3 and claudin-4 might be targets for the treatment of chemotherapy-resistant ovarian cancer and other tumors overexpressing claudin-3 and -4 using Clostridium perfringens enterotoxin (CPE)-based theranostic agents. PMID: 23685873
- Claudin-4 controls the receptor tyrosine kinase EphA2 pro-oncogenic switch through beta-catenin PMID: 25344320
- Our results indicate that CLDN4 expression is correlated with poor prognosis, and CLDN1 expression may be an indicator of recurrence of oral squamous cell carcinoma. PMID: 25964581
- Claudin-4 is frequently expressed in primary breast cancers but especially in their metastases and is thereby an attractive membrane bound molecular imaging and drug target. PMID: 25417118
- Claudins 2 and 4 have reciprocal effects on epithelial barrier function, exhibit differential FRAP dynamics, and compete for residency within the tight junction. PMID: 25031428
- Increased claudin 4 expression was related to advanced stage and decreased survival in nasopharyngeal carcinoma. PMID: 25778318
- Claudin 1, 4, and 7 are important building blocks of paracellular adhesion molecules; their decreased expression in colorectal cancer seems to have critical effects on cell proliferation, motility, invasion, and immune response against the tumor. PMID: 25038829
- upregulation of claudin-4 expression regulated by DeltaNp63 might be associated with complementary or repair responses of damaged keratinocytes with atopic dermatitis PMID: 25449274
- The present study demonstrates that high expression of claudins 1, 4, 5 and down-regulation of claudin-7 are positive prognostic markers and are associated with good outcome and increased survival rates. PMID: 24815833
- Low expression of claudin-4 is associated with recurrence in esophageal squamous cell carcinoma. PMID: 24737010
- The degradation of claudin-3 and claudin-4 induced by acidic stress could be attenuated by specific TRPV1 blockers. PMID: 24073800
- twist and zeb1 are involved in placental maturation, whereas claudin 4 appears to be connected with placental diseases such as diabetes, toxaemia or molar disease. PMID: 24304426
- Claudin-4 immunohistochemistry effectively distinguishes adenocarcinoma from malignant mesothelioma with high sensitivity and specificity in the evaluation of malignant effusions. PMID: 24421209
- Claudin-4 was very useful marker for distinguishing mesothelioma and adenocarcinoma PMID: 23775021
- claudin-4 and PAX8 have a higher sensitivity and specificity for discriminating between pleural epithelioid mesotheliomas and renal cell carcinomas compared with other positive carcinoma markers PMID: 23503645
- High claudin-4 expression is associated with gastric carcinoma. PMID: 23822740
- PAX8 and claudin-4 have a higher sensitivity and specificity for assisting in discriminating between peritoneal epithelioid mesotheliomas and serous carcinomas when compared with all of the other positive carcinoma markers PMID: 23196794
- Exceedingly high levels of CLDN4 might negatively influence fertility rates. PMID: 23668053
- Knockdown of claudin-4 inhibited cell motility and the mimic peptide had no effect on motility in the claudin-4 knockdown cells. PMID: 23521713
- Claudin-4 is a highly specific and sensitive immunohistochemical marker for assisting in distinguishing epithelioid mesotheliomas from metastatic carcinomas to the serosal membranes. PMID: 23596113
- Altered claudin-4 expression in progesterone-treated endometrial adenocarcinoma cell line Ishikawa. PMID: 23095775
- Claudin-3(CLDN3) and claudin-4 (CLDN4) affect sensitivity of the ovarian cancer cells to the cytotoxic effect of cisplatin by regulating expression of the Cu transporter CTR1. PMID: 23053666
- Modeling the "airway reopening" process, examined consequent increases in pulmonary epithelial plasma membrane rupture, paracellular permeability, and disruption of the tight junction proteins zonula occludens-1 and claudin-4. PMID: 22898551
- High CLDN4 expression is associated with tumor growth and metastases. PMID: 23097631
- Progesterone could inhibit the growth of Ishikawa cells by decreasing the expression of claudin-4. PMID: 22883527
- these results indicate that Twist1 induces the repression of claudin-4 expression during the epithelial-mesenchymal transition in esophageal carcinoma. PMID: 22668877
顯示更多
收起更多
-
相關疾病:CLDN4 is located in the Williams-Beuren syndrome (WBS) critical region. WBS results from a hemizygous deletion of several genes on chromosome 7q11.23, thought to arise as a consequence of unequal crossing over between highly homologous low-copy repeat sequences flanking the deleted region.
-
亞細胞定位:Cell junction, tight junction. Cell membrane; Multi-pass membrane protein.
-
蛋白家族:Claudin family
-
數據庫鏈接:
Most popular with customers
-
-
YWHAB Recombinant Monoclonal Antibody
Applications: ELISA, WB, IHC, IF, FC
Species Reactivity: Human, Mouse, Rat
-
Phospho-YAP1 (S127) Recombinant Monoclonal Antibody
Applications: ELISA, WB, IHC
Species Reactivity: Human
-
-
-
-
-















