CLDN2 Antibody
-
中文名稱:CLDN2兔多克隆抗體
-
貨號:CSB-PA005500ESR2HU
-
規格:¥440
-
圖片:
-
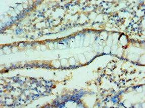
Immunohistochemistry of paraffin-embedded human small intestine tissue using CSB-PA005500ESR2HU at dilution of 1:100
-
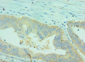
Immunohistochemistry of paraffin-embedded human colon cancer using CSB-PA005500ESR2HU at dilution of 1:100
-
Immunofluorescent analysis of A549 cells using CSB-PA005500ESR2HU at dilution of 1:100 and Alexa Fluor 488-congugated AffiniPure Goat Anti-Rabbit IgG(H+L)
-
-
其他:
產品詳情
-
產品名稱:Rabbit anti-Homo sapiens (Human) CLDN2 Polyclonal antibody
-
Uniprot No.:
-
基因名:CLDN2
-
別名:CLDN2; PSEC0059; SP82; UNQ705/PRO1356; Claudin-2; SP82
-
宿主:Rabbit
-
反應種屬:Human
-
免疫原:Recombinant Human Claudin-2 protein (30-230AA)
-
免疫原種屬:Homo sapiens (Human)
-
標記方式:Non-conjugated
-
克隆類型:Polyclonal
-
抗體亞型:IgG
-
純化方式:Antigen Affinity Purified
-
濃度:It differs from different batches. Please contact us to confirm it.
-
保存緩沖液:PBS with 0.02% sodium azide, 50% glycerol, pH7.3.
-
產品提供形式:Liquid
-
應用范圍:ELISA, IHC, IF
-
推薦稀釋比:
Application Recommended Dilution IHC 1:20-1:200 IF 1:50-1:200 -
Protocols:
-
儲存條件:Upon receipt, store at -20°C or -80°C. Avoid repeated freeze.
-
貨期:Basically, we can dispatch the products out in 1-3 working days after receiving your orders. Delivery time maybe differs from different purchasing way or location, please kindly consult your local distributors for specific delivery time.
-
用途:For Research Use Only. Not for use in diagnostic or therapeutic procedures.
相關產品
靶點詳情
-
功能:Plays a major role in tight junction-specific obliteration of the intercellular space, through calcium-independent cell-adhesion activity.
-
基因功能參考文獻:
- CLDN2 may have a role regulating tissue-specific physiological properties in tight junctions in UC. PMID: 29040430
- the accumulation of DXR into spheroids was enhanced by claudin-2 knockdown, resulting in a reduction in cell viability. We suggest that claudin-2 may be a novel therapeutic target in lung adenocarcinoma, because claudin-2 knockdown increased the accumulation of anticancer agents in cancer cells and spheroids. PMID: 29247669
- integration of claudin-2, occludin and ZO-1 is necessary for maintaining the function of the proximal tubular epithelium. PMID: 29252987
- these findings provide a novel mechanism by which microbial-derived butyrate promotes barrier through IL-10RA-dependent repression of claudin-2 PMID: 28893958
- Low CLDN2 expression is associated with Lung Cancer metastasis. PMID: 28754672
- results reveal that IL-22 increases intestinal epithelial permeability by upregulating Claudin-2 expression through the JAK/STAT pathway PMID: 28939759
- In summary, we demonstrate that TCPTP protects the intestinal epithelial barrier by restricting STAT-induced claudin-2 expression. PMID: 28804910
- The cation channel-forming tight junction protein claudin-2 was shown to permit the paracellular passage of water through its pore. PMID: 28636801
- suggest that epigenetic inhibitors suppress the abnormal proliferation of lung adenocarcinoma cells highly expressing claudin-2 PMID: 28057758
- Data show that alterations in myosin light chain kinase activity, claudin-15 and claudin-2 expression are associated with gluten-induced symptomatology and intestinal permeability changes in diarrhea-predominant irritable bowel syndrome (IBS-D). PMID: 27869798
- hypotonic stress induces dephosphorylation, clathrin-dependent endocytosis, and degradation of claudin-1 and -2 in lysosomes, resulting in disruption of the TJ barrier in renal tubular epithelial cells. PMID: 27733684
- The claudin-2 expression increased in tumor necrosis factor alpha (TNF-alpha) Treated Caco-2 cell monolayers. PMID: 28106723
- The authors conclude that claudin-2 forms gated paracellular channels. PMID: 26568313
- Association of claudin2 (rs7057398) polymorphism with idiopathic recurrent acute pancreatitis and progression of the disease to chronic pancreatitis. PMID: 26110235
- Genetic variants in CLDN2 and MORC4 genes were associated with chronic pancreatitis in Indian patients. PMID: 26820620
- Quercetin decreases claudin-2 expression mediated by up-regulation of miR-16 expression and instability of claudin-2 mRNA in lung adenocarcinoma cells. PMID: 26061016
- Pan-inhibition of SFK signaling pathways elevated Claudin-2 expression levels in breast cancer cells. Loss of Yes or Fyn induces Claudin-2 expression; whereas, diminished Lyn levels impairs Claudin-2 expression in breast cancer cells. PMID: 25823815
- PKCiota binds to Rab14 and that PKCiota requires Rab14 for its correct distribution in cells. As with Rab14, PKCiota protects claudin-2 from lysosomal degradation and, in consequence, modulates epithelial barrier. PMID: 25694446
- Phosphorylation state of the tyrosine of claudin-1 and claudin-2 regulates interaction with ZO1. PMID: 26023235
- Single nucleotide polymorphism is associated with the development of alcoholic pancreatitis. PMID: 25253127
- TNF--alpha modifies claudin-2 expression in tubular cells and this can have both short-term and long-term effects on transport and barrier functions. PMID: 25948735
- Claudin-5 overexpression promoted the interactions of claudin-1 and claudin-2 and enhanced the barrier function of retinal cells. PMID: 25323998
- Claudins 2 and 4 have reciprocal effects on epithelial barrier function, exhibit differential FRAP dynamics, and compete for residency within the tight junction. PMID: 25031428
- Autophagy reduces the paracellular permeability of small solutes and ions via degradation of the pore-forming tight junction protein claudin-2. PMID: 25616664
- Decreased claudin-2 enhances endothelial barrier function and may play a role in the prolonged survival of patients with Kaposi sarcoma-associated herpesvirus and HIV co-infection. PMID: 24995964
- IL-6 modulation of intestinal TJ permeability was regulated by JNK activation of AP-1 and AP-1 activation of claudin-2 gene PMID: 24662742
- Suggest that claudin 2 is involved in paracellular water transport and that claudin 2 expression is sensitive to compound induced cellular stress. PMID: 24907557
- The expression of claudin-2 was down regulated in gastric cancer tissue. PMID: 23919729
- In breast cancer patients CLDN2 was significantly up-regulated (P < 0.001) in liver metastases compared to other metastatic sites. PMID: 24287398
- Proliferation of human adenocarcinoma A549 cells was decreased by claudin-2 knockdown together with a decrease in the percentage of S phase cells. PMID: 24907662
- Report altered claudin 1 expression when comparing normal skin to actinic keratosis and squamous cell carcinoma of the skin. PMID: 24294371
- Helicobacter pylori-induced tumorigenesis and invasiveness of gastric carcinoma cells is mediated by bacterial CagA via Cdx2-dependent targeting of Claudin-2. PMID: 24287273
- Findings suggest that a variant of the CLDN2-MORC4 region predisposes to Crohn's disease in a Swedish population. PMID: 23946598
- Claudin-2 protein expression is elevated in intestinal epithelia, in response to bovine colostrum, without altering ion permeability. PMID: 23717570
- generated MDCK I Tet-off cells stably transfected with claudin-2 Tyr(67) mutants. The Y67L mutant showed reduced cation selectivity compared with wild-type claudin-2 due to a decrease in Na(+) permeability, without affecting the Cl(-) permeability PMID: 23760508
- Claudin-2 assumes an important role in colorectal inflammation, and furthermore implicates the involvement of MLCK in colon inflammation. PMID: 23306855
- Sinonasal epithelium in allergic fungal rhinosinusitis displays increased epithelial permeability and an altered expression of claudin-2 PMID: 22927233
- results implicate pericryptal myofibroblast-derived paracrine KGF and largely autocrine amphiregulin in the upregulation of claudin-2 in Caco-2 epithelial monolayers and consequent disruption of tight junction integrity PMID: 22946653
- Two associations with alcoholic pancreatitis at genome-wide significance were identified and replicated at PRSS1-PRSS2 and X-linked CLDN2 through a two-stage genome-wide study. PMID: 23143602
- These results suggest that EGF is secreted from A549 cells by MMP and increases claudin-2 expression mediated via the activation of an EGFR/MEK/ERK pathway. PMID: 22546605
- Pore-forming tight junction protein claudin-2 is strongly expressed in the ileum of 51% patients in quiescent phase and in 49% of the patients with active Crohn's disease. PMID: 21688348
- demonstrate here that breast cancer cells harbouring PIK3CA mutations are selectively sensitive to mTOR allosteric and kinase inhibitors. However, cells with PTEN loss of function are not sensitive to these drugs PMID: 21383692
- CLDN2 is selectively enriched in and promotes the formation of breast cancer liver metastases through engagement of cell membrane complexes. PMID: 21076473
- The authors propose claudin-2 and SYN1 work in concert to enhance microbial translocation across the intestinal epithelial barrier to contribute to chronic immune activation and CD4 T-cell depletion in HIV-1-infected patients. PMID: 20700059
- claudin-2 was not expressed in any of the 18 cases of Epstein-Barr virus-associated nasopharyngeal carcinoma studied. PMID: 20204275
- CLDN 2 expression was significantly increased in severe form of coeliac disease in bulb and in distal duodenum PMID: 20143085
- Cloning of the human claudin-2 5'-flanking region revealed a TATA-less promoter with conserved binding sites in mouse and human for caudal-related homeodomain proteins and hepatocyte nuclear factor-1alpha. PMID: 11934881
- Results support a model in which claudins 2 and 4 create paracellular channels and the first extracellular domain is sufficient to determine both paracellular charge selectivity and transepithelial electrical resistance. PMID: 12700140
- role for the paracellular barrier function by opening pores for small cations PMID: 14751232
- optimal claudin-2 expression in the gut relies on the presence of GATA-4, suggesting a role for this factor in intestinal regionalization PMID: 15389642
顯示更多
收起更多
-
亞細胞定位:Cell junction, tight junction. Cell membrane; Multi-pass membrane protein.
-
蛋白家族:Claudin family
-
數據庫鏈接:
Most popular with customers
-
-
Phospho-YAP1 (S127) Recombinant Monoclonal Antibody
Applications: ELISA, WB, IHC
Species Reactivity: Human
-
-
-
-
-
-















