CLDN1 Antibody
-
中文名稱:CLDN1兔多克隆抗體
-
貨號:CSB-PA983237
-
規格:¥1100
-
圖片:
-
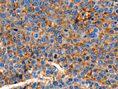
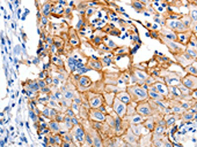
The image on the left is immunohistochemistry of paraffin-embedded Human esophagus cancer tissue using CSB-PA983237(CLDN1 Antibody) at dilution 1/150, on the right is treated with synthetic peptide. (Original magnification: ×200)
-
The image on the left is immunohistochemistry of paraffin-embedded Human cervical cancer tissue using CSB-PA983237(CLDN1 Antibody) at dilution 1/150, on the right is treated with synthetic peptide. (Original magnification: ×200)
-
Gel: 10%SDS-PAGE, Lysate: 30 μg, Lane: Hela cells, Primary antibody: CSB-PA983237(CLDN1 Antibody) at dilution 1/1100, Secondary antibody: Goat anti rabbit IgG at 1/8000 dilution, Exposure time: 40 seconds
-
-
其他:
產品詳情
-
Uniprot No.:
-
基因名:
-
別名:CLDN1; CLD1; SEMP1; UNQ481/PRO944; Claudin-1; Senescence-associated epithelial membrane protein
-
宿主:Rabbit
-
反應種屬:Human,Mouse,Rat
-
免疫原:Synthetic peptide of Human CLDN1
-
免疫原種屬:Homo sapiens (Human)
-
標記方式:Non-conjugated
-
抗體亞型:IgG
-
純化方式:Antigen affinity purification
-
濃度:It differs from different batches. Please contact us to confirm it.
-
保存緩沖液:-20°C, pH7.4 PBS, 0.05% NaN3, 40% Glycerol
-
產品提供形式:Liquid
-
應用范圍:ELISA,WB,IHC
-
推薦稀釋比:
Application Recommended Dilution ELISA 1:1000-1:10000 WB 1:1000-1:3000 IHC 1:100-1:300 -
Protocols:
-
儲存條件:Upon receipt, store at -20°C or -80°C. Avoid repeated freeze.
-
貨期:Basically, we can dispatch the products out in 1-3 working days after receiving your orders. Delivery time maybe differs from different purchasing way or location, please kindly consult your local distributors for specific delivery time.
-
用途:For Research Use Only. Not for use in diagnostic or therapeutic procedures.
相關產品
靶點詳情
-
功能:Claudins function as major constituents of the tight junction complexes that regulate the permeability of epithelia. While some claudin family members play essential roles in the formation of impermeable barriers, others mediate the permeability to ions and small molecules. Often, several claudin family members are coexpressed and interact with each other, and this determines the overall permeability. CLDN1 is required to prevent the paracellular diffusion of small molecules through tight junctions in the epidermis and is required for the normal barrier function of the skin. Required for normal water homeostasis and to prevent excessive water loss through the skin, probably via an indirect effect on the expression levels of other proteins, since CLDN1 itself seems to be dispensable for water barrier formation in keratinocyte tight junctions.; (Microbial infection) Acts as a co-receptor for hepatitis C virus (HCV) in hepatocytes. Associates with CD81 and the CLDN1-CD81 receptor complex is essential for HCV entry into host cell. Acts as a receptor for dengue virus.
-
基因功能參考文獻:
- the accumulation and toxicity of doxorubicin were rescued by CLDN1 siRNA in A549R cells. We suggest that CLDN1 is upregulated by CDDP resistance through activation of a PI3K/Akt/NF-kappaB pathway, resulting in the inhibition of penetration of anticancer drugs into the inner area of spheroids PMID: 29524521
- Our data indicate that CLDN1 targeting with an anti-CLDN1 mAb results in decreased growth and survival of CRC cells. This suggests that CLDN1 could be a new potential therapeutic target. PMID: 28659146
- Human Growth Hormone Inhibits CLAUDIN-1 Expression Through Activation of Signal Transducer and Activator of Transcription 3 (STAT3). PMID: 28617312
- CLDN1 promotes invasion and metastasis in cervical cancer cells via the expression of EMT/invasion-related genes. PMID: 27974683
- Cycling hypoxia could induce significant changes in CLDN1 and CLDN7 expression in nasopharyngeal cancer cells, indirectly regulation P18 expression and affecting cell invasion/proliferation. PMID: 28055967
- Rab25 is amplified and enhances aggressiveness in luminal B cancers while in claudin-low tumors, Rab25 is lost indicating possible anti-tumor functions PMID: 27259233
- association of genetic polymorphisms of claudin-1 with small vessel vascular dementia PMID: 28273404
- Glutamine increased claudin-1 expression in the colonic mucosa of patients with irritable bowel syndrome. PMID: 25972430
- CLDN-1 promoted the migration and EMT through the Notch signaling pathway. PMID: 28316062
- In human lung tissue, Claudin-1 is higher in RBFOX3-positive cells than in RBFOX3-negative cells. Immunostaining and mRNA quantification revealed that protein levels, but not mRNA levels, of Claudin-1 are increased by RBFOX3. PMID: 28126724
- Data show that miR-30a could bind to the 3'-untranslted region of Slug mRNA and increased expression of claudins, a family of tight junction transmembrane proteins. PMID: 26918943
- These findings indicate a previously unrecognized mechanism that miR-142-5p, targeting CLDN1, plays an important role in Hashimoto's thyroiditis pathogenesis. PMID: 27277258
- Here, the authors identified an interaction between claudin-1 and Sec24C, a cargo-sorting component of the coat protein complex II (COPII) vesicular transport system. PMID: 28679754
- Aberrant expression of the tight junction molecules claudin-1 and zonula occludens-1 mediates cell growth and invasion in oral squamous cell carcinoma cells. PMID: 27436828
- Increased expression of intestinal epithelial claudin-1 with downregulation of claudin-3 has been observed in intestinal inflammatory disorders. PMID: 28493289
- Studies indicate claudin 1 (CLDN-1) as a target for improving epidermal drug absorption and preventing HCV infection and of claudin 4 (CLDN-4) as a target for anticancer therapeutics. PMID: 28415141
- Data show that the charge of Lys65 in claudin 1 (Cldn1) and Glu158 in claudin 3 (Cldn3), and of Gln57 in claudin 5 (Cldn5) are necessary for tight junction (TJ) strand formation. PMID: 28415153
- Studies indicate that claudin-1 accumulate in early endosomes in both epithelial and endothelial cells. PMID: 28415156
- Claudin-low tumors were associated with young age of onset, higher tumor grade, larger tumor size, extensive lymphocytic infiltrate and a circumscribed tumor margin. Patients with claudin-low tumors had a worse overall survival when compared to patients with luminal A type breast cancer. PMID: 28045912
- These results revealed that CLDN1 contributed to cancer stem cell features of hepatocellular carcinoma, which was altered by TMPRSS4 expression via ERK1/2 signaling pathway, providing promising targets for novel specific therapies. PMID: 28651932
- Data suggest that epithelial-mesenchymal transition (EMT) is regulated by ZMYND8 (receptor for activated protein kinase C) which selectively activates gene promoters of CLDN1 (claudin 1) and CDH1 (E-cadherin) in breast cancer cells; thus, the presence of ZMYND8 could be implicated in maintaining epithelial phenotype of cells; ZMYND8 regulates invasion/migration of breast cancer cells. PMID: 28432260
- The data suggested that miR-29a may regulate tumor growth and migration by targeting CLDN1. PMID: 28342862
- TNF-alpha mediated regulation of claudin-1 and tumorigenic abilities of colon cancer cells. PMID: 27742576
- CLDN1 is significantly hypomethylated in tumor samples and that the membrane staining intensity for claudin 1, 4, and 7 is significantly lower in colorectal cancer tissues than in adjacent nonneoplastic tissue. PMID: 28381183
- CLDN1 rather than variants in FLG may be involved in the susceptibility of AD in the Ethiopian population PMID: 27581203
- CLDN1 overexpression is a good prognostic factor in NSCLC. PMID: 27687058
- Studies showthat CLDN1 is downregulated in lung adenocarcinoma and that low CLDN1 messenger ribonucleic acid (mRNA) expression leads to shorter overall survival. PMID: 27766775
- The loss of claudin-1 appears to be involved in the pathogenesis of pterygium PMID: 26820697
- autotypic tight junctions molecular composition, like claudin-1 and occludin expression could influence the demyelinating process by altering the permeability of the blood-nerve barrier. PMID: 26662145
- High CLDN1 expression is associated with Cervical cancer. PMID: 26463354
- Claudin-1 expression was correlated with lymphatic microvessel generation in hypopharyngeal squamous cell carcinoma and with patient survival. PMID: 26436506
- High CLAUDIN-1 expression is associated with metastasis in follicular thyroid carcinoma. PMID: 26219679
- The highest expression of claudin-1 was observed in well-differentiated oral squamous cell carcinomas, whereas poorly differentiated tumors exhibited mostly no expression of claudin-1. PMID: 25517868
- Report genetic polymorphism of TJ component claudin-1 and their haplotypes are associated with leukoaraiosis. PMID: 25956626
- Using a human liver-chimeric mouse model, we show that a monoclonal antibody specific for the TJ protein claudin-1 (ref. 7) eliminates chronic HCV infection without detectable toxicity PMID: 25798937
- delocalization of claudin-1 induced by PKC phosphorylation contributes to metastatic capacity of osteosarcoma cells PMID: 26361141
- The expressions of MARVELD2, CLDN1 and CLDN3 mRNA were significantly lower in cholesteatoma tissue and may be involved in epithelium permeability. PMID: 25319490
- There was no difference in the frequency of fractures or renal lithiasis between the rs219780 genotype groups in PHPT patients. Nor was there any relationship between the T or C alleles and BMD or biochemical parameters. PMID: 26554238
- CLD1-mediated hepatoma cell invasiveness occurs via heat shock factor 1 (HSF1) activation. PMID: 26157141
- Findings suggest that CLDN1 is oncogenic in gastric cancer and its malignant potential may be attributed in part to regulation of anoikis, by mediating membrane beta-catenin-regulated cell-cell adhesion and cell survival. PMID: 25544763
- reduction of claudin-1 expression may contribute to the progression of gastric tumors PMID: 25755790
- Data from live-cell imaging suggest at least two different cis-interaction interfaces within CLDN3 homopolymers as well as within CLDN1/CLDN3 heteropolymers. PMID: 25849148
- Suggest that claudin 1 is an important messenger that regulates TNF-alpha-induced gene expression and migration in gastric cancer cells. PMID: 25548484
- The findings suggest that down regulated CLDN1 and CLDN5 genes have potential relevance in relation to the progression of glioblastoma multiforme. PMID: 25345514
- Positive expressions of Claudin-1 in retinoblastoma were fewer than those in retina; higher positive expressions were found in differentiated tissues than in undifferentiated tissues; Claudin-1 expressed more positively in optic nerves without invasion. PMID: 26122225
- findings suggest that homozygous CD81 rs708564 TT may be a genetic modifier for avoiding HCV infection whether as a sole single nucleotide polymorphism or combined with the CLDN1 rs893051 GG genotype PMID: 25934191
- Our results indicate that CLDN4 expression is correlated with poor prognosis, and CLDN1 expression may be an indicator of recurrence of oral squamous cell carcinoma. PMID: 25964581
- CLDN1-negative phenotype predicts a high risk of recurrence and death in triple-negative breast cancer. PMID: 25393310
- dystopic subcellular localizations of Snail-1 and claudin-1 may participate in changes of cellular morphology and behavior which might be associated with altered effectory pathways of proteins and thus substantially contribute to the cancer development. PMID: 22408413
- Data show that C-terminal domain of Clostridium perfringens enterotoxin (cCPE)-binding to claudin 1 and claudin 5 is prevented by two residues in extracellular loop 2 of Cld1 (Asn(150) and Thr(153)) and Cld5 (Asp(149) and Thr(151)). PMID: 25342221
顯示更多
收起更多
-
相關疾病:Ichthyosis-sclerosing cholangitis neonatal syndrome (NISCH)
-
亞細胞定位:Cell junction, tight junction. Cell membrane; Multi-pass membrane protein. Basolateral cell membrane.
-
蛋白家族:Claudin family
-
組織特異性:Strongly expressed in liver and kidney. Expressed in heart, brain, spleen, lung and testis.
-
數據庫鏈接:
Most popular with customers
-
-
Phospho-YAP1 (S127) Recombinant Monoclonal Antibody
Applications: ELISA, WB, IHC
Species Reactivity: Human
-
-
-
-
-
-















