CLCN6 Antibody
-
中文名稱:CLCN6兔多克隆抗體
-
貨號:CSB-PA005485LA01HU
-
規格:¥440
-
圖片:
-
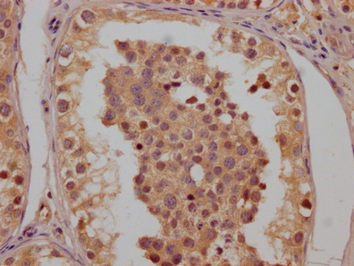
IHC image of CSB-PA005485LA01HU diluted at 1:200 and staining in paraffin-embedded human testis tissue performed on a Leica BondTM system. After dewaxing and hydration, antigen retrieval was mediated by high pressure in a citrate buffer (pH 6.0). Section was blocked with 10% normal goat serum 30min at RT. Then primary antibody (1% BSA) was incubated at 4°C overnight. The primary is detected by a Goat anti-rabbit polymer IgG labeled by HRP and visualized using 0.05% DAB.
-
Immunofluorescence staining of U251 cells with CSB-PA005485LA01HU at 1:100, counter-stained with DAPI. The cells were fixed in 4% formaldehyde and blocked in 10% normal Goat Serum. The cells were then incubated with the antibody overnight at 4°C. The secondary antibody was Alexa Fluor 488-congugated AffiniPure Goat Anti-Rabbit IgG(H+L).
-
-
其他:
產品詳情
-
產品名稱:Rabbit anti-Homo sapiens (Human) CLCN6 Polyclonal antibody
-
Uniprot No.:
-
基因名:CLCN6
-
別名:Chloride channel 6 antibody; Chloride channel protein 6 antibody; Chloride channel voltage sensitive 6 antibody; Chloride transport protein 6 antibody; ClC 6 antibody; ClC-6 antibody; ClC6 antibody; CLCN6 antibody; CLCN6_HUMAN antibody; KIAA0046 antibody
-
宿主:Rabbit
-
反應種屬:Human
-
免疫原:Recombinant Human Chloride transport protein 6 protein (572-869AA)
-
免疫原種屬:Homo sapiens (Human)
-
標記方式:Non-conjugated
本頁面中的產品,CLCN6 Antibody (CSB-PA005485LA01HU),的標記方式是Non-conjugated。對于CLCN6 Antibody,我們還提供其他標記。見下表:
-
克隆類型:Polyclonal
-
抗體亞型:IgG
-
純化方式:>95%, Protein G purified
-
濃度:It differs from different batches. Please contact us to confirm it.
-
保存緩沖液:Preservative: 0.03% Proclin 300
Constituents: 50% Glycerol, 0.01M PBS, PH 7.4 -
產品提供形式:Liquid
-
應用范圍:ELISA, IHC, IF
-
推薦稀釋比:
Application Recommended Dilution IHC 1:200-1:500 IF 1:100-1:500 -
Protocols:
-
儲存條件:Upon receipt, store at -20°C or -80°C. Avoid repeated freeze.
-
貨期:Basically, we can dispatch the products out in 1-3 working days after receiving your orders. Delivery time maybe differs from different purchasing way or location, please kindly consult your local distributors for specific delivery time.
-
用途:For Research Use Only. Not for use in diagnostic or therapeutic procedures.
相關產品
靶點詳情
-
功能:Chloride transport protein, initially identified as voltage-gated chloride channel. The presence of the conserved gating glutamate residues suggests that is functions as antiporter.
-
基因功能參考文獻:
- These findings implicate the effect of rare coding variants in CLCN6 in Blood Pressure variation and offer new insights into Blood Pressure regulation. PMID: 26658788
- A non-synonymous single nucleotide variation (SNV) was identified in the voltage-sensitive chloride channel 6 gene. PMID: 25794116
- late endosomal ClC-6 mediates proton/chloride countertransport in heterologous plasma membrane expression PMID: 20466723
- differential sorting of endogenous (late endosomal) versus overexpressed (early and recycling endosomal) ClC-6 is reminiscent of that of other late endosomal/lysosomal membrane proteins PMID: 17534424
-
亞細胞定位:Endosome membrane; Multi-pass membrane protein. Note=Detected in detergent-resistant lipid rafts.
-
蛋白家族:Chloride channel (TC 2.A.49) family, ClC-6/CLCN6 subfamily
-
組織特異性:Testis, ovary, small intestine, brain and skeletal muscle. Low level expression in aortic and coronary vascular smooth muscle cells, and aortic endothelial cells. Isoform 3 is only detected in kidney.
-
數據庫鏈接:
Most popular with customers
-
YWHAB Recombinant Monoclonal Antibody
Applications: ELISA, WB, IHC, IF, FC
Species Reactivity: Human, Mouse, Rat
-
Phospho-YAP1 (S127) Recombinant Monoclonal Antibody
Applications: ELISA, WB, IHC
Species Reactivity: Human
-
-
-
-
-
-















