CLCN5 Antibody
-
中文名稱:CLCN5兔多克隆抗體
-
貨號:CSB-PA005484LA01HU
-
規格:¥440
-
圖片:
-
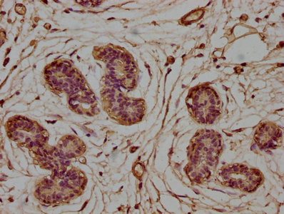
IHC image of CSB-PA005484LA01HU diluted at 1:100 and staining in paraffin-embedded human breast cancer performed on a Leica BondTM system. After dewaxing and hydration, antigen retrieval was mediated by high pressure in a citrate buffer (pH 6.0). Section was blocked with 10% normal goat serum 30min at RT. Then primary antibody (1% BSA) was incubated at 4°C overnight. The primary is detected by a biotinylated secondary antibody and visualized using an HRP conjugated SP system.
-
-
其他:
產品詳情
-
產品名稱:Rabbit anti-Homo sapiens (Human) CLCN5 Polyclonal antibody
-
Uniprot No.:
-
基因名:CLCN5
-
別名:Chloride Channel 5 antibody; Chloride channel protein 5 antibody; Chloride channel voltage sensitive 5 antibody; Chloride transporter ClC-5 antibody; ClC-5 antibody; CLC5 antibody; CLCK2 antibody; CLCN5 antibody; CLCN5_HUMAN antibody; DENTS antibody; H(+)/Cl(-) exchange transporter 5 antibody; hCIC-K2 antibody; NPHL1 antibody; NPHL2 antibody; Voltage gated chloride ion channel CLCN5 antibody; XLRH antibody; XRN antibody
-
宿主:Rabbit
-
反應種屬:Human
-
免疫原:Recombinant Human H(+)/Cl(-) exchange transporter 5 protein (553-746AA)
-
免疫原種屬:Homo sapiens (Human)
-
標記方式:Non-conjugated
本頁面中的產品,CLCN5 Antibody (CSB-PA005484LA01HU),的標記方式是Non-conjugated。對于CLCN5 Antibody,我們還提供其他標記。見下表:
-
克隆類型:Polyclonal
-
抗體亞型:IgG
-
純化方式:Antigen Affinity Purified
-
濃度:It differs from different batches. Please contact us to confirm it.
-
保存緩沖液:Preservative: 0.03% Proclin 300
Constituents: 50% Glycerol, 0.01M PBS, pH 7.4 -
產品提供形式:Liquid
-
應用范圍:ELISA, IHC
-
推薦稀釋比:
Application Recommended Dilution IHC 1:20-1:200 -
Protocols:
-
儲存條件:Upon receipt, store at -20°C or -80°C. Avoid repeated freeze.
-
貨期:Basically, we can dispatch the products out in 1-3 working days after receiving your orders. Delivery time maybe differs from different purchasing way or location, please kindly consult your local distributors for specific delivery time.
-
用途:For Research Use Only. Not for use in diagnostic or therapeutic procedures.
相關產品
靶點詳情
-
功能:Proton-coupled chloride transporter. Functions as antiport system and exchanges chloride ions against protons. Important for normal acidification of the endosome lumen. May play an important role in renal tubular function.
-
基因功能參考文獻:
- We demonstrated that most Polish patients with DD carry CLCN5 mutations, and they usually present with proteinuria and hypercalciuria. PMID: 28815356
- Novel CLCN5 (c.1205G>A, p.W402*) and FGF23 (c.526C>G, p.R176G) mutations were found in two patients from the remaining two families PMID: 28383812
- Expression of ClC-5 carrying Dent's disease-associated mutations in HEK293 cells had varying effects: (1) no detectable expression of mutant protein; (2) retention of a truncated protein in the endoplasmic reticulum; or (3) diminished protein expression with normal distribution in early endosomes. PMID: 29058463
- These data suggest that ClC-5 enhances the cytotoxic action of Clostridium difficile toxins TcdA and TcdB by accelerating the acidification and maturation of vesicles of the early and early-to-late endosomal system. PMID: 28348980
- A diagnosis of Dent disease was established in 19 boys from 16 families by the presence of loss of function/deleterious mutations in CLCN5 or OCRL1. PMID: 27174143
- we carefully investigated the functional effects of four CLC-5 mutations, including three missense mutations (S244L, R345W, T657S) and one nonsense mutation (Q629X) PMID: 27117801
- Previously reported mutations and their associated phenotype in 377 male patients with Dent disease are reviewed and described phenotype and novel and recurrent mutations in a large cohort of 117 Dent disease patients belonging to 90 families. PMID: 25907713
- A novel mutation in the CLCN5 gene was identified in our patient with Dent's disease. PMID: 25124980
- structural complexity of the CLCN5 5'UTR region PMID: 25001568
- ATP induces conformational changes in the carboxyl-terminal region of ClC-5. PMID: 21173145
- study described a single Chinese family with Dent disease, and findings suggest that a novel frameshift mutation (c. 246delG) in exon 5 of the CLCN5 gene was responsible for Dent disease in this case PMID: 24428215
- Dent disease is caused by mutations in at least two genes, i.e. CLCN5 and OCRL1, and its genetic background and phenotypes are common among European countries and the USA. PMID: 24081861
- Case Report: computer simulation analysis of CIC-5 missense mutations in Dent's disease. PMID: 23211344
- These results elucidate the biophysical properties of ClC-5 and contribute to the understanding of its physiological role. PMID: 24099800
- Certain misprocessing mutations in CLC-5 chloride channels alter intramolecular interactions within the full-length protein, ensuring that they do not elicit the unfolded protein response. PMID: 23566014
- Dent disease-causing CLC-5 mutations have differing effects on endosomal acidification and receptor-mediated endocytosis that may not be coupled. PMID: 23572577
- ClC-5 overexpression found in biopsies of proteinuric patients suggests that proteinuria may play a part in its expression and that podocytes are likely to have a key role in albumin handling in proteinuric states PMID: 23029130
- The molecular events underlying the transient currents of ClC-5 emerging from these results can be explained by an inward movement of the side chain of Glu(ext), followed by the binding of extracellular Cl(-) ions. PMID: 22824269
- protonation of the gating glutamate 211 at the central anion-binding site of ClC-5 is mediated by the proton glutamate 268. PMID: 22267722
- Heterogeneity in the processing of CLCN5 mutants related to Dent disease. PMID: 21305656
- A novel CLCN5 mutation is reported in a boy with Bartter-like syndrome and partial growth hormone deficiency. PMID: 20680351
- data suggest that voltage sensing is an intrinsic property of the CLC-5 protein and that permeant anions, particularly Cl(-), modulate a voltage-dependent transition to an activated state from which Cl(-)/H(+) exchange can occur PMID: 20501796
- Suggest that CLC-5 is directly involved in endosomal acidification by exchanging endosomal Cl(-) for H(+). PMID: 20421284
- We discuss the putative role of ClC-5 in receptor-mediated endocytosis and protein uptake by the proximal renal tubule and the possible molecular and cellular consequences of disease-causing mutations[review] PMID: 20049483
- Propose that protons bind to the extracellular gating glutamate E211 in CLC-5 to block transport. PMID: 20513761
- Interaction with KIF3B alters CLC-5 cell surface expression, chloride current, and alters albumin endocytosis. Interaction with KIF3B facilitates microtubular transport and endocytosis of CLC-5-containing vesicles away from cell surface. PMID: 19940036
- ClC-5 mutations are associated with modifications in the polarity and expression of H+-ATPase, but not ultrastructural alterations in kidney proximal tubule cells PMID: 12631345
- crucial role for the interaction between the two subunits at the interface of the homodimeric hCLC-5. PMID: 12631358
- CLCN5 gene mutation in spanish patients with Dent's disease is associated with this renal tubulopathy. PMID: 12637640
- Dent's disease phenotype may be explained by mutations that affect so far unknown regulating elements of the CLCN5 gene or another gene(s), probably encoding CLC-5 accessory protein(s) PMID: 12886045
- ClC-5 channel activity can be restored for specific Dent's mutations by expression of the missing portion of the ClC-5 molecule. PMID: 13679301
- the first report of a retrotransposon insertion in the CLCN5 gene associated with Dent's disease PMID: 14569459
- The segmental expression of ClC-5 and H+-ATPase is essentially achieved during early nephrogenesis, in parallel with the onset of glomerular filtration PMID: 14675051
- mutation analysis of the coding region of CLCN5 by DNA sequencing in X-linked nephrolithiasis PMID: 15086899
- Genetic analysis that confirmed the diagnosis pf Dent's disease and revealed a novel mutation in the CLCN5 gene. PMID: 15571186
- We conclude that overexpression of ClC-5, specifically amino acids 347-647, can alter the normal translation or trafficking of ENaC and other ion transport proteins by a mechanism that is independent of the chloride conductance of ClC-5. PMID: 15702377
- first report to characterize mutations in the CLCN5 gene in Korean patients with Dent's disease; a novel mutation, E609X was reported PMID: 15719255
- both nucleotides induce an increase in thermal stability of ClC-5 Ct, supporting the suggestion that both nucleotides interact with and modify the biophysical properties of this prot PMID: 16686597
- CLCN5 mutation should be considered irrespective of the presence of hypercalciuria in a patient with low molecular weight proteinuria. PMID: 16807762
- Dent's disease is an inherited tubulopathy caused by CLCN5 gene mutations. PMID: 16822791
- Study reports the structures of the cytoplasmic domain of the human transporter ClC-5 in complex with ATP and ADP; the nucleotides bind to a specific site in the protein. PMID: 17195847
- Missense mutation W547G can also alter the expression levels of a CLCN5 mRNA splicing variant. PMID: 17262170
- abnormalities in the CLCN5 and OCRL1 genes in Dent's disease [review] PMID: 18019214
- A novel G333R CLCN5 mutation caused defective expression of megalin, cubilin, and Dab2 in a patient with Dent's disease PMID: 18025833
- CLCN5 mutation in Dent's disease PMID: 18184518
- Frameshift mutation in CLCN5 protein is associated with Dent disease. PMID: 18540256
- three classes of Dent's disease-causing CLC-5 mutations: class 1 leads to endoplasmic reticulum retention and degradation of CLC-5; class 2 causes defects in endosomal acidification; class 3 alters endosomal distribution of CLC-5 PMID: 19019917
- Nitrate uncoupled proton transport but mutating the highly conserved serine 168 to proline in ClC-5, led to coupled NO3(-)/H+ exchange. PMID: 19131966
- six different truncating mutations cause premature termination of protein translation and result in a non-functional truncated protein PMID: 19546586
- Report novel CLCN5 mutations in patients with Dent's disease result in altered ion currents or impaired exchanger processing. PMID: 19657328
顯示更多
收起更多
-
相關疾病:Hypophosphatemic rickets, X-linked recessive (XLRHR); Nephrolithiasis 2 (NPHL2); Nephrolithiasis 1 (NPHL1); Low molecular weight proteinuria with hypercalciuria and nephrocalcinosis (LMWPHN)
-
亞細胞定位:Golgi apparatus membrane; Multi-pass membrane protein. Endosome membrane; Multi-pass membrane protein. Cell membrane; Multi-pass membrane protein.
-
蛋白家族:Chloride channel (TC 2.A.49) family, ClC-5/CLCN5 subfamily
-
組織特異性:Kidney. Moderately expressed in aortic vascular smooth muscle and endothelial cells, and at a slightly higher level in the coronary vascular smooth muscle.
-
數據庫鏈接:
Most popular with customers
-
-
YWHAB Recombinant Monoclonal Antibody
Applications: ELISA, WB, IHC, IF, FC
Species Reactivity: Human, Mouse, Rat
-
Phospho-YAP1 (S127) Recombinant Monoclonal Antibody
Applications: ELISA, WB, IHC
Species Reactivity: Human
-
-
-
-
-















