CLCA4 Antibody
-
中文名稱:CLCA4兔多克隆抗體
-
貨號:CSB-PA641512
-
規格:¥1100
-
圖片:
-
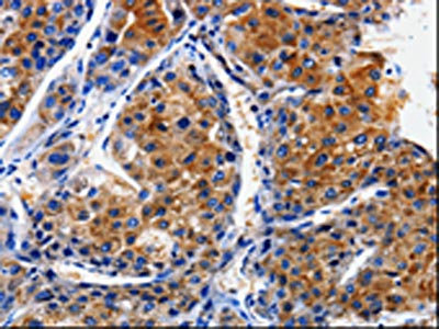
The image on the left is immunohistochemistry of paraffin-embedded Human liver cancer tissue using CSB-PA641512(CLCA4 Antibody) at dilution 1/10, on the right is treated with fusion protein. (Original magnification: ×200)
-
Gel: 8%SDS-PAGE, Lysate: 40 μg, Lane: 293T cells, Primary antibody: CSB-PA641512(CLCA4 Antibody) at dilution 1/200, Secondary antibody: Goat anti rabbit IgG at 1/8000 dilution, Exposure time: 30 seconds
-
-
其他:
產品詳情
-
Uniprot No.:
-
基因名:CLCA4
-
別名:30 kDa form antibody; CaCC-2 antibody; Calcium-activated chloride channel family member 4 antibody; Calcium-activated chloride channel protein 2 antibody; Calcium-activated chloride channel regulator 4 antibody; Clca4 antibody; CLCA4_HUMAN antibody; hCaCC-2 antibody; hCLCA4 antibody
-
宿主:Rabbit
-
反應種屬:Human
-
免疫原:Fusion protein of Human CLCA4
-
免疫原種屬:Homo sapiens (Human)
-
標記方式:Non-conjugated
-
抗體亞型:IgG
-
純化方式:Antigen affinity purification
-
濃度:It differs from different batches. Please contact us to confirm it.
-
保存緩沖液:-20°C, pH7.4 PBS, 0.05% NaN3, 40% Glycerol
-
產品提供形式:Liquid
-
應用范圍:ELISA,WB,IHC
-
推薦稀釋比:
Application Recommended Dilution ELISA 1:500-1:2000 WB 1:100-1:500 IHC 1:10-1:50 -
Protocols:
-
儲存條件:Upon receipt, store at -20°C or -80°C. Avoid repeated freeze.
-
貨期:Basically, we can dispatch the products out in 1-3 working days after receiving your orders. Delivery time maybe differs from different purchasing way or location, please kindly consult your local distributors for specific delivery time.
-
用途:For Research Use Only. Not for use in diagnostic or therapeutic procedures.
相關產品
靶點詳情
-
功能:May be involved in mediating calcium-activated chloride conductance.
-
基因功能參考文獻:
- CLCA4 and CLCA2 play complementary but distinct roles in epithelial differentiation PMID: 24386311
- CLCA4 modulates the capability to express residual chloride secretion in colonic tissue. PMID: 23073314
- CLCA1 and CLCA4 may have roles as modulators of the gastrointestinal basic defect in cystic fibrosis PMID: 15490240
-
亞細胞定位:Cell membrane; Single-pass membrane protein. Apical cell membrane. Secreted.
-
蛋白家族:CLCR family
-
組織特異性:Primarily expressed in the digestive tract, mainly in colon. Detected in smaller amounts in brain, urogenital organs, testis, and salivary and mammary glands. Highly expressed in the epithelial layer and submucosal gland of the inferior turbinate mucosa.
-
數據庫鏈接:
Most popular with customers
-
-
YWHAB Recombinant Monoclonal Antibody
Applications: ELISA, WB, IHC, IF, FC
Species Reactivity: Human, Mouse, Rat
-
Phospho-YAP1 (S127) Recombinant Monoclonal Antibody
Applications: ELISA, WB, IHC
Species Reactivity: Human
-
-
-
-
-















