CLCA1 Antibody
-
中文名稱:CLCA1兔多克隆抗體
-
貨號:CSB-PA005474LA01HU
-
規格:¥440
-
圖片:
-
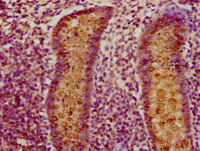
IHC image of CSB-PA005474LA01HU diluted at 1:150 and staining in paraffin-embedded human small intestine tissue performed on a Leica BondTM system. After dewaxing and hydration, antigen retrieval was mediated by high pressure in a citrate buffer (pH 6.0). Section was blocked with 10% normal goat serum 30min at RT. Then primary antibody (1% BSA) was incubated at 4°C overnight. The primary is detected by a biotinylated secondary antibody and visualized using an HRP conjugated SP system.
-
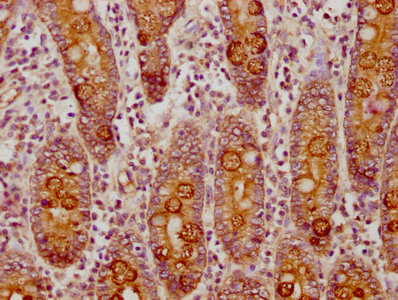
IHC image of CSB-PA005474LA01HU diluted at 1:150 and staining in paraffin-embedded human appendix tissue performed on a Leica BondTM system. After dewaxing and hydration, antigen retrieval was mediated by high pressure in a citrate buffer (pH 6.0). Section was blocked with 10% normal goat serum 30min at RT. Then primary antibody (1% BSA) was incubated at 4°C overnight. The primary is detected by a biotinylated secondary antibody and visualized using an HRP conjugated SP system.
-
-
其他:
產品詳情
-
產品名稱:Rabbit anti-Homo sapiens (Human) CLCA1 Polyclonal antibody
-
Uniprot No.:
-
基因名:CLCA1
-
別名:CaCC antibody; CaCC-1 antibody; CACC1 antibody; Calcium dependent chloride channel 1 antibody; Calcium-activated chloride channel family member 1 antibody; Calcium-activated chloride channel protein 1 antibody; Calcium-activated chloride channel regulator 1 antibody; Chloride channel calcium activated family member 1 antibody; Chloride channel regulator 1 antibody; CLCA family member 1 chloride channel regulator antibody; CLCA1 antibody; CLCA1_HUMAN antibody; CLCRG1 antibody; GOB5 antibody; hCaCC-1 antibody; hCLCA1 antibody
-
宿主:Rabbit
-
反應種屬:Human
-
免疫原:Recombinant Human Calcium-activated chloride channel regulator 1 protein (715-785AA)
-
免疫原種屬:Homo sapiens (Human)
-
標記方式:Non-conjugated
本頁面中的產品,CLCA1 Antibody (CSB-PA005474LA01HU),的標記方式是Non-conjugated。對于CLCA1 Antibody,我們還提供其他標記。見下表:
-
克隆類型:Polyclonal
-
抗體亞型:IgG
-
純化方式:>95%, Protein G purified
-
濃度:It differs from different batches. Please contact us to confirm it.
-
保存緩沖液:Preservative: 0.03% Proclin 300
Constituents: 50% Glycerol, 0.01M PBS, pH 7.4 -
產品提供形式:Liquid
-
應用范圍:ELISA, IHC
-
推薦稀釋比:
Application Recommended Dilution IHC 1:20-1:200 -
Protocols:
-
儲存條件:Upon receipt, store at -20°C or -80°C. Avoid repeated freeze.
-
貨期:Basically, we can dispatch the products out in 1-3 working days after receiving your orders. Delivery time maybe differs from different purchasing way or location, please kindly consult your local distributors for specific delivery time.
-
用途:For Research Use Only. Not for use in diagnostic or therapeutic procedures.
相關產品
靶點詳情
-
功能:May be involved in mediating calcium-activated chloride conductance. May play critical roles in goblet cell metaplasia, mucus hypersecretion, cystic fibrosis and AHR. May be involved in the regulation of mucus production and/or secretion by goblet cells. Involved in the regulation of tissue inflammation in the innate immune response. May play a role as a tumor suppressor. Induces MUC5AC.
-
基因功能參考文獻:
- Results suggest that CLCA1 is involved in intestinal mucus homeostasis by facilitating processing and removal of mucus to prevent stagnation. PMID: 29885864
- CLCA1 suppresses colorectal cancer aggressiveness via inhibition of the Wnt/beta-catenin signaling pathway PMID: 28974231
- Increase in TMEM16A activity occurred within minutes of exposure to CLCA1 or after a short treatment with nocodazole, consistent with the hypothesis that CLCA1 stabilizes TMEM16A at the cell surface by preventing its internalization. PMID: 28420732
- Data show that calcium-activated chloride channel regulator 1 (CLCA1) and transmembrane protein 16A (TMEM16A) co-localize and physically interact and that CLCA1 increases the level of TMEM16A protein at the cell surface. PMID: 25781344
- inhibitor and siRNA transfection studies demonstrated an apparent effect of CLCA1 on ovarian cancer cell aggregation PMID: 26004777
- Results confirmed that the low expression of CLCA1 in CRC was associated with tumorigenesis, early metastasis, and high chromosomal instability. Low expression of CLCA1 predicts recurrence and lower survival. PMID: 25603912
- These findings demonstrate the ability of hCLCA1 to function as a signaling molecule and activate macrophages, central regulators of airway inflammation. PMID: 24349445
- CLCA1 may contribute to promoting spontaneous differentiation and reducing proliferation of Caco-2 cells. PMID: 23593331
- CLCA1 expression is significantly related to mucus production in the airway epithelia of smokers and COPD patients, and may contribute to the development and pathogenesis of COPD by inducing mucus production. PMID: 22731784
- These data provide both a mechanistic basis for CLCA1 self-cleavage and a novel mechanism for regulation of chloride channel activity specific to the mucosal interface. PMID: 23112050
- Increased expression of hCLCA1 in allergic rhinitis was correlated with the expression of MUC5AC. PMID: 20464982
- in cultured nasal airway cells, Th2 type cytokines increased hCLCA1 (calcium-activated chloride channel 1) expression in Cystic Fibrosis patients but not mucus expression PMID: 20542744
- The 357SS genotype was significantly overrepresented in both patients with meconium ileus and also with a severe CFTR genotype (P = 0.009) and in p.F508del homozygotes (P = 0.002). PMID: 20179644
- upregulation in the IL-9- responsive mucus-producing epithelium of asthmatic subjects supports the hypothesis that this channel may be responsible, in part, for the overproduction of mucus in asthmatic subjects PMID: 11842292
- transfection of Caco-2 human colon carcinoma cell line with pCLCA1 to investigate the regulation of CLCA-associated chloride conductance in this differentiated epithelial cell line PMID: 12408984
- hCLCA1 expression in NCI-H292 cells specifically induces soluble gel-forming mucin production. This Ca2+-activated Cl- channel plays an important role in epithelial-regulated inflammatory responses, including goblet cell metaplasia. PMID: 12568493
- polymorphisms in chronic obstructive pulmonary disease PMID: 14985398
- Variation of the CLCA1 gene affects patients' susceptibility for childhood and adult asthma in a Japanese population. PMID: 15318163
- CLCA1 and CLCA4 may have roles as modulators of the gastrointestinal basic defect in cystic fibrosis PMID: 15490240
- conclude that hCLCA1 and mCLCA3 are non-integral membrane proteins and therefore cannot be chloride channels in their own right PMID: 15919655
- We successfully cloned a rat brain CLCA (rbCLCA). PMID: 16023076
- CACC play a direct role in mucus production by goblet cells and may thus contribute to the pathogenesis of asthma. PMID: 16148052
- IL-13 might induce the expression of MUC5AC and hCLCA1 gene and protein in well-differentiated NHBE cells. These cells might also differentiate into goblet cells and become hyperplastic PMID: 16465045
- Evidence is given for a role of the CLCA1 hydrolase domain in processing of mature full-length CLCA1 PMID: 16470849
- CLCA1 may be a key signaling member that can be targeted with pharmacologic interventions to treat mucus hypersecretion. PMID: 17426222
- These data suggest that hCLCA1 may play a role in LPS-induced mucin expression in human airway mucosa. PMID: 17621552
- These results suggest that the up-regulated gene expression of CaCC1 exists, which is complicated with mucus hyper-secretion in Chinese asthmatic airway. PMID: 17698377
- hClCa1 does not form Ca(2+)-dependent Cl- channels per se. hClCa1 elevates the single channel conductance of endogenous Ca(2+)-dependent Cl- channels by lowering the energy barriers for ion translocation through the pore. PMID: 19307298
- genetic polymorphism is associated with childhood asthma PMID: 19530997
顯示更多
收起更多
-
亞細胞定位:Secreted, extracellular space. Cell membrane; Peripheral membrane protein; Extracellular side. Note=Protein that remains attached to the plasma membrane appeared to be predominantly localized to microvilli.
-
蛋白家族:CLCR family
-
組織特異性:Highly expressed in small intestine and colon namely in intestinal basal crypt epithelia and goblet cells, and appendix. Weakly expressed in uterus, testis and kidney. Expressed in the airways epithelium of both asthmatic and healthy patients. Expressed i
-
數據庫鏈接:
Most popular with customers
-
-
YWHAB Recombinant Monoclonal Antibody
Applications: ELISA, WB, IHC, IF, FC
Species Reactivity: Human, Mouse, Rat
-
Phospho-YAP1 (S127) Recombinant Monoclonal Antibody
Applications: ELISA, WB, IHC
Species Reactivity: Human
-
-
-
-
-















