CKMT2 Antibody
-
中文名稱:CKMT2兔多克隆抗體
-
貨號:CSB-PA698913
-
規格:¥1100
-
圖片:
-
The image is immunohistochemistry of paraffin-embedded Human brain tissue using CSB-PA698913(CKMT2 Antibody) at dilution 1/60. (Original magnification: ×200)
-
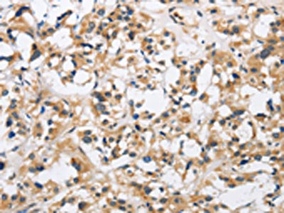
The image is immunohistochemistry of paraffin-embedded Human thyroid cancer tissue using CSB-PA698913(CKMT2 Antibody) at dilution 1/60. (Original magnification: ×200)
-
Gel: 8%SDS-PAGE, Lysate: 40 μg, Lane: Mouse heart tissue, Primary antibody: CSB-PA698913(CKMT2 Antibody) at dilution 1/700, Secondary antibody: Goat anti rabbit IgG at 1/8000 dilution, Exposure time: 1 minute
-
-
其他:
產品詳情
-
Uniprot No.:
-
基因名:CKMT2
-
別名:CKMT 2 antibody; Basic-type mitochondrial creatine kinase antibody; CKMT2 antibody; CPK antibody; Creatine kinase mitochondrial 2 antibody; Creatine kinase mitochondrial 2 (sarcomeric) antibody; Creatine kinase S-type antibody; creatine kinase S-type, mitochondrial antibody; Creatine kinase, sarcomeric mitochondrial antibody; KCRS_HUMAN antibody; Mib CK antibody; Mib-CK antibody; mitochondrial antibody; OTTHUMP00000147542 antibody; S-MtCK antibody; Sarcomeric mitochondrial creatine kinase antibody; SMTCK antibody
-
宿主:Rabbit
-
反應種屬:Human,Mouse,Rat
-
免疫原:Fusion protein of Human CKMT2
-
免疫原種屬:Homo sapiens (Human)
-
標記方式:Non-conjugated
-
抗體亞型:IgG
-
純化方式:Antigen affinity purification
-
濃度:It differs from different batches. Please contact us to confirm it.
-
保存緩沖液:-20°C, pH7.4 PBS, 0.05% NaN3, 40% Glycerol
-
產品提供形式:Liquid
-
應用范圍:ELISA,WB,IHC
-
推薦稀釋比:
Application Recommended Dilution ELISA 1:2000-1:5000 WB 1:500-1:2000 IHC 1:50-1:200 -
Protocols:
-
儲存條件:Upon receipt, store at -20°C or -80°C. Avoid repeated freeze.
-
貨期:Basically, we can dispatch the products out in 1-3 working days after receiving your orders. Delivery time maybe differs from different purchasing way or location, please kindly consult your local distributors for specific delivery time.
-
用途:For Research Use Only. Not for use in diagnostic or therapeutic procedures.
相關產品
靶點詳情
-
功能:Reversibly catalyzes the transfer of phosphate between ATP and various phosphogens (e.g. creatine phosphate). Creatine kinase isoenzymes play a central role in energy transduction in tissues with large, fluctuating energy demands, such as skeletal muscle, heart, brain and spermatozoa.
-
基因功能參考文獻:
- three C-terminal lysines determine high affinity sMtCK/cardiolipin interaction and its effects on MtCK structure, whereas low level binding and some effect on membrane fluidity depend on other structural components PMID: 15044463
- After the training period, intracellular energetic units had a higher control of mitochondrial respiration by creatine linked to a more efficient functional coupling adenine nucleotide translocase-mitochondrial creatine kinase. PMID: 16020522
- CK2alpha has a role in progression of acute myeloid leukemia PMID: 17289898
-
亞細胞定位:Mitochondrion inner membrane; Peripheral membrane protein; Intermembrane side.
-
蛋白家族:ATP:guanido phosphotransferase family
-
組織特異性:Sarcomere-specific. Found only in heart and skeletal muscles.
-
數據庫鏈接:
Most popular with customers
-
-
YWHAB Recombinant Monoclonal Antibody
Applications: ELISA, WB, IHC, IF, FC
Species Reactivity: Human, Mouse, Rat
-
Phospho-YAP1 (S127) Recombinant Monoclonal Antibody
Applications: ELISA, WB, IHC
Species Reactivity: Human
-
-
-
-
-















