CHSY1 Antibody
-
中文名稱:CHSY1兔多克隆抗體
-
貨號:CSB-PA005416LA01HU
-
規格:¥440
-
圖片:
-
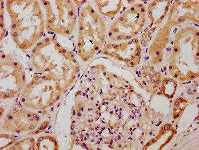
IHC image of CSB-PA005416LA01HU diluted at 1:300 and staining in paraffin-embedded human kidney tissue performed on a Leica BondTM system. After dewaxing and hydration, antigen retrieval was mediated by high pressure in a citrate buffer (pH 6.0). Section was blocked with 10% normal goat serum 30min at RT. Then primary antibody (1% BSA) was incubated at 4°C overnight. The primary is detected by a biotinylated secondary antibody and visualized using an HRP conjugated SP system.
-
IHC image of CSB-PA005416LA01HU diluted at 1:300 and staining in paraffin-embedded human placenta tissue performed on a Leica BondTM system. After dewaxing and hydration, antigen retrieval was mediated by high pressure in a citrate buffer (pH 6.0). Section was blocked with 10% normal goat serum 30min at RT. Then primary antibody (1% BSA) was incubated at 4°C overnight. The primary is detected by a biotinylated secondary antibody and visualized using an HRP conjugated SP system.
-
-
其他:
產品詳情
-
產品名稱:Rabbit anti-Homo sapiens (Human) CHSY1 Polyclonal antibody
-
Uniprot No.:
-
基因名:CHSY1
-
別名:Carbohydrate synthase 1 antibody; Chondroitin glucuronyltransferase 1 antibody; Chondroitin glucuronyltransferase II antibody; Chondroitin sulfate synthase 1 antibody; Chondroitin synthase 1 antibody; CHSS1_HUMAN antibody; CHSY antibody; ChSy-1 antibody; Chsy1 antibody; CSS1 antibody; Glucuronosyl-N-acetylgalactosaminyl-proteoglycan 4-beta-N-acetylgalactosaminyltransferase 1 antibody; N acetylgalactosaminyltransferase II antibody; N-acetylgalactosaminyl-proteoglycan 3-beta-glucuronosyltransferase 1 antibody; N-acetylgalactosaminyltransferase 1 antibody; TPBS antibody
-
宿主:Rabbit
-
反應種屬:Human
-
免疫原:Recombinant Human Chondroitin sulfate synthase 1 protein (32-148AA)
-
免疫原種屬:Homo sapiens (Human)
-
標記方式:Non-conjugated
本頁面中的產品,CHSY1 Antibody (CSB-PA005416LA01HU),的標記方式是Non-conjugated。對于CHSY1 Antibody,我們還提供其他標記。見下表:
-
克隆類型:Polyclonal
-
抗體亞型:IgG
-
純化方式:>95%, Protein G purified
-
濃度:It differs from different batches. Please contact us to confirm it.
-
保存緩沖液:Preservative: 0.03% Proclin 300
Constituents: 50% Glycerol, 0.01M PBS, pH 7.4 -
產品提供形式:Liquid
-
應用范圍:ELISA, IHC
-
推薦稀釋比:
Application Recommended Dilution IHC 1:200-1:500 -
Protocols:
-
儲存條件:Upon receipt, store at -20°C or -80°C. Avoid repeated freeze.
-
貨期:Basically, we can dispatch the products out in 1-3 working days after receiving your orders. Delivery time maybe differs from different purchasing way or location, please kindly consult your local distributors for specific delivery time.
-
用途:For Research Use Only. Not for use in diagnostic or therapeutic procedures.
相關產品
靶點詳情
-
功能:Has both beta-1,3-glucuronic acid and beta-1,4-N-acetylgalactosamine transferase activity. Transfers glucuronic acid (GlcUA) from UDP-GlcUA and N-acetylgalactosamine (GalNAc) from UDP-GalNAc to the non-reducing end of the elongating chondroitin polymer. Involved in the negative control of osteogenesis likely through the modulation of NOTCH signaling.
-
基因功能參考文獻:
- CHSY1 overexpression in HCC contributes to the malignant behavior of hepatocellular carcinoma cells via activation of the hedgehog signaling pathway. PMID: 28652022
- CHSY1 expression is closely associated with malignant potential of soft tissue sarcomas with myxoid substance. PMID: 26997434
- A novel missense mutation (c.1897 G > A) in the CHSY1 gene in two Temtamy preaxial brachydactyly syndrome patients from a consanguineous Pakistani family. PMID: 24269551
- elongation of chondroitin sulfate chains may be tightly regulated by the cooperative expression of chondroitin synthase-1 and chondroitin N-acetylgalactosaminyltransferase-1 in peripheral neurons and peripheral neuropathies PMID: 23811343
- The present study focused on the expression of chondroitin-synthesizing enzymes in colorectal cancer. PMID: 21468578
- conclude that CHSY1 is a secreted FRINGE enzyme required for adjustment of NOTCH signaling throughout human and fish embryogenesis and particularly during limb patterning PMID: 21129727
- unrestricted Bmp2b signaling or loss of Dan activity leads to reduced chsy1 expression and, during epithelial morphogenesis, defects similar to those that occur upon Chsy1 inactivation PMID: 21129728
- chondroitin polymerizing activity requires concomitant expression of a ChPF with ChSy; coexpression of the ChPF and ChSy yielded markedly augmented glycosyltransferase activities, whereas simple mixing of the two separately expressed proteins did not. PMID: 12716890
顯示更多
收起更多
-
相關疾病:Temtamy preaxial brachydactyly syndrome (TPBS)
-
亞細胞定位:Golgi apparatus, Golgi stack membrane; Single-pass type II membrane protein. Secreted.
-
蛋白家族:Chondroitin N-acetylgalactosaminyltransferase family
-
組織特異性:Ubiquitous, with the highest levels in placenta. Detected at low levels in brain, heart, skeletal muscle, colon, thymus, spleen, kidney, liver, adrenal gland, mammary gland, stomach, small intestine, lung and peripheral blood leukocytes.
-
數據庫鏈接:
Most popular with customers
-
YWHAB Recombinant Monoclonal Antibody
Applications: ELISA, WB, IHC, IF, FC
Species Reactivity: Human, Mouse, Rat
-
-
-
-
-
-
-















