CHRNA10 Antibody
-
中文名稱:CHRNA10兔多克隆抗體
-
貨號:CSB-PA968134
-
規格:¥1100
-
圖片:
-
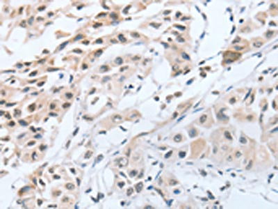
The image on the left is immunohistochemistry of paraffin-embedded Human colon cancer tissue using CSB-PA968134(CHRNA10 Antibody) at dilution 1/50, on the right is treated with synthetic peptide. (Original magnification: ×200)
-
The image on the left is immunohistochemistry of paraffin-embedded Human lung cancer tissue using CSB-PA968134(CHRNA10 Antibody) at dilution 1/50, on the right is treated with synthetic peptide. (Original magnification: ×200)
-
-
其他:
產品詳情
-
Uniprot No.:
-
基因名:CHRNA10
-
別名:Acetylcholine receptor, neuronal nicotinic, alpha-10 subunit antibody; ACH10_HUMAN antibody; Alpha 10 nAChR antibody; Cholinergic receptor nicotinic alpha 10 antibody; Cholinergic receptor, neuronal nicotinic, alpha polypeptide 10 antibody; Cholinergic receptor, nicotinic, alpha polypeptide 10 antibody; CHRNA 10 antibody; CHRNA10 antibody; NACHR alpha 10 antibody; NACHR alpha-10 antibody; NACHRA10 antibody; Neuronal acetylcholine receptor protein subunit alpha 10 antibody; Neuronal acetylcholine receptor subunit alpha-10 antibody; Nicotinic acetylcholine receptor subunit alpha 10 antibody; Nicotinic acetylcholine receptor subunit alpha-10 antibody; OTTHUMP00000013620 antibody
-
宿主:Rabbit
-
反應種屬:Human
-
免疫原:Synthetic peptide of Human CHRNA10
-
免疫原種屬:Homo sapiens (Human)
-
標記方式:Non-conjugated
-
抗體亞型:IgG
-
純化方式:Antigen affinity purification
-
濃度:It differs from different batches. Please contact us to confirm it.
-
保存緩沖液:-20°C, pH7.4 PBS, 0.05% NaN3, 40% Glycerol
-
產品提供形式:Liquid
-
應用范圍:ELISA,IHC
-
推薦稀釋比:
Application Recommended Dilution ELISA 1:2000-1:5000 IHC 1:25-1:100 -
Protocols:
-
儲存條件:Upon receipt, store at -20°C or -80°C. Avoid repeated freeze.
-
貨期:Basically, we can dispatch the products out in 1-3 working days after receiving your orders. Delivery time maybe differs from different purchasing way or location, please kindly consult your local distributors for specific delivery time.
-
用途:For Research Use Only. Not for use in diagnostic or therapeutic procedures.
相關產品
靶點詳情
-
功能:Ionotropic receptor with a probable role in the modulation of auditory stimuli. Agonist binding may induce an extensive change in conformation that affects all subunits and leads to opening of an ion-conducting channel across the plasma membrane. The channel is permeable to a range of divalent cations including calcium, the influx of which may activate a potassium current which hyperpolarizes the cell membrane. In the ear, this may lead to a reduction in basilar membrane motion, altering the activity of auditory nerve fibers and reducing the range of dynamic hearing. This may protect against acoustic trauma.
-
基因功能參考文獻:
- A two order of magnitude species difference is reported in potency of alpha-conotoxin RgIA for rat versus human alpha9alpha10 nAChR. PMID: 22774872
- CHRNA10 may have a role in "dizziness" in response to tobacco PMID: 19760673
-
亞細胞定位:Cell junction, synapse, postsynaptic cell membrane; Multi-pass membrane protein. Cell membrane; Multi-pass membrane protein.
-
蛋白家族:Ligand-gated ion channel (TC 1.A.9) family, Acetylcholine receptor (TC 1.A.9.1) subfamily, Alpha-10/CHRNA10 sub-subfamily
-
組織特異性:Expressed in inner-ear tissue, tonsil, immortalized B-cells, cultured T-cells and peripheral blood lymphocytes.
-
數據庫鏈接:
Most popular with customers
-
-
YWHAB Recombinant Monoclonal Antibody
Applications: ELISA, WB, IHC, IF, FC
Species Reactivity: Human, Mouse, Rat
-
Phospho-YAP1 (S127) Recombinant Monoclonal Antibody
Applications: ELISA, WB, IHC
Species Reactivity: Human
-
-
-
-
-















